Wenn Sie das Fenster schließen, wird Ihre Konfiguration nicht gespeichert, es sei denn, Sie haben Ihren Artikel in die Bestellung aufgenommen oder zu Ihren Favoriten hinzugefügt.
Klicken Sie auf OK, um das MILLIPLEX® MAP-Tool zu schließen oder auf Abbrechen, um zu Ihrer Auswahl zurückzukehren.
Wählen Sie konfigurierbare Panels & Premixed-Kits - ODER - Kits für die zelluläre Signaltransduktion & MAPmates™
Konfigurieren Sie Ihre MILLIPLEX® MAP-Kits und lassen sich den Preis anzeigen.
Konfigurierbare Panels & Premixed-Kits
Unser breites Angebot enthält Multiplex-Panels, für die Sie die Analyten auswählen können, die am besten für Ihre Anwendung geeignet sind. Unter einem separaten Register können Sie das Premixed-Cytokin-Format oder ein Singleplex-Kit wählen.
Kits für die zelluläre Signaltransduktion & MAPmates™
Wählen Sie gebrauchsfertige Kits zur Erforschung gesamter Signalwege oder Prozesse. Oder konfigurieren Sie Ihre eigenen Kits mit Singleplex MAPmates™.
Die folgenden MAPmates™ sollten nicht zusammen analysiert werden: -MAPmates™, die einen unterschiedlichen Assaypuffer erfordern. -Phosphospezifische und MAPmate™ Gesamtkombinationen wie Gesamt-GSK3β und Gesamt-GSK3β (Ser 9). -PanTyr und locusspezifische MAPmates™, z.B. Phospho-EGF-Rezeptor und Phospho-STAT1 (Tyr701). -Mehr als 1 Phospho-MAPmate™ für ein einziges Target (Akt, STAT3). -GAPDH und β-Tubulin können nicht mit Kits oder MAPmates™, die panTyr enthalten, analysiert werden.
.
Bestellnummer
Bestellinformationen
St./Pkg.
Liste
Dieser Artikel wurde zu Ihren Favoriten hinzugefügt.
Wählen Sie bitte Spezies, Panelart, Kit oder Probenart
Um Ihr MILLIPLEX® MAP-Kit zu konfigurieren, wählen Sie zunächst eine Spezies, eine Panelart und/oder ein Kit.
Custom Premix Selecting "Custom Premix" option means that all of the beads you have chosen will be premixed in manufacturing before the kit is sent to you.
Catalogue Number
Ordering Description
Qty/Pack
List
Dieser Artikel wurde zu Ihren Favoriten hinzugefügt.
Spezies
Panelart
Gewähltes Kit
Menge
Bestellnummer
Bestellinformationen
St./Pkg.
Listenpreis
96-Well Plate
Menge
Bestellnummer
Bestellinformationen
St./Pkg.
Listenpreis
Weitere Reagenzien hinzufügen (MAPmates erfordern die Verwendung eines Puffer- und Detektionskits)
Menge
Bestellnummer
Bestellinformationen
St./Pkg.
Listenpreis
48-602MAG
Buffer Detection Kit for Magnetic Beads
1 Kit
Platzsparende Option Kunden, die mehrere Kits kaufen, können ihre Multiplex-Assaykomponenten in Kunststoffbeuteln anstelle von Packungen erhalten, um eine kompaktere Lagerung zu ermöglichen.
Dieser Artikel wurde zu Ihren Favoriten hinzugefügt.
Das Produkt wurde in Ihre Bestellung aufgenommen
Sie können nun ein weiteres Kit konfigurieren, ein Premixed-Kit wählen, zur Kasse gehen oder das Bestell-Tool schließen.
Anti-PrP, clone DRM1-60 | MABN772 is an antibody against PrP for use in Western Blotting, ELISA, Immunohistochemistry.
More>>Anti-PrP, clone DRM1-60 | MABN772 is an antibody against PrP for use in Western Blotting, ELISA, Immunohistochemistry. Less<<
Anti-PrP, clone DRM1-60 Antibody: SDB (Sicherheitsdatenblätter), Analysenzertifikate und Qualitätszertifikate, Dossiers, Broschüren und andere verfügbare Dokumente.
