Wenn Sie das Fenster schließen, wird Ihre Konfiguration nicht gespeichert, es sei denn, Sie haben Ihren Artikel in die Bestellung aufgenommen oder zu Ihren Favoriten hinzugefügt.
Klicken Sie auf OK, um das MILLIPLEX® MAP-Tool zu schließen oder auf Abbrechen, um zu Ihrer Auswahl zurückzukehren.
Wählen Sie konfigurierbare Panels & Premixed-Kits - ODER - Kits für die zelluläre Signaltransduktion & MAPmates™
Konfigurieren Sie Ihre MILLIPLEX® MAP-Kits und lassen sich den Preis anzeigen.
Konfigurierbare Panels & Premixed-Kits
Unser breites Angebot enthält Multiplex-Panels, für die Sie die Analyten auswählen können, die am besten für Ihre Anwendung geeignet sind. Unter einem separaten Register können Sie das Premixed-Cytokin-Format oder ein Singleplex-Kit wählen.
Kits für die zelluläre Signaltransduktion & MAPmates™
Wählen Sie gebrauchsfertige Kits zur Erforschung gesamter Signalwege oder Prozesse. Oder konfigurieren Sie Ihre eigenen Kits mit Singleplex MAPmates™.
Die folgenden MAPmates™ sollten nicht zusammen analysiert werden: -MAPmates™, die einen unterschiedlichen Assaypuffer erfordern. -Phosphospezifische und MAPmate™ Gesamtkombinationen wie Gesamt-GSK3β und Gesamt-GSK3β (Ser 9). -PanTyr und locusspezifische MAPmates™, z.B. Phospho-EGF-Rezeptor und Phospho-STAT1 (Tyr701). -Mehr als 1 Phospho-MAPmate™ für ein einziges Target (Akt, STAT3). -GAPDH und β-Tubulin können nicht mit Kits oder MAPmates™, die panTyr enthalten, analysiert werden.
.
Bestellnummer
Bestellinformationen
St./Pkg.
Liste
Dieser Artikel wurde zu Ihren Favoriten hinzugefügt.
Wählen Sie bitte Spezies, Panelart, Kit oder Probenart
Um Ihr MILLIPLEX® MAP-Kit zu konfigurieren, wählen Sie zunächst eine Spezies, eine Panelart und/oder ein Kit.
Custom Premix Selecting "Custom Premix" option means that all of the beads you have chosen will be premixed in manufacturing before the kit is sent to you.
Catalogue Number
Ordering Description
Qty/Pack
List
Dieser Artikel wurde zu Ihren Favoriten hinzugefügt.
Spezies
Panelart
Gewähltes Kit
Menge
Bestellnummer
Bestellinformationen
St./Pkg.
Listenpreis
96-Well Plate
Menge
Bestellnummer
Bestellinformationen
St./Pkg.
Listenpreis
Weitere Reagenzien hinzufügen (MAPmates erfordern die Verwendung eines Puffer- und Detektionskits)
Menge
Bestellnummer
Bestellinformationen
St./Pkg.
Listenpreis
48-602MAG
Buffer Detection Kit for Magnetic Beads
1 Kit
Platzsparende Option Kunden, die mehrere Kits kaufen, können ihre Multiplex-Assaykomponenten in Kunststoffbeuteln anstelle von Packungen erhalten, um eine kompaktere Lagerung zu ermöglichen.
Dieser Artikel wurde zu Ihren Favoriten hinzugefügt.
Das Produkt wurde in Ihre Bestellung aufgenommen
Sie können nun ein weiteres Kit konfigurieren, ein Premixed-Kit wählen, zur Kasse gehen oder das Bestell-Tool schließen.
ABC2036
Sigma-AldrichAnti-MLKL
Anti-MLKL, Cat. No. ABC2036, is a rabbit polyclonal antibody that detects Mixed lineage kinase domain-like protein (MLKL) and has been tested for use in Immunohistochemistry (Paraffin) and Western Blotting.
