Millipore Sigma Vibrant Logo

374090 Anti-Heme Oxygenase-1 (1-30) Rabbit pAb

Overview

Replacement Information

Key Spec Table

Species ReactivityHostAntibody Type
Ca, Ht, H, Mk, M, RRbPolyclonal Antibody

Pricing & Availability

Catalogue Number AvailabilityPackaging Qty/Pack Price Quantity
374090-100UL
Retrieving availability...
Fulfillment and delivery delayed
Fulfillment and delivery delayed
In Stock 
Discontinued
Limited Quantities Available
Availability to be confirmed
    Remaining : Will advise
      Remaining : Will advise
      Will advise
      Contact Customer Service
      Contact Customer Service

      Plastic ampoule 100 ul
      Retrieving price...
      Price could not be retrieved
      Minimum Quantity is a multiple of
      Maximum Quantity is
      Upon Order Completion More Information
      You Saved ()
       
      Request Pricing
      Description
      OverviewRecognizes the ~32 kDa HO-1 protein. Does not cross-react with HO-2.
      Catalogue Number374090
      Brand Family Calbiochem®
      SynonymsAnti-HO-1, Anti-Hsp32
      Application Data
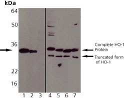
      Detection of heme oxygenase-1 by immunoblotting. Samples: Recombinant rat HO-1 (lane 1), recombinant human HO-1 (lane 2), negative control recombinant human protein (lane 3), extracts from dog liver microsomes (lane 4), mouse liver microsomes (lane 5), rat liver microsomes (lane 6), and human liver microsomes (lane 7). Primary antibody: Anti-Heme Oxygenase-1 (1-30) Rabbit pAb (Cat. No. 374090) (1:1000). Detection: chemiluminescence.
      References
      ReferencesMaines, M.D. 1988 FASEB J. 2, 2557.
      Kutty, R.K., et al. 1994. J. Cell Physiol. 159, 371.
      Yoshida, T., et al. 1988. Eur. J. Biochem. 171, 457.
      Trakshel, G.M., et al. 1986 J. Biol. Chem. 261, 11131.
      Product Information
      FormLiquid
      FormulationIn PBS, 50% glycerol, pH 7.2.
      Preservative≤0.1% sodium azide
      Quality SegmentMQ100
      Applications
      Key Applications Immunoblotting (Western Blotting)
      Immunoprecipitation
      Application NotesImmunoblotting (1:1000, chemiluminescence)
      Immunoprecipitation (1:100)
      Application CommentsDoes not cross-react with HO-2. Variables associated with assay conditions will dictate the proper working dilution.
      Biological Information
      Immunogena synthetic peptide (MERPQPDSMPQDLSEALKEATKEVHTQAEN) corresponding to amino acids 1-30 of human HO-1 prepared as a four-branched multiple antigen peptide
      ImmunogenHuman
      HostRabbit
      IsotypeIgG
      Species Reactivity
      • Canine
      • Hamster
      • Human
      • Monkey
      • Mouse
      • Rat
      Antibody TypePolyclonal Antibody
      Physicochemical Information
      Dimensions
      Materials Information
      Toxicological Information
      Safety Information according to GHS
      Safety Information
      S PhraseS: 24/25-36-A09

      Avoid contact with skin and eyes.
      Wear suitable protective clothing.
      Product Usage Statements
      Storage and Shipping Information
      Ship Code Ambient Temperature Only
      Toxicity Standard Handling
      Storage -20°C
      Avoid freeze/thaw Avoid freeze/thaw
      Do not freeze Ok to freeze
      Special InstructionsFollowing initial thaw, aliquot and freeze (-20°C).
      Packaging Information
      Transport Information
      Supplemental Information
      Specifications
      Global Trade ITEM Number
      Catalogue Number GTIN
      374090-100UL 04055977191172

      Documentation

      Anti-Heme Oxygenase-1 (1-30) Rabbit pAb SDS

      Title

      Safety Data Sheet (SDS) 

      Anti-Heme Oxygenase-1 (1-30) Rabbit pAb Certificates of Analysis

      TitleLot Number
      374090

      References

      Reference overview
      Maines, M.D. 1988 FASEB J. 2, 2557.
      Kutty, R.K., et al. 1994. J. Cell Physiol. 159, 371.
      Yoshida, T., et al. 1988. Eur. J. Biochem. 171, 457.
      Trakshel, G.M., et al. 1986 J. Biol. Chem. 261, 11131.
      Data Sheet

      Note that this data sheet is not lot-specific and is representative of the current specifications for this product. Please consult the vial label and the certificate of analysis for information on specific lots. Also note that shipping conditions may differ from storage conditions.

      Revision15-December-2008 JSW
      SynonymsAnti-HO-1, Anti-Hsp32
      ApplicationImmunoblotting (1:1000, chemiluminescence)
      Immunoprecipitation (1:100)
      Application Data
      Detection of heme oxygenase-1 by immunoblotting. Samples: Recombinant rat HO-1 (lane 1), recombinant human HO-1 (lane 2), negative control recombinant human protein (lane 3), extracts from dog liver microsomes (lane 4), mouse liver microsomes (lane 5), rat liver microsomes (lane 6), and human liver microsomes (lane 7). Primary antibody: Anti-Heme Oxygenase-1 (1-30) Rabbit pAb (Cat. No. 374090) (1:1000). Detection: chemiluminescence.
      DescriptionProtein A purified rabbit polyclonal antibody. Recognizes the ~32 kDa HO-1 protein.
      BackgroundHeme oxygenase (HO) is a microsomal enzyme that oxidatively cleaves heme, a pro-oxidant, into carbon monoxide and biliverdin, which is reduced to the antioxidant, bilirubin. Two isozymes, termed HO-1 and HO-2, have been identified. By SDS-PAGE, mammalian HO-1 is ~31-33 kDa; HO-2 is ~36 kDa. HO-1, also referred to as stress protein Hsp32, is the inducible form of the enzyme. HO-1 expression can be induced by a variety of stimuli such as heme, metals, hormones, UV radiation and sulfhydryl depleting agents. In contrast, HO-2 is constitutively expressed. HO-2 is the most prevalent form in most tissues, except the spleen where HO-1 levels are predominant.
      HostRabbit
      Immunogen speciesHuman
      Immunogena synthetic peptide (MERPQPDSMPQDLSEALKEATKEVHTQAEN) corresponding to amino acids 1-30 of human HO-1 prepared as a four-branched multiple antigen peptide
      IsotypeIgG
      Speciescanine, hamster, human, monkey, mouse, rat
      FormLiquid
      FormulationIn PBS, 50% glycerol, pH 7.2.
      Preservative≤0.1% sodium azide
      CommentsDoes not cross-react with HO-2. Variables associated with assay conditions will dictate the proper working dilution.
      Storage Avoid freeze/thaw
      -20°C
      Do Not Freeze Ok to freeze
      Special InstructionsFollowing initial thaw, aliquot and freeze (-20°C).
      Toxicity Standard Handling
      ReferencesMaines, M.D. 1988 FASEB J. 2, 2557.
      Kutty, R.K., et al. 1994. J. Cell Physiol. 159, 371.
      Yoshida, T., et al. 1988. Eur. J. Biochem. 171, 457.
      Trakshel, G.M., et al. 1986 J. Biol. Chem. 261, 11131.