The protein named PrP is the cellular gene for the prion protein. The normal form appears to play a role in neuronal development and synaptic plasticity, iron transport and myelin sheath maintenance. PrP has both membrane associated and cytoplasmic/nuclear isoforms. The primary isoform is localized to the cellular membrane in lipid anchor clusters, as well as in the Golgi. Isoform 2 is cytoplasmic that becomes localized to the nucleus. Prp is normally a monomeric protein but a disease associated mutated form will form protease resistant oligomers often with another protein beta amyloid. The mutated form is found in high quantity in the brain of humans and animals infected with the degenerative neurological diseases such as Kuru, Creutzfeldt-Jakob disease (CJD), Gerstmann-Straussler syndrome (GSS), Scrapie, and Bovine Spongiform Encephalopathy (BSE) and Transmissible Mink Encephalopathy.
References
Product Information
Format
Purified
Presentation
Purified mouse monoclonal IgG2bκ in buffer containing 0.1 M Tris-Glycine (pH 7.4), 150 mM NaCl with 0.05% sodium azide.
Anti-PrP, clone DRM1-60 | MABN772 is an antibody against PrP for use in Western Blotting, ELISA, Immunohistochemistry.
Key Applications
Western Blotting
ELISA
Immunohistochemistry
Application Notes
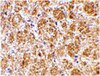
ELISA Analysis: A representative lot detected PrP in recombinant PrP proteins from multiple species by ELISA using DRM1-31, DRM1-60, and DRM2-118 (Stanker, L.H., et al. (2012). 31(5):314-24). Immunohistochemistry Analysis: A representative lot detected PrP in hamster brain sections tissue with DRM1-31, DRM1-60, and DRM2-118 (Stanker, L.H., et al. (2012). 31(5):314-24). Western Blotting Analysis: A representative lot detected PrP in normal brain extract from multiple spcecies using DRM2-118. DRM1-60, and DRM1-31 lysate (Stanker, L.H., et al. (2012). 31(5):314-24).
Biological Information
Immunogen
Recombinant protein corresponding to human PrP.
Clone
DRM1-60
Concentration
Please refer to lot specific datasheet.
Host
Mouse
Specificity
DRM1-60 showed strong binding to only one peptide (#29: NQVYYRPVDQYS) suggesting a linear epitope corresponding to SHaPrP(159–170), located in b2-a2 loop. This epitope assignment is consistent with the binding of DRM1-60 to PrPC to all species tested, except human and horse, which both harbor substitutions in this region. While antibodies with epitopes similar to DRM2-118 have been described,(36) DRM1-60 and DRM1-31 have unique epitopes not previously reported. DRM1-60 appears to bind a linear epitope localized to the b2-a2 loop, while DRM1-31 has a conformational epitope located on the exposed surface formed by the close proximity of the b2-a2- helix loop, the N-terminus of the a2 helix, and the C-terminus of the a3 helix.
~36 kDa observed. Uncharacterized band(s) may appear in some lysates.
Physicochemical Information
Dimensions
Materials Information
Toxicological Information
Safety Information according to GHS
Safety Information
Product Usage Statements
Quality Assurance
Evaluated by Western Blotting in mouse brain tissue lysate.
Western Blotting Analysis: 2.0 µg/mL of this antibody detected PrP in 10 µg of mouse brain tissue lysate.
Usage Statement
Unless otherwise stated in our catalog or other company documentation accompanying the product(s), our products are intended for research use only and are not to be used for any other purpose, which includes but is not limited to, unauthorized commercial uses, in vitro diagnostic uses, ex vivo or in vivo therapeutic uses or any type of consumption or application to humans or animals.
Prions, or infectious proteins, cause a class of uniformly fatal neurodegenerative diseases. Prions are composed solely of an aberrantly folded isoform (PrP(Sc)) of a normal cellular protein (PrP(C)). Shared sequence identity of PrP(Sc) with PrP(C) has limited the detection sensitivity of immunochemical assays, as antibodies specific for the disease-causing PrP(Sc) isoform have not been developed. Here we report the generation of three new monoclonal antibodies (MAbs) to PrP, which were isolated following immunization of Prnp(0/0) Balb/cJ mice with highly purified PrP(Sc) isolated from brain lipid rafts. Epitope mapping using synthetic PrP peptides revealed that the three MAbs bind different epitopes of PrP. The DRM1-31 MAb has a conformational epitope at the proposed binding site for the putative prion conversion co-factor "protein X." The DRM1-60 MAb binds a single linear epitope localized to the β2-α2 loop region of PrP, whereas DRM2-118 binds an epitope that includes sequences within the octarepeat region and near the site of N-terminal truncation of PrP(Sc) by proteinase K. Our novel anti-PrP MAbs with defined PrP epitopes may be useful in deciphering the conformational conversion of PrP(C) into PrP(Sc).