Millipore Sigma Vibrant Logo

386023 Anti-Hsp47 Mouse mAb (M16.10A1)

Overview

Replacement Information

Key Spec Table

Species ReactivityHostAntibody Type
B, Ca, Ch, Gp, Ht, H, Mk, M, Porcine, R, ShMMonoclonal Antibody

Pricing & Availability

Catalogue Number AvailabilityPackaging Qty/Pack Price Quantity
386023-50UG
Retrieving availability...
Fulfillment and delivery delayed
Fulfillment and delivery delayed
In Stock 
Discontinued
Limited Quantities Available
Availability to be confirmed
    Remaining : Will advise
      Remaining : Will advise
      Will advise
      Contact Customer Service
      Contact Customer Service

      Plastic ampoule 50 μg
      Retrieving price...
      Price could not be retrieved
      Minimum Quantity is a multiple of
      Maximum Quantity is
      Upon Order Completion More Information
      You Saved ()
       
      Request Pricing
      Description
      OverviewRecognizes the ~47 kDa Hsp47 protein.
      Catalogue Number386023
      Brand Family Calbiochem®
      SynonymsAnti-Colligin
      Application Data
      Detection of mouse Hsp47 by immunoblotting. Sample: Whole cell lysate from 3T3 cells. Primary antibody: Anti-Hsp47 Mouse mAb (M16.10A1) (Cat. No. 386023) (1:1000). Detection: chemiluminescence.

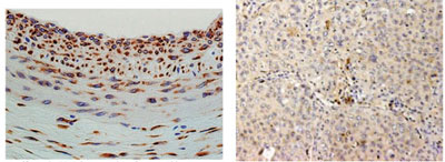
      (left) Detection of rat Hsp47 by staining paraffin sections. Sample: Paraffin-embedded rat carotoid artery after balloon injury to the artery. Primary antibody: Anti-Hsp47 Mouse mAb (M16.10A1) (Cat. No. 386023). Detection: colorimetric (DAB). (right) Detection of human Hsp47 by staining paraffin sections. Sample: Human breast cancer tissue. Primary antibody: Anti-Hsp47 Mouse mAb (M16.10A1) (Cat. No. 386023) (1:50). Detection: colorimetric (DAB).
      References
      ReferencesKuroda, K., et al. 1998. J. Invest. Dermatol. 111, 1023.
      Nandan, D., et al. 1998. Exp. Cell Res. 179, 289.
      Clark, E.P., et al. 1991. J. Biol. Chem. 266, 17230.
      Vaillancourt, J.P., and Cates, G.A. 1991. Biochem. J. 274, 793.
      Cates, G.A., et al. 1987. Biochem. Cell Biol. 65, 767.
      Saga, S., et al. 1987. J. Cell Biol. 105, 517.
      Nagata, K., et al. 1986. J. Biol. Chem. 261, 7531.
      Product Information
      FormLiquid
      FormulationIn PBS, 50% glycerol, pH 7.2.
      Positive control3T3 cells, Human breast cancer tissue
      Preservative≤0.1% sodium azide
      Quality SegmentMQ100
      Applications
      Key Applications Enzyme Immunoassay
      Enzyme-Linked Immunosorbent Assay
      Immunoblotting (Western Blotting)
      Immunocytochemistry
      Immunofluorescence
      Immunoprecipitation
      Paraffin Sections
      Application NotesELISA (see comments)
      Enzyme Immunoassay (see comments)
      Immunoblotting (1 µg/ml, colorimetric)
      Immunocytochemistry (1 µg/ml)
      Immunofluorescence (5 µg/ml)
      Immunoprecipitation (5 µg/ml)
      Paraffin Sections (see comments)
      Application CommentsThis antibody has also been reported to work for ELISA and enzyme immunoassay. Variables associated with assay conditions will dictate the optimal dilution.
      Biological Information
      ImmunogenHsp47 from L6 cells
      ImmunogenRat
      CloneM16.10A1
      HostMouse
      IsotypeIgG2b
      Species Reactivity
      • Bovine
      • Canine
      • Chicken
      • Guinea Pig
      • Hamster
      • Human
      • Monkey
      • Mouse
      • Porcine
      • Rat
      • Sheep
      Antibody TypeMonoclonal Antibody
      Concentration Label Please refer to vial label for lot-specific concentration
      Physicochemical Information
      Dimensions
      Materials Information
      Toxicological Information
      Safety Information according to GHS
      Safety Information
      Product Usage Statements
      Storage and Shipping Information
      Ship Code Blue Ice Only
      Toxicity Standard Handling
      Storage -20°C
      Avoid freeze/thaw Avoid freeze/thaw
      Do not freeze Ok to freeze
      Special InstructionsFollowing initial thaw, aliquot and freeze (-20°C).
      Packaging Information
      Transport Information
      Supplemental Information
      Specifications
      Global Trade ITEM Number
      Catalogue Number GTIN
      386023-50UG 04055977189872

