Chiudendo, la configurazione personalizzata non sarà salvata, a meno che l'articolo non sia stato aggiunto al carrello della spesa o ai prodotti preferiti.
Clicchi OK per chiudere MILLIPLEX® MAP, oppure Annulla per tornare alla selezione.
Scelga pannelli su misura e kit premiscelati, OPPURE le microsfere MAPmates™ per la trasduzione del segnale
Progetti e calcoli il prezzo dei Suoi kit MILLIPLEX® MAP.
Pannelli su misura e kit premiscelati
La nostra ampia gamma comprende pannelli multiplex che consentono di scegliere, nell'ambito del pannello, gli analiti più adatti per le Sue esigenze. Oppure Lei può scegliere le citochine premiscelate o i kit single plex.
Kit e MAPmates™ per studi di trasduzione del segnale
Scelga i kit premiscelati che permettono di esplorare interi processi e pathway. Oppure progetti kit su misura scegliendo le microsfere MAPmates™ single plex e seguendo le linee guida fornite.
Le seguenti MAPmates™ non possono essere dosate insieme: -MAPmates™ che richiedono tamponi differenti per l'analisi. -MAPmate™ fosfo-specifiche e totali, es GSK3β totale e GSK3β (Ser 9). -MAPmates™ PanTyr e sito-specifiche come fosfo-recettore EGF e fosfo-STAT1 (Tyr701). -Più di 1 fosfo-MAPmate™ per un solo bersaglio (Akt, STAT3). -GAPDH e β-Tubulina non possono essere miscelati con kit o MAPmates™ contenenti panTyr.
.
Numero di catalogo
Descrizione dell'ordine
Qtà/conf
Elenca
Questo articolo è stato aggiunto ai prodotti preferiti.
Selezioni una specie, un tipo di pannello, un kit o un tipo di campione
Per cominciare a progettare il Suo kit MILLIPLEX® MAP, selezioni una specie, un tipo di pannello o un kit di Suo interesse.
Custom Premix Selecting "Custom Premix" option means that all of the beads you have chosen will be premixed in manufacturing before the kit is sent to you.
Catalogue Number
Ordering Description
Qty/Pack
List
Questo articolo è stato aggiunto ai prodotti preferiti.
Specie
Tipo di pannello
Kit selezionato
Qtà
Numero di catalogo
Descrizione dell'ordine
Qtà/conf
Prezzo di listino
96-Well Plate
Qtà
Numero di catalogo
Descrizione dell'ordine
Qtà/conf
Prezzo di listino
Aggiungi altri reagenti (Le microsfere MAPmate devono essere utilizzate con un tampone ed un kit di rilevazione)
Qtà
Numero di catalogo
Descrizione dell'ordine
Qtà/conf
Prezzo di listino
48-602MAG
Buffer Detection Kit for Magnetic Beads
1 Kit
Opzione salva-spazio I Clienti che ordinano diversi kit possono scegliere di ridurre lo spazio necessario per lo stoccaggio, rinunciando al confezionamento del kit e ricevendo i vari reagenti per il saggio multiplex in buste di plastica.
Questo articolo è stato aggiunto ai prodotti preferiti.
Il prodotto è stato aggiunto al carrello.
Ora può disegnare un altro kit su misura, scegliere un kit premiscelato, procedere con il check out dell'ordine, oppure chiudere lo strumento per gli ordini on-line.
Anti-Aquaporin 2 (254-271), rabbit polyclonal, recognizes the ~40 and ~29 kDa forms of aquaporin-2 in rat kidney membrane. Supplied with a control peptide. It is validated for WB, IHC, and IP.
More>>Anti-Aquaporin 2 (254-271), rabbit polyclonal, recognizes the ~40 and ~29 kDa forms of aquaporin-2 in rat kidney membrane. Supplied with a control peptide. It is validated for WB, IHC, and IP. Less<<
Anti-Aquaporin 2 (254-271) Rabbit pAb: MSDS (material safety data sheet) o SDS, certificato d’analisi (CoA) e certificato di qualità (CoQ), dossier, brochure e altri documenti disponibili.
The quantity field is empty. Please enter a quantity of 1 or more to add items to your cart.
Description
Overview
Recognizes the ~40 kDa and ~29 kDa forms of aquaporin-2 in rat kidney membrane. Supplied with a control peptide (AQP2254-271 immunogen peptide).
Catalogue Number
178612
Brand Family
Calbiochem®
Synonyms
Anti-AQP2, Anti-AQP-CD, Anti-WCH-CD
Application Data
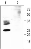
Detection of rat aquaporin 2 by immunoblotting. Samples: Rat kidney membranes (lane 1) and preincubated with a control peptide antigen (lane 2). Primary antibody: Anti-Aquaporin 2 (254-271) Rabbit pAb (Cat. No. 178612) (1:200). Detection: chemiluminescence. Detection of rat aquaporin 2 by immunohistochemistry. Sample: Rat kidney showing the inner medulla. Primary antibody: Anti-Aquaporin 2 (254-271) Rabbit pAb (Cat. No. 178612) (1:100). Detection: fluorescence.
References
References
Fushimi, K., et al. 1997. J. Biol. Chem. 272, 14800. Fushimi, K., et al. 1993. Nature 361, 549. Ma, T., et al. 1993. Biochem. Biophys. Res. Commun. 197, 654. Nielson, S., et al. 1993. Proc. Natl. Acad. Sci. USA90, 11663.
Product Information
Form
Lyophilized
Formulation
50 µl antibody lyophilized from PBS, 5% sucrose, pH 7.4 and 40 µg control peptide lyophilized from PBS.
Immunoprecipitation
Fushimi, K., et al. 1997. J. Biol. Chem. 272, 14800.
