Chiudendo, la configurazione personalizzata non sarà salvata, a meno che l'articolo non sia stato aggiunto al carrello della spesa o ai prodotti preferiti.
Clicchi OK per chiudere MILLIPLEX® MAP, oppure Annulla per tornare alla selezione.
Scelga pannelli su misura e kit premiscelati, OPPURE le microsfere MAPmates™ per la trasduzione del segnale
Progetti e calcoli il prezzo dei Suoi kit MILLIPLEX® MAP.
Pannelli su misura e kit premiscelati
La nostra ampia gamma comprende pannelli multiplex che consentono di scegliere, nell'ambito del pannello, gli analiti più adatti per le Sue esigenze. Oppure Lei può scegliere le citochine premiscelate o i kit single plex.
Kit e MAPmates™ per studi di trasduzione del segnale
Scelga i kit premiscelati che permettono di esplorare interi processi e pathway. Oppure progetti kit su misura scegliendo le microsfere MAPmates™ single plex e seguendo le linee guida fornite.
Le seguenti MAPmates™ non possono essere dosate insieme: -MAPmates™ che richiedono tamponi differenti per l'analisi. -MAPmate™ fosfo-specifiche e totali, es GSK3β totale e GSK3β (Ser 9). -MAPmates™ PanTyr e sito-specifiche come fosfo-recettore EGF e fosfo-STAT1 (Tyr701). -Più di 1 fosfo-MAPmate™ per un solo bersaglio (Akt, STAT3). -GAPDH e β-Tubulina non possono essere miscelati con kit o MAPmates™ contenenti panTyr.
.
Numero di catalogo
Descrizione dell'ordine
Qtà/conf
Elenca
Questo articolo è stato aggiunto ai prodotti preferiti.
Selezioni una specie, un tipo di pannello, un kit o un tipo di campione
Per cominciare a progettare il Suo kit MILLIPLEX® MAP, selezioni una specie, un tipo di pannello o un kit di Suo interesse.
Custom Premix Selecting "Custom Premix" option means that all of the beads you have chosen will be premixed in manufacturing before the kit is sent to you.
Catalogue Number
Ordering Description
Qty/Pack
List
Questo articolo è stato aggiunto ai prodotti preferiti.
Specie
Tipo di pannello
Kit selezionato
Qtà
Numero di catalogo
Descrizione dell'ordine
Qtà/conf
Prezzo di listino
96-Well Plate
Qtà
Numero di catalogo
Descrizione dell'ordine
Qtà/conf
Prezzo di listino
Aggiungi altri reagenti (Le microsfere MAPmate devono essere utilizzate con un tampone ed un kit di rilevazione)
Qtà
Numero di catalogo
Descrizione dell'ordine
Qtà/conf
Prezzo di listino
48-602MAG
Buffer Detection Kit for Magnetic Beads
1 Kit
Opzione salva-spazio I Clienti che ordinano diversi kit possono scegliere di ridurre lo spazio necessario per lo stoccaggio, rinunciando al confezionamento del kit e ricevendo i vari reagenti per il saggio multiplex in buste di plastica.
Questo articolo è stato aggiunto ai prodotti preferiti.
Il prodotto è stato aggiunto al carrello.
Ora può disegnare un altro kit su misura, scegliere un kit premiscelato, procedere con il check out dell'ordine, oppure chiudere lo strumento per gli ordini on-line.
AP1159
Sigma-AldrichAnti-TNFRSF14 Mouse mAb (2G6-2C7)
This Anti-TNFRSF14 Mouse mAb (2G6-2C7) is validated for use in ELISA, Immunoblotting, Paraffin Sections for the detection of TNFRSF14.
More>>This Anti-TNFRSF14 Mouse mAb (2G6-2C7) is validated for use in ELISA, Immunoblotting, Paraffin Sections for the detection of TNFRSF14. Less<<
Anti-TNFRSF14 Mouse mAb (2G6-2C7): MSDS (material safety data sheet) o SDS, certificato d’analisi (CoA) e certificato di qualità (CoQ), dossier, brochure e altri documenti disponibili.
The quantity field is empty. Please enter a quantity of 1 or more to add items to your cart.
Description
Overview
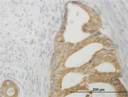
Recognizes the TNFRSF14 protein in human pancreatic cancer tissue.
