Wenn Sie das Fenster schließen, wird Ihre Konfiguration nicht gespeichert, es sei denn, Sie haben Ihren Artikel in die Bestellung aufgenommen oder zu Ihren Favoriten hinzugefügt.
Klicken Sie auf OK, um das MILLIPLEX® MAP-Tool zu schließen oder auf Abbrechen, um zu Ihrer Auswahl zurückzukehren.
Wählen Sie konfigurierbare Panels & Premixed-Kits - ODER - Kits für die zelluläre Signaltransduktion & MAPmates™
Konfigurieren Sie Ihre MILLIPLEX® MAP-Kits und lassen sich den Preis anzeigen.
Konfigurierbare Panels & Premixed-Kits
Unser breites Angebot enthält Multiplex-Panels, für die Sie die Analyten auswählen können, die am besten für Ihre Anwendung geeignet sind. Unter einem separaten Register können Sie das Premixed-Cytokin-Format oder ein Singleplex-Kit wählen.
Kits für die zelluläre Signaltransduktion & MAPmates™
Wählen Sie gebrauchsfertige Kits zur Erforschung gesamter Signalwege oder Prozesse. Oder konfigurieren Sie Ihre eigenen Kits mit Singleplex MAPmates™.
Die folgenden MAPmates™ sollten nicht zusammen analysiert werden: -MAPmates™, die einen unterschiedlichen Assaypuffer erfordern. -Phosphospezifische und MAPmate™ Gesamtkombinationen wie Gesamt-GSK3β und Gesamt-GSK3β (Ser 9). -PanTyr und locusspezifische MAPmates™, z.B. Phospho-EGF-Rezeptor und Phospho-STAT1 (Tyr701). -Mehr als 1 Phospho-MAPmate™ für ein einziges Target (Akt, STAT3). -GAPDH und β-Tubulin können nicht mit Kits oder MAPmates™, die panTyr enthalten, analysiert werden.
.
Bestellnummer
Bestellinformationen
St./Pkg.
Liste
Dieser Artikel wurde zu Ihren Favoriten hinzugefügt.
Wählen Sie bitte Spezies, Panelart, Kit oder Probenart
Um Ihr MILLIPLEX® MAP-Kit zu konfigurieren, wählen Sie zunächst eine Spezies, eine Panelart und/oder ein Kit.
Custom Premix Selecting "Custom Premix" option means that all of the beads you have chosen will be premixed in manufacturing before the kit is sent to you.
Catalogue Number
Ordering Description
Qty/Pack
List
Dieser Artikel wurde zu Ihren Favoriten hinzugefügt.
Spezies
Panelart
Gewähltes Kit
Menge
Bestellnummer
Bestellinformationen
St./Pkg.
Listenpreis
96-Well Plate
Menge
Bestellnummer
Bestellinformationen
St./Pkg.
Listenpreis
Weitere Reagenzien hinzufügen (MAPmates erfordern die Verwendung eines Puffer- und Detektionskits)
Menge
Bestellnummer
Bestellinformationen
St./Pkg.
Listenpreis
48-602MAG
Buffer Detection Kit for Magnetic Beads
1 Kit
Platzsparende Option Kunden, die mehrere Kits kaufen, können ihre Multiplex-Assaykomponenten in Kunststoffbeuteln anstelle von Packungen erhalten, um eine kompaktere Lagerung zu ermöglichen.
Dieser Artikel wurde zu Ihren Favoriten hinzugefügt.
Das Produkt wurde in Ihre Bestellung aufgenommen
Sie können nun ein weiteres Kit konfigurieren, ein Premixed-Kit wählen, zur Kasse gehen oder das Bestell-Tool schließen.
Detect Mucin-16 using this mouse monoclonal Anti-Mucin-16 (CA-125), clone 5E11 Antibody, Cat. No. MABC1608-25UG, validated for use in Immunohistochemistry (Paraffin) and Western Blotting, Proximity Ligation Assay.
More>>Detect Mucin-16 using this mouse monoclonal Anti-Mucin-16 (CA-125), clone 5E11 Antibody, Cat. No. MABC1608-25UG, validated for use in Immunohistochemistry (Paraffin) and Western Blotting, Proximity Ligation Assay. Less<<
Anti-Mucin-16 (CA-125) Antibody, clone 5E11: SDB (Sicherheitsdatenblätter), Analysenzertifikate und Qualitätszertifikate, Dossiers, Broschüren und andere verfügbare Dokumente.
