Millipore Sigma Vibrant Logo

MABS1883 Anti-SUFU Antibody, clone 15G3.1

View Products on Sigmaaldrich.com
MABS1883
100 µL  
Retrieving price...
Price could not be retrieved
Minimum Quantity is a multiple of
Maximum Quantity is
Upon Order Completion More Information
You Saved ()
 
Request Pricing
Fulfillment and delivery delayed
Fulfillment and delivery delayed
In Stock 
Discontinued
Limited Quantities Available
Availability to be confirmed
    Remaining : Will advise
      Remaining : Will advise
      Will advise
      Contact Customer Service
      Contact Customer Service

       

      Contact Customer Service

      Overview

      Replacement Information

      Key Spec Table

      Species ReactivityKey ApplicationsHostFormatAntibody Type
      M, HWB, IH(P)MPurifiedMonoclonal Antibody
      Description
      Catalogue NumberMABS1883
      DescriptionAnti-SUFU Antibody, clone 15G3.1
      Alternate Names
      • Suppressor of fused homolog
      • SUFUH
      Background InformationSuppressor of fused homolog (UniProt: Q9UMX1; also known as SUFUH) is encoded by the SUFU (also known as UNQ650/PRO1280) gene (Gene ID: 51684) gene in human. SUFUH acts as a negative regulator in the hedgehog signaling pathway that is ubiquitously distributed in adult tissues. Three isoforms of SUFUH have been described that are produced by alternative splicing. Isoform 1 is detected in fetal brain, lung, kidney and testis and isoform 2 is detected in fetal testis, and at much lower levels in fetal brain, lung and kidney. SUFUH is shown to down-regulate Gli1-and Gli2-mediated transactivation of target genes. Binding of SUFUH sequesters Gli proteins in the cytoplasm. It is a part of a corepressor complex that acts on DNA-bound Gli1 and may link Gli1 to beta-transducin repeat containing E3 Ubiquitin Protein Ligase (BTRC) and facilitate its proteasomal degradation. SUFUH regulates the formation of either the repressor form (Gli3R) or the activator form (Gli3A) of the full length form of GLi3 (Gli3FL). When complexed with SUFUH, Gli3FL remains in the cytoplasm and is maintained in a neutral state. Mutations in SUFU gene are known to cause medulloblastoma.
      References
      Product Information
      FormatPurified
      PresentationPurified mouse monoclonal antibody IgG1 in buffer containing 0.1 M Tris-Glycine (pH 7.4), 150 mM NaCl with 0.05% sodium azide.
      Quality SegmentMQ100
      Applications
      ApplicationAnti-SUFU, clone 15G3.1, Cat. No. MABS1883, is a mouse monoclonal antibdoy that detects Suppressor of fused homolog (SUFU) and is tested for use in Immunohistochemistry (Paraffin) and Western Blotting.
      Key Applications
      • Western Blotting
      • Immunohistochemistry (Paraffin)
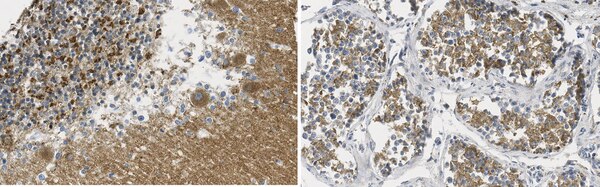
      Application NotesImmunohistochemistry Analysis: A 1:50 dilution from a representative lot detected SUFU in human cerebellum, human testis, human pancreas, and human skin tissues.
      Biological Information
      ImmunogenGST/His-tagged recombinant fragment corresponding to 177 amino acids from the C-terminal half of human Suppressor of fused homolog (SUFU).
      Clone15G3.1
      ConcentrationPlease refer to lot specific datasheet.
      HostMouse
      SpecificityClone 15G3.1 detects Suppressor of fused homolog (SUFU) in human and murine cells. It targets an epitope within 177 amino acids from the C-terminal half.
      IsotypeIgG1κ
      Species Reactivity
      • Mouse
      • Human
      Species Reactivity NoteHuman, Mouse.
      Antibody TypeMonoclonal Antibody
      Entrez Gene Number
      Gene Symbol
      • SUFU
      • UNQ650
      • PRO1280
      Purification MethodProtein G purified
      UniProt Number
      Molecular Weight~54 kDa observed; 53.95 kDa calculated. Uncharacterized bands may be observed in some lysate(s).
      Physicochemical Information
      Dimensions
      Materials Information
      Toxicological Information
      Safety Information according to GHS
      Safety Information
      Product Usage Statements
      Quality AssuranceEvaluated by Western Blotting in NIH-3T3 cell lysate.

      Western Blotting Analysis: A 1:1,000 dilution of this antibody detected SUFU in NIH-3T3 cell lysate.
      Usage Statement
      • Unless otherwise stated in our catalog or other company documentation accompanying the product(s), our products are intended for research use only and are not to be used for any other purpose, which includes but is not limited to, unauthorized commercial uses, in vitro diagnostic uses, ex vivo or in vivo therapeutic uses or any type of consumption or application to humans or animals.
      Storage and Shipping Information
      Storage ConditionsStable for 1 year at 2-8°C from date of receipt.
      Packaging Information
      Material Size100 µL
      Transport Information
      Supplemental Information
      Specifications
      Global Trade ITEM Number
      Catalogue Number GTIN
      MABS1883 04054839396694