MABN782 Sigma-AldrichAnti-Amyloid-like protein 2, clone 5C9.3
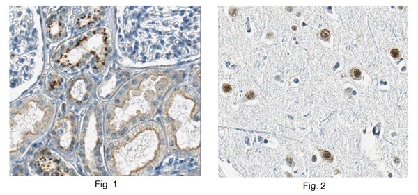
Anti-Amyloid-like protein 2 Antibody, clone 5C9.3 is an antibody against Amyloid-like protein 2 for use in Western Blotting and Immunohistochemistry.
More>> Anti-Amyloid-like protein 2 Antibody, clone 5C9.3 is an antibody against Amyloid-like protein 2 for use in Western Blotting and Immunohistochemistry. Less<<Recommended Products
Overview
| Replacement Information |
|---|
Key Spec Table
| Species Reactivity | Key Applications | Host | Format | Antibody Type |
|---|---|---|---|---|
| H | WB, IHC | M | Purified | Monoclonal Antibody |
| References |
|---|
| Product Information | |
|---|---|
| Format | Purified |
| Presentation | Purified mouse monoclonal IgG1κ in buffer containing 0.1 M Tris-Glycine (pH 7.4), 150 mM NaCl with 0.05% sodium azide. |
| Quality Segment | MQ300 |
| Physicochemical Information |
|---|
| Dimensions |
|---|
| Materials Information |
|---|
| Toxicological Information |
|---|
| Safety Information according to GHS |
|---|
| Safety Information |
|---|
| Storage and Shipping Information | |
|---|---|
| Storage Conditions | Stable for 1 year at 2-8°C from date of receipt. |
| Packaging Information | |
|---|---|
| Material Size | 100 µg |
| Transport Information |
|---|
| Supplemental Information |
|---|
| Specifications |
|---|
| Global Trade ITEM Number | |
|---|---|
| Catalogue Number | GTIN |
| MABN782 | 04055977136838 |
Documentation
Anti-Amyloid-like protein 2, clone 5C9.3 Certificates of Analysis
Technical Info
| Title |
|---|
| White Paper: Further considerations of antibody validation and usage. |



