Millipore Sigma Vibrant Logo

ABS518 Anti-SLC5A3 Antibody

View Products on Sigmaaldrich.com
ABS518
100 µg  
Retrieving price...
Price could not be retrieved
Minimum Quantity is a multiple of
Maximum Quantity is
Upon Order Completion More Information
You Saved ()
 
Request Pricing
Fulfillment and delivery delayed
Fulfillment and delivery delayed
In Stock 
Discontinued
Limited Quantities Available
Availability to be confirmed
    Remaining : Will advise
      Remaining : Will advise
      Will advise
      Contact Customer Service
      Contact Customer Service

      Special Offers

       

      Contact Customer Service

      Overview

      Replacement Information

      Key Spec Table

      Species ReactivityKey ApplicationsHostFormatAntibody Type
      HWB, IH(P)RbAffinity PurifiedPolyclonal Antibody
      Description
      Catalogue NumberABS518
      DescriptionAnti-SLC5A3 Antibody
      Alternate Names
      • Sodium/myo-inositol cotransporter
      • Na(+)/myo-inositol cotransporter
      • Sodium/myo-inositol transporter 1
      • SMIT1
      • Solute carrier family 5 member 3
      Background InformationSLC5A3, also known as Sodium/myo-inositol cotransporter, Na (+)/myo-inositol cotransporter, Sodium/myo-inositol transporter 1 (SMT1), or Solute carrier family 5 member 3, and encoded by the gene SLC5A3, is an important intracellular transporter and signaling mediator that mediates the intracellular accumulation of myo-inositol. The compound myo-inositol is important for cell signaling both in the cytoplasm and in intracellular organelles. It is required in the plasma membrane and in the cytoplasm for maintaining the synthesis of the second messengers such as Inositol trisphosphate (IP3) and diacylglycerol (DAG) from phosphatidylinositol bisphosphate (PIP2). In organelles myo-inositol is a precursor for the synthesis of complex signaling phospholipids and inositolphosphates from IP3 and PIP2 as well. Moreover, SLC5A3 is upregulated by osmotic shock and downregulated by energy depletion and serves as a molecular sensor of cellular stress.
      References
      Product Information
      FormatAffinity Purified
      PresentationPurified rabbit polyclonal in buffer containing 0.1 M Tris-Glycine (pH 7.4), 150 mM NaCl with 0.05% sodium azide.
      Quality SegmentMQ100
      Applications
      ApplicationDetect SLC5A3 using this Anti-SLC5A3 Antibody validated for use in western blotting & IHC (Paraffin).
      Key Applications
      • Western Blotting
      • Immunohistochemistry (Paraffin)
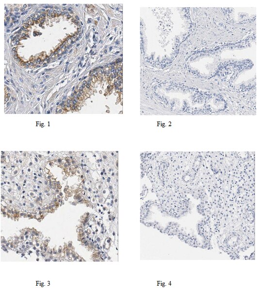
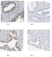
      Application NotesImmunohistochemistry Analysis: A 1:500 dilution from a representative lot detected SLC5A3 in human prostate tissues.

      Immunohistochemistry Analysis: A 1:2,000 dilution from a representative lot detected SLC5A3 in human placenta tissues.
      Biological Information
      ImmunogenKLH-conjugated linear peptide corresponding to the cytoplasmic domain of human SLC5A3.
      Epitopecytoplasmic domain
      ConcentrationPlease refer to the Certificate of Analysis for the lot-specific concentration.
      HostRabbit
      Species Reactivity
      • Human
      Antibody TypePolyclonal Antibody
      Entrez Gene Number
      Gene Symbol
      • SLC5A3
      Purification MethodAffinity Purfied
      UniProt Number
      Molecular Weight~79 kDa observed
      Physicochemical Information
      Dimensions
      Materials Information
      Toxicological Information
      Safety Information according to GHS
      Safety Information
      Product Usage Statements
      Quality AssuranceEvaluated by Western Blotting in HUVEC cell lysate.

      Western Blotting Analysis: 1 μg/mL of this antibody detected SLC5A3 in 10 μg of HUVEC cell lysate.
      Usage Statement
      • Unless otherwise stated in our catalog or other company documentation accompanying the product(s), our products are intended for research use only and are not to be used for any other purpose, which includes but is not limited to, unauthorized commercial uses, in vitro diagnostic uses, ex vivo or in vivo therapeutic uses or any type of consumption or application to humans or animals.
      Storage and Shipping Information
      Storage ConditionsStable for 1 year at 2-8°C from date of receipt.
      Packaging Information
      Material Size100 µg
      Transport Information
      Supplemental Information
      Specifications
      Global Trade ITEM Number
      Catalogue Number GTIN
      ABS518 04053252971303