More>>Anti-MLKL, Cat. No. ABC2036, is a rabbit polyclonal antibody that detects Mixed lineage kinase domain-like protein (MLKL) and has been tested for use in Immunohistochemistry (Paraffin) and Western Blotting. Less<<
Anti-MLKL: SDB (Sicherheitsdatenblätter), Analysenzertifikate und Qualitätszertifikate, Dossiers, Broschüren und andere verfügbare Dokumente.
Opticap XL10-Kapsule mit 0,22-µm-Durapore-Membran, gammabeständig, 3/4"-TC beidseitig
Übersicht
Replacement Information
Key Spec Table
Species Reactivity
Key Applications
Host
Format
Antibody Type
H
WB, IH(P)
Rb
Purified
Polyclonal Antibody
Description
Catalogue Number
ABC2036
Description
Anti-MLKL
Alternate Names
Mixed lineage kinase domain-like protein
hMLKL
Background Information
Mixed lineage kinase domain-like protein (UniProt: Q8NB16; also known as hMLKL) is encoded by the MLKL gene (Gene ID: 197259) in human. MLKL is a pseudokinase that plays a key role in TNF-induced necroptosis, a programmed cell death process. MLKL contains a protein kinase-like domain; but it lacks several residues required for activity. Its ATP-binding site is located within amino acids 209-217. Two isoforms of MLKL have been described that are produced by alternative splicing. It contains two coiled coil regions (aa 55-84 and 139-180) and coiled coil region 2 is shown to be responsible for its homotrimerization. MLKL is phosphorylated on Thr357/Ser358 by RIP3 kinase that leads to its oligomerization. The oligomeric MLKL then translocates from cytosol to plasma membrane and intracellular membranes where it bind to phosphatidylinositol and cardiolipin and disrupts membrane integrity leading to necrotic cell death. MLKL is reported to play a critical role in TNF-induced necroptosis. (Ref.: Wang, H., et al (2014). Mol. Cell 54(1); 133-146).
References
Product Information
Format
Purified
Presentation
Purified rabbit polyclonal antibody in buffer containing 0.1 M Tris-Glycine (pH 7.4), 150 mM NaCl with 0.05% sodium azide.
Anti-MLKL, Cat. No. ABC2036, is a rabbit polyclonal antibody that detects Mixed lineage kinase domain-like protein (MLKL) and has been tested for use in Immunohistochemistry (Paraffin) and Western Blotting.
Key Applications
Western Blotting
Immunohistochemistry (Paraffin)
Application Notes
Western Blotting Analysis: A 1:500 dilution of from a representative lot detected MLKL in 10 µg of Jurkat cell lysate.
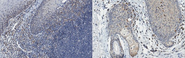
Immunohistochemistry Analysis: A 1:250 dilution from a representative lot detected MLKL in human tonsil and human squamous cell carcinoma tissue sections.
Biological Information
Immunogen
GST/His-tagged recombinant fragment corresponding to the first 124 amino acids from the N-terminal region of human Mixed lineage kinase domain-like protein (MLKL).
Epitope
N-terminus
Concentration
Please refer to lot specific datasheet.
Host
Rabbit
Specificity
This rabbit polyclonal antibody detects Mixed lineage kinase domain-like protein in human cells. It targets an epitope within the first 124 amino acids from the N-terminal region.
~52 kDa observed; 54.48 kDa calculated. Uncharacterized bands may be observed in some lysate(s).
Physicochemical Information
Dimensions
Materials Information
Toxicological Information
Safety Information according to GHS
Safety Information
Product Usage Statements
Quality Assurance
Evaluated by Western Blotting in HT-29 cell lysate.
Western Blotting Analysis: A 1:500 dilution of this antibody detected MLKL in 10 µg of HT-29 cell lysate.
Usage Statement
Unless otherwise stated in our catalog or other company documentation accompanying the product(s), our products are intended for research use only and are not to be used for any other purpose, which includes but is not limited to, unauthorized commercial uses, in vitro diagnostic uses, ex vivo or in vivo therapeutic uses or any type of consumption or application to humans or animals.