Mucin-16 (UniProt: Q8WXI7; also known as MUC-16, Ovarian cancer-related tumor marker CA125, CA-125, Ovarian carcinoma antigen CA125) is encoded by the MUC16 (also known as CA125) gene (Gene ID: 94025) in human. Mucin-16 is a heavily O-glycosylated protein that can be liberated into the extracellular space following the phosphorylation of the intracellular C-terminus, which induces proteolytic cleavage and liberation of extracellular domain. I provides protective, lubricating barrier against particles and infectious agents at mucosal surfaces. Mucin-16 is composed of three domains: a Serine, Threonine-rich N-terminal domain, a repeated domain containing between 12 and 60 partially conserved tandem repeats of 156 amino acids and a C-terminal transmembrane domain with a short cytoplasmic tail. Its expression is up-regulated in ovarian cancer cells and may serve as a marker for ovarian cancer. Mucin-16 is shown to binds to mesothelin (MSLN) and this binding mediates heterotypic cell adhesion, which may contribute to the metastasis of ovarian cancer to the peritoneum by initiating cell attachment to the mesothelial epithelium.
References
Product Information
Format
Purified
Presentation
Purified mouse monoclonal antibody IgG1 in buffer containing 0.1 M Tris-Glycine (pH 7.4), 150 mM NaCl with 0.05% sodium azide.
Detect Mucin-16 using this mouse monoclonal Anti-Mucin-16 (CA-125), clone 5E11 Antibody, Cat. No. MABC1608-25UG, validated for use in Immunohistochemistry (Paraffin) and Western Blotting, Proximity Ligation Assay.
Key Applications
Immunohistochemistry (Paraffin)
Western Blotting
Proximity Ligation Assay
Application Notes
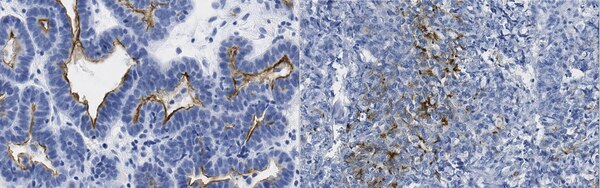
Immunohistochemistry Analysis: A representative lot detected Mucin-16 in ovarian serous cystadenocarcinoma tissue (C ourtesy of Dr. Leonor David, M.D., Ph.D., IPATIMUP and Medical Faculty of the University of Porto, Portugal). Proximity Ligation Assay Analysis: A representative lot detected Mucin-16 in Proximity Ligation Assay applications (Ricardo, S., et. al. (2016). Virchows Arch. 468(6):715-22; Ricardo, S., et. al. (2015). Mol Oncol. 9(2):503-12). Immunohistochemistry Analysis: A representative lot detected Mucin-16 in Immunohistochemistry applications (Marcos-Silva, L., et. al. (2015). Glycobiology. 25(11):1172-82; Ricardo, S., et. al. (2015). Mol Oncol. 9(2):503-12). Immunohistochemistry Analysis: A representative lot detected Mucin-16 in ovarian serous cystadenocarcinoma tissue (C ourtesy of Dr. Leonor David, M.D., Ph.D., IPATIMUP and Medical Faculty of the University of Porto, Portugal). Western Blotting Analysis: A representative lot detected Mucin-16 in Western Blotting applications (Marcos-Silva, L., et. al. (2015). Glycobiology. 25(11):1172-82).
Biological Information
Immunogen
His-tagged recombinant fragment corresponding to 264 amino acids from the C-terminal half of human Mucin-16.
Concentration
Please refer to lot specific datasheet.
Host
Mouse
Specificity
Clone 5E11 detects Mucin-16 in human ovarian cancer tissue. It targets an epitope within 264 amino acids from the C-terminal half.
Evaluated by Immunohistochemistry in human ovarian cancer and human uterine tissues.
Immunohistochemistry (Paraffin) Analysis: A 1:50-250 dilution of this antibody detected Mucin-16 in human ovarian cancer and human uterine tissues.
Usage Statement
Unless otherwise stated in our catalog or other company documentation accompanying the product(s), our products are intended for research use only and are not to be used for any other purpose, which includes but is not limited to, unauthorized commercial uses, in vitro diagnostic uses, ex vivo or in vivo therapeutic uses or any type of consumption or application to humans or animals.