Millipore Sigma Vibrant Logo

ABS1033 Anti-Syntaxin-11 Antibody

ABS1033
100 µL  
Ricerca del prezzo in corso...
Non è stato possibile trovare il prezzo
La quantità minima deve essere un multiplo di
Maximum Quantity is
Al termine dell'ordine Maggiori informazioni
Lei ha salvato ()
 
Richiedi il prezzo
Adempimento e consegna in ritardo
Adempimento e consegna in ritardo
A magazzino 
Fuori produzione
Disponibili quantità limitate
La disponibilità deve essere confermata
    Prodotti rimanenti: riceverà un nostro avviso
      Prodotti rimanenti: riceverà un nostro avviso
      Will advise
      Contatti il Servizio Clienti
      Contact Customer Service

      Offerte speciali

       

      Contatti il Servizio Clienti

      Panoramica

      Replacement Information

      Offerte speciali

      Tabella delle specifiche principali

      Species ReactivityKey ApplicationsHostFormatAntibody Type
      H, R, MWB, EM, IF, ICCRbAffinity PurifiedPolyclonal Antibody
      Description
      Catalogue NumberABS1033
      DescriptionAnti-Syntaxin-11 Antibody
      Alternate Names
      • Syntaxin-11
      Background InformationSyntaxin-11 (UniProt O75558) is encoded by the STX11 (also known as FHL4, HLH4, HPLH4) gene (Gene ID 8676) in human. Syntaxin-11 belongs to the Soluble N-ethylmaleimide-sensitive factor (NSF) attachment protein receptor (SNARE) family of proteins that mediate membrane fusion events. Syntaxin-11 is an atypical syntaxin lacking a transmembrane domain and associates with intermediate compartment (IC) and post-Golgi membranes through a putative palmitoylation domain, as well as through interaction with other proteins via its coiled-coil forming H3 domain. Syntaxin 11 is enriched in immune cells, although lower levels of the protein can also be found in non-immune system tissues. Syntaxin-11 plays a key role in lymphocyte cytotoxicity, cytokine production and secretion. Stx11-knockout natural killer (NK) cells and cytotoxic T-lymphocytes (TLCs) show impaired degranulation, despite a comparable activation, maturation and expression of the complex-forming partners MUNC18-2 and VTI1B. STX11 gene mutations are linked to the rare autosomal recessive disorder familial hemophagocytic lymphohistiocytosis (FHL) characterized by an increased inflammatory response with abnormal secretion of proinflammatory cytokines.
      References
      Product Information
      FormatAffinity Purified
      PresentationPurified rabbit polyclonal antibody in PBS with 0.05% sodium azide.
      Quality SegmentMQ100
      Applications
      ApplicationAnti-Syntaxin-11 Antibody detects level of Syntaxin-11 and has been published and validated for use in Western Blotting, Electron Microscopy, Immunofluorescence, Immunocytochemistry.
      Key Applications
      • Western Blotting
      • Electron Microscopy
      • Immunofluorescence
      • Immunocytochemistry
      Application NotesWestern Blotting Analysis: A 1:500 dilution from a representative lot detected Syntaxin-11 in 10 µg of human lung, liver, thymus, and pancreas tissue lysates.
      Western Blotting Analysis: A representative lot detected similar syntaxin-11 level between freshly isolated human peripheral blood natural killer (NK) cells and NK cells subjected to a 4-day activation in IL-2-containing media (Hackmann, Y., et al. (2013). Proc. Natl. Acad. Sci. U.S.A. 110(47):E4482-E4491).
      Western Blotting Analysis: A representative lot detected a significantly downregulated syntaxin-11 in IL-2-activated cytotoxic T-lymphocytes (TLCs) from two individuals with familial hemophagocytic lymphohistiocytosis (FHL4 and FHL5) when compared with IL-2-activated TLCs from healthy donors (Hackmann, Y., et al. (2013). Proc. Natl. Acad. Sci. U.S.A. 110(47):E4482-E4491).