Catalogue Number
AP1159
Brand Family
Calbiochem®
Synonyms
Anti-Tumor Necrosis Factor Receptor Super family 14
Application Data
Detection of human TNFRSF14 by immunoblotting. Sample: Whole cell lysate from 293T cells, transfected with full-length, recombinant, human TNFRSF14 (lane 1) and from non-transfected 293T cells (lane 2). Primary antibody: Anti-TNFRSF14 Mouse mAb (2G6-2C7) (Cat. No. AP1159) (1-5 µg/ml). Detection: Chemiluminescence. Detection of human TNFRSF14 by staining paraffin sections. Sample: Formalin-fixed, paraffin-embedded human pancreatic cancer tissue. Primary antibody: Anti-TNFRSF14 Mouse mAb (2G6-2C7) (Cat. No. AP1159) (1 µg/ml). Detection: coloritmetric (DAB).
ELISA (see comments) Immunoblotting (1-5 µg) Paraffin Sections (1 µg/ml)
Application Comments
For ELISA, this antibody can be used as the capture antibody; recommended concentration is 10 ng/ml, 1 µg/well, 100 µl total volume. Variables associated with assay conditions will dictate the proper working dilution.
Biological Information
Immunogen
Full-length, recombinant, human TNFRSF14 (aa 38-248), expressed as a GST fusion protein
Clone
2G6-2C7
Host
Mouse
Isotype
IgG₁
Species Reactivity
Human
Antibody Type
Monoclonal Antibody
Physicochemical Information
Dimensions
Materials Information
Toxicological Information
Safety Information according to GHS
Safety Information
Product Usage Statements
Storage and Shipping Information
Ship Code
Blue Ice Only
Toxicity
Regulatory Review
Storage
-20°C
Avoid freeze/thaw
Avoid freeze/thaw
Do not freeze
Ok to freeze
Special Instructions
Following initial thaw, aliquot and freeze (-20°C).
Note that this data sheet is not lot-specific and is representative of the current specifications for this product. Please consult the vial label and the certificate of analysis for information on specific lots. Also note that shipping conditions may differ from storage conditions.
Revision
19-October-2010 RFH
Synonyms
Anti-Tumor Necrosis Factor Receptor Super family 14
Application
ELISA (see comments) Immunoblotting (1-5 µg) Paraffin Sections (1 µg/ml)
Application Data
Detection of human TNFRSF14 by immunoblotting. Sample: Whole cell lysate from 293T cells, transfected with full-length, recombinant, human TNFRSF14 (lane 1) and from non-transfected 293T cells (lane 2). Primary antibody: Anti-TNFRSF14 Mouse mAb (2G6-2C7) (Cat. No. AP1159) (1-5 µg/ml). Detection: Chemiluminescence. Detection of human TNFRSF14 by staining paraffin sections. Sample: Formalin-fixed, paraffin-embedded human pancreatic cancer tissue. Primary antibody: Anti-TNFRSF14 Mouse mAb (2G6-2C7) (Cat. No. AP1159) (1 µg/ml). Detection: coloritmetric (DAB).
Description
Purified mouse monoclonal antibody. Recognizes the TNFRSF14 protein.
Background
TNFRSF14 is a member of the TNF-receptor superfamily. This receptor was identified as a cellular mediator of herpes simplex virus (HSV) entry. Binding of HSV viral envelope glycoprotein D (gD) to this receptor protein has been shown to be part of the viral entry mechanism. The cytoplasmic region of this receptor was found to bind to several TRAF family members, which may mediate the signal transduction pathways that activate the immune response.
Host
Mouse
Immunogen
Full-length, recombinant, human TNFRSF14 (aa 38-248), expressed as a GST fusion protein
Clone
2G6-2C7
Isotype
IgG₁
Species
human
Positive control
Human pancreatic cancer tissue
Negative control
293T cells
Form
Liquid
Formulation
In PBS, pH 7.2.
Preservative
None
Comments
For ELISA, this antibody can be used as the capture antibody; recommended concentration is 10 ng/ml, 1 µg/well, 100 µl total volume. Variables associated with assay conditions will dictate the proper working dilution.
Storage
Avoid freeze/thaw
-20°C
Do Not Freeze
Ok to freeze
Special Instructions
Following initial thaw, aliquot and freeze (-20°C).