Millipore Sigma Vibrant Logo

MABN1849 Anti-Cereblon Antibody, clone 4A7H6

View Products on Sigmaaldrich.com
MABN1849
100 µL  
Retrieving price...
Price could not be retrieved
Minimum Quantity is a multiple of
Maximum Quantity is
Upon Order Completion More Information
You Saved ()
 
Request Pricing
Fulfillment and delivery delayed
Fulfillment and delivery delayed
In Stock 
Discontinued
Limited Quantities Available
Availability to be confirmed
    Remaining : Will advise
      Remaining : Will advise
      Will advise
      Contact Customer Service
      Contact Customer Service

      Special Offers

       

      Contact Customer Service

      Overview

      Replacement Information

      Key Spec Table

      Species ReactivityKey ApplicationsHostFormatAntibody Type
      HWB, IH(P)MPurifiedMonoclonal Antibody
      Description
      Catalogue NumberMABN1849
      DescriptionAnti-Cereblon Antibody, clone 4A7H6
      Alternate Names
      • Cereblon
      • Protein cereblon
      Background InformationProtein cereblon (UniProt Q96SW2) is encoded by the CRBN (also known as AD-006, MRT2A) gene (Gene ID 51185) in human. Originally identified as a genetic cause of inherited autosomal recessive mental retardation, the human CRBN gene encodes a substrate receptor of a ubiquitin E3 cullin 4-RING ligase (CRL4) complex. A cullin-4 (CULT4) protein provides a scaffold for assembling RING box-domain protein (​RBX1) and the adaptor protein damaged ​DNA-binding protein 1 (​DDB1) to form a CRL4 E3 complex, where ​RBX1 serves as the docking site for the activated E2 protein, and ​DDB1 recruits substrate-specificity receptors or DCAFs (DDB1-cullin 4-associated factors) to form the substrate-presenting side of the CRL4 complex. Thalidomide and its analogs (lenalidomide, pomalidomide and apremilast) are immunomodulatory drugs (IMiDs) that exert their antiproliferative effects on multiple myeloma (MM) cells and immunomodulatory effects on T cells by directly binding cereblon and promoting recruitment of the hematopoietic zinc-finger transcription factors Ikaros (IKZF1) and Aiolos (IKZF3), leading to their ubiquitination and proteasomal degradation. Human cereblon is a 442-amino acid protein composed of a ​Lon protease-like scaffold (a.a. 80-317) with a helical insertion that mediates ​DDB1 binding and a thalidomide-binding domain (TBD; a.a. 339-442).
      References
      Product Information
      FormatPurified
      PresentationPurified mouse IgG1 in buffer containing 0.1 M Tris-Glycine (pH 7.4), 150 mM NaCl with 0.05% sodium azide.
      Quality SegmentMQ100
      Applications
      ApplicationDetect Cereblon using this mouse monoclonal antibody, Anti-Cereblon, clone 4A7H6, Cat. No. MABN1849, validated for use in Immunohistochemistry (Paraffin) and Western Blotting.
      Key Applications
      • Western Blotting
      • Immunohistochemistry (Paraffin)
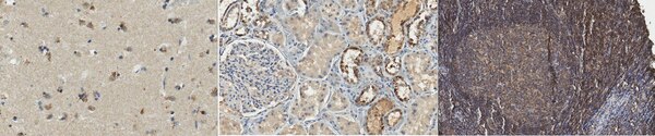
      Application NotesImmunohistochemistry Analysis: A 1:50 dilution from a representative lot detected cereblon in human cerebral cortex, kidney, and tonsil tissue sections.

      Western Blotting Analysis: A 1:125 dilution from a representative lot detected cereblon in 10 µg of HEK293 cell lysate.
      Biological Information
      ImmunogenKLH-conjugated linear peptide corresponding to a sequence N-terminal to the LON domain of cereblon.
      Clone4A7H6
      ConcentrationPlease refer to lot specific datasheet.
      HostMouse
      SpecificityClone 4A7H6 was raised against a sequence N-terminal to the LON domain present in all spliced isoforms of bovine, chicken, human, mouse, orangutan, rat, and xenopus (UniProt Q0P564, P0CF65, Q96SW2, Q8C7D2, Q5R6Y2, Q56AP7, Q640S2). Immunogen sequence is well conserved in essentially all mammalian species.
      IsotypeIgG1κ
      Species Reactivity
      • Human
      Species Reactivity NoteHuman. Predicted to react with Bovine, Chicken, Mouse, Non-Human Primate, Rat, and Xenopus based on 100% sequence homology.
      Antibody TypeMonoclonal Antibody
      Entrez Gene Number
      Gene Symbol
      • CRBN
      • AD-006
      • MRT2A
      Purification MethodProtein G purified.
      UniProt Number
      Molecular Weight~50 kDa observed. 50.55/50.48 kDa (human isoform 1/2), 50.88/49.48/50.81 kDa (mouse isoform 1/2/3), 50.80/51.12/49.25/50.88/50.67 kDa (bovine/chicken/orangutan/rat/xenopus) calculated. Uncharacterized bands may be observed in some lysate(s).
      Physicochemical Information
      Dimensions
      Materials Information
      Toxicological Information
      Safety Information according to GHS
      Safety Information
      Product Usage Statements
      Quality AssuranceEvaluated by Western Blotting in Jurkat cell lysate.

      Western Blotting Analysis: A 1:250 dilution of this antibody detected cereblon in 10 µg of Jurkat cell lysate.
      Usage Statement
      • Unless otherwise stated in our catalog or other company documentation accompanying the product(s), our products are intended for research use only and are not to be used for any other purpose, which includes but is not limited to, unauthorized commercial uses, in vitro diagnostic uses, ex vivo or in vivo therapeutic uses or any type of consumption or application to humans or animals.
      Storage and Shipping Information
      Storage ConditionsStable for 1 year at 2-8°C from date of receipt.
      Packaging Information
      Material Size100 µL
      Transport Information
      Supplemental Information
      Specifications
      Global Trade ITEM Number
      Catalogue Number GTIN
      MABN1849 04054839057847