      Western Blotting Analysis: A representative lot detected an upregulation of syntaxin-11 in the membrane fractions of LPS-stimulated bone marrow macrophages (BMMs) and dendritic cells (BMDCs) from wild-type, but not Stx11-/-, mice (D'Orlando, O., et al. (2013). Eur. J. Immunol. 43(1):194-208).
      Western Blotting Analysis: A representative lot detected syntaxin-11 in postnuclear supernatants (PNS) from rat lung, thymus, spleen, and lymphnodes tissues, while lower expression was also detected in heart and kidney PNS (Prekeris, R., et al. (2000). Eur. J. Cell Biol. 79(11):771-780).
      Western Blotting Analysis: A representative lot detected syntaxin-11 in the membrane, but not the cytosolic, fraction of rat spleen postnuclear supernatants. (Prekeris, R., et al. (2000). Eur. J. Cell Biol. 79(11):771-780).
      Electron Microscopy A representative lot detected syntaxin-11 cellular localization in IC-21 murine peritoneal macrophages by EM (Prekeris, R., et al. (2000). Eur. J. Cell Biol. 79(11):771-780).
      Immunofluorescence Analysis: A representative lot detected syntaxin-11 immunoreactivity in red pulp (RP), but not white pulp (WhP), of rat spleen by fluorescent immunohistochemistry using paraformaldehye-fixed frozen tissue sections (Prekeris, R., et al. (2000). Eur. J. Cell Biol. 79(11):771-780).
      Immunocytochemistry Analysis: A representative lot detected syntaxin-11 cellular localization in IC-21 murine peritoneal macrophages by fluorescent immunocytochemistry (Prekeris, R., et al. (2000). Eur. J. Cell Biol. 79(11):771-780).
      Biological Information
      ImmunogenKLH-conjugated linear peptide corresponding to a sequence near the N-terminus of human Syntaxin-11.
      EpitopeNear N-terminus.
      ConcentrationPlease refer to lot specific datasheet.
      HostRabbit
      SpecificitySpecificity of this polyclonal antibodhy is confirmed by immunogen peptide blocking in Western blotting applications (Prekeris, R., et al. (2000). Eur. J. Cell Biol. 79(11):771-780).
      Species Reactivity
      • Human
      • Rat
      • Mouse
      Species Reactivity NoteHuman, Rat, Mouse. Predicted to react with Rhesus Macaque based on 100% sequence homology.
      Antibody TypePolyclonal Antibody
      Entrez Gene Number
      Gene Symbol
      • STX11
      • FHL4
      • HLH4
      • HPLH4
      Purification MethodAffinity Purfied
      UniProt Number
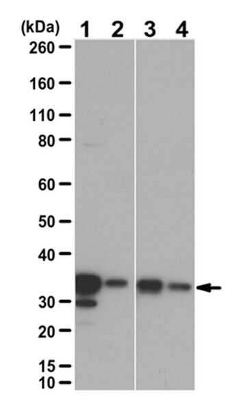
      Molecular Weight~34 kDa observed.
      Physicochemical Information
      Dimensions
      Materials Information
      Toxicological Information
      Safety Information according to GHS
      Safety Information
      Product Usage Statements
      Quality AssuranceEvaluated by Western Blotting in human heart tissue lysate.

      Western Blotting Analysis: A 1:500 dilution of this antibody detected Syntaxin-11 in 10 µg of human heart tissue lysate.
      Usage Statement
      • Unless otherwise stated in our catalog or other company documentation accompanying the product(s), our products are intended for research use only and are not to be used for any other purpose, which includes but is not limited to, unauthorized commercial uses, in vitro diagnostic uses, ex vivo or in vivo therapeutic uses or any type of consumption or application to humans or animals.
      Storage and Shipping Information
      Storage ConditionsStable for 1 year at 2-8°C from date of receipt.
      Packaging Information
      Material Size100 µL
      Transport Information
      Supplemental Information
      Specifications
      Global Trade ITEM Number
      Numero di catalogo GTIN
      ABS1033 04055977314205