MABN2265 Sigma-AldrichAnti-CHD-8 Antibody, clone 7F4.1
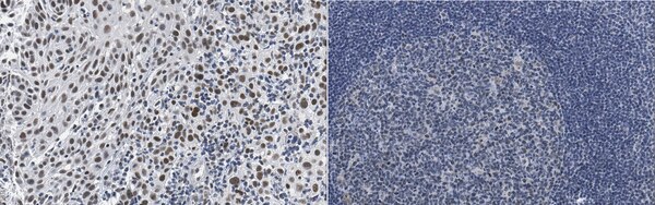
Anti-CHD-8, clone 7F4.1, Cat. No. MABN2265, is a highly specific mouse monoclonal antibody that targets Chromodomain-helicase-DNA-binding protein 8 and has been tested for use in Immunohistochemistry (Paraffin) and Western Blotting.
More>> Anti-CHD-8, clone 7F4.1, Cat. No. MABN2265, is a highly specific mouse monoclonal antibody that targets Chromodomain-helicase-DNA-binding protein 8 and has been tested for use in Immunohistochemistry (Paraffin) and Western Blotting. Less<<Prodotti consigliati
Panoramica
| Replacement Information |
|---|
Tabella delle specifiche principali
| Species Reactivity | Key Applications | Host | Format | Antibody Type |
|---|---|---|---|---|
| H | WB, IH(P) | M | Purified | Monoclonal Antibody |
| References |
|---|
| Product Information | |
|---|---|
| Format | Purified |
| Presentation | Purified mouse monoclonal antibody IgG2a in buffer containing 0.1 M Tris-Glycine (pH 7.4), 150 mM NaCl with 0.05% sodium azide. |
| Quality Segment | MQ100 |
| Physicochemical Information |
|---|
| Dimensions |
|---|
| Materials Information |
|---|
| Toxicological Information |
|---|
| Safety Information according to GHS |
|---|
| Safety Information |
|---|
| Storage and Shipping Information | |
|---|---|
| Storage Conditions | Stable for 1 year at 2-8°C from date of receipt. |
| Packaging Information | |
|---|---|
| Material Size | 100 μg |
| Transport Information |
|---|
| Supplemental Information |
|---|
| Specifications |
|---|
| Global Trade ITEM Number | |
|---|---|
| Numero di catalogo | GTIN |
| MABN2265 | 04054839412400 |
Documentation
Anti-CHD-8 Antibody, clone 7F4.1 Certificati d'Analisi
| Titolo | Numero di lotto |
|---|---|
| Anti-CHD-8, clone 7F4.1 Monoclonal Antibody | Q2966658 |