Immunohistochemistry
Fushimi, K., et al. 1993. Nature 361, 549.
Nielson, S., et al. 1993. Proc. Natl. Acad. Sci. USA90, 11663.
Immunoblotting (1:200-1:600) Immunohistochemistry (see application reference) Immunoprecipitation (see application reference)
Application Comments
Immunogen peptide is identical in rat and mouse protein, and differs by one amino acid in the human sequence. The epitope is unique for AQP2 and is not present in other known related proteins. It is identical in mouse and rat, and only slightly different (17/18 identical) in human. To prepare a negative control, preincubate 1 µg peptide with 1 µg antibody for 1 h at room temperature. Variables associated with assay conditions will dictate the optimal working dilution.
Biological Information
Immunogen
a synthetic peptide [(KY)RQSVELHSPQSLPRGSKA] corresponding to amino acids 254-271 of rat and mouse AQP2, conjugated to KLH
Immunogen
Mouse/Rat
Host
Rabbit
Isotype
IgG
Species Reactivity
Human
Mouse
Rat
Antibody Type
Polyclonal Antibody
Concentration Label
Please refer to vial label for lot-specific concentration
Physicochemical Information
Dimensions
Materials Information
Toxicological Information
Safety Information according to GHS
Safety Information
Product Usage Statements
Storage and Shipping Information
Ship Code
Ambient Temperature Only
Toxicity
Irritant
Storage
-20°C
Do not freeze
Ok to freeze
Special Instructions
Please see antibody label for lot specific reconstitution instructions. Further dilutions should be made in a physiological buffer containing a carrier protein such as 1-3% BSA. To reduce nonspecific staining, centrifuge all antibody preparations before use (10000 x g for 5 min) to remove any aggregates. Following reconstitution, aliquot and freeze (-20°C). Reconstitute the peptide in 100 µl deionized water, aliquot, and freeze (-20°C).
Fushimi, K., et al. 1997. J. Biol. Chem. 272, 14800. Fushimi, K., et al. 1993. Nature 361, 549. Ma, T., et al. 1993. Biochem. Biophys. Res. Commun. 197, 654. Nielson, S., et al. 1993. Proc. Natl. Acad. Sci. USA90, 11663.
Scheda tecnica
Note that this data sheet is not lot-specific and is representative of the current specifications for this product. Please consult the vial label and the certificate of analysis for information on specific lots. Also note that shipping conditions may differ from storage conditions.
Revision
14-February-2008 JSW
Synonyms
Anti-AQP2, Anti-AQP-CD, Anti-WCH-CD
Application
Immunoblotting (1:200-1:600) Immunohistochemistry (see application reference) Immunoprecipitation (see application reference)
Application Data
Detection of rat aquaporin 2 by immunoblotting. Samples: Rat kidney membranes (lane 1) and preincubated with a control peptide antigen (lane 2). Primary antibody: Anti-Aquaporin 2 (254-271) Rabbit pAb (Cat. No. 178612) (1:200). Detection: chemiluminescence. Detection of rat aquaporin 2 by immunohistochemistry. Sample: Rat kidney showing the inner medulla. Primary antibody: Anti-Aquaporin 2 (254-271) Rabbit pAb (Cat. No. 178612) (1:100). Detection: fluorescence.
Description
Protein A purified rabbit polyclonal antibody. Recognizes the ~40 kDa and ~29 kDa aquaporin-2 proteins. Supplied with a control peptide (AQP2254-271 immunogen peptide).
Background
AQP2 is the vasopressin-regulated water channel of the apical membrane of collecting duct cells. Defects in AQP2 are a cause of an autosomal dominant form of nephrogenic diabetes insipidus (NDI).
Host
Rabbit
Immunogen species
Mouse/Rat
Immunogen
a synthetic peptide [(KY)RQSVELHSPQSLPRGSKA] corresponding to amino acids 254-271 of rat and mouse AQP2, conjugated to KLH
Isotype
IgG
Species
human, mouse, rat
Form
Lyophilized
Formulation
50 µl antibody lyophilized from PBS, 5% sucrose, pH 7.4 and 40 µg control peptide lyophilized from PBS.
Concentration Label
Please refer to vial label for lot-specific concentration
Preservative
≤0.1% sodium azide
Comments
Immunogen peptide is identical in rat and mouse protein, and differs by one amino acid in the human sequence. The epitope is unique for AQP2 and is not present in other known related proteins. It is identical in mouse and rat, and only slightly different (17/18 identical) in human. To prepare a negative control, preincubate 1 µg peptide with 1 µg antibody for 1 h at room temperature. Variables associated with assay conditions will dictate the optimal working dilution.
Storage
-20°C
Do Not Freeze
Ok to freeze
Special Instructions
Please see antibody label for lot specific reconstitution instructions. Further dilutions should be made in a physiological buffer containing a carrier protein such as 1-3% BSA. To reduce nonspecific staining, centrifuge all antibody preparations before use (10000 x g for 5 min) to remove any aggregates. Following reconstitution, aliquot and freeze (-20°C). Reconstitute the peptide in 100 µl deionized water, aliquot, and freeze (-20°C).
Toxicity
Irritant
References
Fushimi, K., et al. 1997. J. Biol. Chem. 272, 14800. Fushimi, K., et al. 1993. Nature 361, 549. Ma, T., et al. 1993. Biochem. Biophys. Res. Commun. 197, 654. Nielson, S., et al. 1993. Proc. Natl. Acad. Sci. USA90, 11663.
Application references
Immunoprecipitation
Fushimi, K., et al. 1997. J. Biol. Chem. 272, 14800.
Immunohistochemistry
Fushimi, K., et al. 1993. Nature 361, 549.
Nielson, S., et al. 1993. Proc. Natl. Acad. Sci. USA90, 11663.