      Documentation

      Anti-Hsp47 Mouse mAb (M16.10A1) SDS

      Title

      Safety Data Sheet (SDS) 

      Anti-Hsp47 Mouse mAb (M16.10A1) Certificates of Analysis

      TitleLot Number
      386023

      References

      Reference overview
      Kuroda, K., et al. 1998. J. Invest. Dermatol. 111, 1023.
      Nandan, D., et al. 1998. Exp. Cell Res. 179, 289.
      Clark, E.P., et al. 1991. J. Biol. Chem. 266, 17230.
      Vaillancourt, J.P., and Cates, G.A. 1991. Biochem. J. 274, 793.
      Cates, G.A., et al. 1987. Biochem. Cell Biol. 65, 767.
      Saga, S., et al. 1987. J. Cell Biol. 105, 517.
      Nagata, K., et al. 1986. J. Biol. Chem. 261, 7531.
      Data Sheet

      Note that this data sheet is not lot-specific and is representative of the current specifications for this product. Please consult the vial label and the certificate of analysis for information on specific lots. Also note that shipping conditions may differ from storage conditions.

      Revision02-August-2007 RFH
      SynonymsAnti-Colligin
      ApplicationELISA (see comments)
      Enzyme Immunoassay (see comments)
      Immunoblotting (1 µg/ml, colorimetric)
      Immunocytochemistry (1 µg/ml)
      Immunofluorescence (5 µg/ml)
      Immunoprecipitation (5 µg/ml)
      Paraffin Sections (see comments)
      Application Data
      Detection of mouse Hsp47 by immunoblotting. Sample: Whole cell lysate from 3T3 cells. Primary antibody: Anti-Hsp47 Mouse mAb (M16.10A1) (Cat. No. 386023) (1:1000). Detection: chemiluminescence.

      (left) Detection of rat Hsp47 by staining paraffin sections. Sample: Paraffin-embedded rat carotoid artery after balloon injury to the artery. Primary antibody: Anti-Hsp47 Mouse mAb (M16.10A1) (Cat. No. 386023). Detection: colorimetric (DAB). (right) Detection of human Hsp47 by staining paraffin sections. Sample: Human breast cancer tissue. Primary antibody: Anti-Hsp47 Mouse mAb (M16.10A1) (Cat. No. 386023) (1:50). Detection: colorimetric (DAB).
      DescriptionProtein G purified mouse monoclonal antibody. Recognizes the ~47 kDa Hsp47 protein.
      BackgroundHsp47 is a unique heat shock protein with collagen binding ability. A member of the serpin family of proteins, Hsp47 localizes within the ER due to an RDEL sequence, a variant of the KDEL sequence. Hsp47 is thought to bind procollagen immediately after it co-translationally enters the ER, and it dissociates from procollagen before its secretion. The ability of Hsp47 to bind collagen I and collagen IV suggests it may function as a molecular chaperone for these proteins.
      HostMouse
      Immunogen speciesRat
      ImmunogenHsp47 from L6 cells
      CloneM16.10A1
      IsotypeIgG2b
      Speciesbovine, canine, chicken, guinea pig, hamster, human, monkey, mouse, porcine, rat, sheep
      Positive control3T3 cells, Human breast cancer tissue
      FormLiquid
      FormulationIn PBS, 50% glycerol, pH 7.2.
      Concentration Label Please refer to vial label for lot-specific concentration
      Preservative≤0.1% sodium azide
      CommentsThis antibody has also been reported to work for ELISA and enzyme immunoassay. Variables associated with assay conditions will dictate the optimal dilution.
      Storage Avoid freeze/thaw
      -20°C
      Do Not Freeze Ok to freeze
      Special InstructionsFollowing initial thaw, aliquot and freeze (-20°C).
      Toxicity Standard Handling
      ReferencesKuroda, K., et al. 1998. J. Invest. Dermatol. 111, 1023.
      Nandan, D., et al. 1998. Exp. Cell Res. 179, 289.
      Clark, E.P., et al. 1991. J. Biol. Chem. 266, 17230.
      Vaillancourt, J.P., and Cates, G.A. 1991. Biochem. J. 274, 793.
      Cates, G.A., et al. 1987. Biochem. Cell Biol. 65, 767.
      Saga, S., et al. 1987. J. Cell Biol. 105, 517.
      Nagata, K., et al. 1986. J. Biol. Chem. 261, 7531.