Millipore Sigma Vibrant Logo
Attention: We have moved. Merck Millipore products are no longer available for purchase on MerckMillipore.com.Learn More

07-416-25UG Anti-Akt1/PKBa

View Products on Sigmaaldrich.com
07-416-25UG
25 μg  
Purchase on Sigma-Aldrich

特卖

概述

Replacement Information

重要规格表

Species ReactivityKey ApplicationsHostFormatAntibody Type
H, R, MIP, WBRbPurifiedPolyclonal Antibody
Description
Catalogue Number07-416-25UG
Brand Family Upstate
Trade Name
  • Upstate
DescriptionAnti-Akt1/PKBa
Alternate Names
  • Protein kinase B
  • RAC-alpha serine/threonine-protein kinase
  • murine thymoma viral (v-akt) oncogene homolog-1
  • rac protein kinase alpha
  • v-akt murine thymoma viral oncogene homolog 1
Background InformationAkt is the major known effector of the PI3 Kinase pathway. Generation of PIP3 results in the activation of PDK1, which phosphorylates Akt on Thr308, and another kinase complex, thought to be the mTORC2 complex (or possibly an intermediate kinase linking the two) that phosphorylates Akt on Ser473. These phosphorylations additively activate Akt Ser/Thr kinase activity, and the use of phosphorylation state-specific antibodies directed against either of these sites can imply Akt activation. Activation of Akt can be measured directly by immunoprecipitation followed by phosphorylation of a known substrate with radiolabeled ATP. Akt has been shown to phosphorylate over 70 substrates including TSC1&2 in the mTOR pathway, Bad on Ser136, GSK3, which is inactivated by this phosphorylation, the FoxO family of transcription factors, PRAS40, AS160.
References
Product Information
FormatPurified
Control
  • Positive Control Included: Non-Stim A431 Cell Lysate (12-301).
    Other controls: MCF7 whole cell lysate
    Included Positive Antigen Control: Catalog # 12-301, non-stimulated A431 lysate. Add 2.5 µL of 2-mercaptoethanol/100 µL of lysate and boil for 5 minutes to reduce the preparation. Load 20 µg of reduced lysate per lane for minigels.
PresentationPurified rabbit polyclonal in buffer containing 0.1 M Tris-glycine, pH 7.4, 0.15 M NaCl, 0.05% sodium azide before the addition of glycerol to 30%.
Quality SegmentMQ100
Applications
ApplicationThis Anti-Akt1/PKBα Antibody is validated for use in IP, WB for the detection of Akt1/PKBα.
Key Applications
  • Immunoprecipitation
  • Western Blotting
Application NotesImmunoprecipitation Kinase Assay:
4 µg of a previous lot immunoprecipitated active Akt from 1 mg of HEK293 cells stimulated with IGF-1.
Biological Information
Immunogen15 residue synthetic peptide (C-RPHFPQFS YSASGTA) corresponding to the C-terminal (residues 466-480) of rat Akt1, with an N-terminal cysteine added for conjugation purposes. The Akt1 sequence is identical to mouse Akt1 (15/15 amino acids) and strongly conserved in bovine Akt1 (14/15 amino acids) and human Akt1 (13/15 amino acids). Human Akt2 shares 11/15 amino acids with the peptide immunogen sequence.
EpitopeC-terminus
ConcentrationPlease refer to lot specific datasheet.
HostRabbit
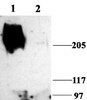
SpecificityRecognizes Akt1/PKBα, MW ~60 kDa.
IsotypeIgG
Species Reactivity
  • Human
  • Rat
  • Mouse
Antibody TypePolyclonal Antibody
Entrez Gene Number
Entrez Gene SummaryThe serine-threonine protein kinase encoded by the AKT1 gene is catalytically inactive in serum-starved primary and immortalized fibroblasts. AKT1 and the related AKT2 are activated by platelet-derived growth factor. The activation is rapid and specific, and it is abrogated by mutations in the pleckstrin homology domain of AKT1. It was shown that the activation occurs through phosphatidylinositol 3-kinase. In the developing nervous system AKT is a critical mediator of growth factor-induced neuronal survival. Survival factors can suppress apoptosis in a transcription-independent manner by activating the serine/threonine kinase AKT1, which then phosphorylates and inactivates components of the apoptotic machinery. Multiple alternatively spliced transcript variants have been found for this gene.
Gene Symbol
  • AKT1
  • RAC
  • PRKBA
  • RAC-ALPHA
  • PKB
  • MGC99656
  • RAC-PK-alpha
  • C-AKT
  • AKT
Purification MethodProtein A Purfied
UniProt Number
UniProt SummaryFUNCTION: SwissProt: P31749 # General protein kinase capable of phosphorylating several known proteins. Phosphorylates TBC1D4. Signals downstream of phosphatidylinositol 3-kinase (PI(3)K) to mediate the effects of various growth factors such as platelet-derived growth factor (PDGF), epidermal growth factor (EGF), insulin and insulin-like growth factor I (IGF-I). Plays a role in glucose transport by mediating insulin-induced translocation of the GLUT4 glucose transporter to the cell surface. Mediates the antiapoptotic effects of IGF-I. Mediates insulin-stimulated protein synthesis, partly by playing a role in both insulin-induced phosphorylation of 4E-BP1 and in insulin-induced activation of p70 S6 kinase. Promotes glycogen synthesis by mediating the insulin-induced activation of glycogen synthase.
SIZE: 480 amino acids; 55686 Da
SUBUNIT: Interacts with CENTG1 isoform 2 (PIKE-A) in the presence of guanine nucleotides. The C-terminus interacts with CCDC88A/GRDN. Interacts with AKTIP.
SUBCELLULAR LOCATION: Cytoplasm. Nucleus. Note=Nucleus after activation by integrin-linked protein kinase 1 (ILK1).
TISSUE SPECIFICITY: In all human cell types so far analyzed.
DOMAIN: SwissProt: P31749 Binding of the PH domain to the phosphatidylinositol 3- kinase alpha (PI(3)K) results in its targeting to the plasma membrane.
PTM: Phosphorylation on Thr-308, Ser-473 and Tyr-474 is required for full activity. Ser-473 phosphorylation by the Rictor-mTor complex favors Thr-308 phosphorylation by PDPK1. Ser-473 phosphorylation is enhanced by interaction with CENTG1 isoform 2 (PIKE-A).
SIMILARITY: Belongs to the protein kinase superfamily. AGC Ser/Thr protein kinase family. RAC subfamily. & Contains 1 AGC-kinase C-terminal domain. & Contains 1 PH domain. & Contains 1 protein kinase domain.
Molecular Weight~60 kDa
Physicochemical Information
Dimensions
Materials Information
Toxicological Information
Safety Information according to GHS
Safety Information
Product Usage Statements
Quality AssuranceEvaluated by western blot in RIPA lysates from human A431 carcinoma cells.

Western Blot Analysis:
0.5-2 µg/mL of this antibody detected Akt in RIPA lysates from human A431 carcinoma cells.
Usage Statement
  • Unless otherwise stated in our catalog or other company documentation accompanying the product(s), our products are intended for research use only and are not to be used for any other purpose, which includes but is not limited to, unauthorized commercial uses, in vitro diagnostic uses, ex vivo or in vivo therapeutic uses or any type of consumption or application to humans or animals.
Storage and Shipping Information
Storage ConditionsStable for 1 year at -20ºC from date of receipt.
Packaging Information
Material Size25 μg
Transport Information
Supplemental Information
Specifications
Global Trade ITEM Number
产品目录编号 GTIN
07-416-25UG 04054839337321