AP1160 Sigma-AldrichAnti-NDRG1 Mouse mAb (2D7)
This Anti-NDRG1 Mouse mAb (2D7) is validated for use in ELISA, Immunoblotting, Immunocytochemistry, Paraffin Sections for the detection of NDRG1.
More>> This Anti-NDRG1 Mouse mAb (2D7) is validated for use in ELISA, Immunoblotting, Immunocytochemistry, Paraffin Sections for the detection of NDRG1. Less<<Anti-NDRG1 Mouse mAb (2D7) MSDS (material safety data sheet) or SDS, CoA and CoQ, dossiers, brochures and other available documents.
同义词: Anti-N-myc Downstream Regulator 1
Recommended Products
概述
| Replacement Information |
|---|
重要规格表
| Species Reactivity | Host | Antibody Type |
|---|---|---|
| H | M | Monoclonal Antibody |
Products
| 产品目录编号 | 包装 | 数量 / 包装 | |
|---|---|---|---|
| AP1160-100UGCN | 100 μg |
| References | |
|---|---|
| References | Jiang, K., et al. 2010. Scand. J. Gastroenterol 45, 898. Leth-Larsen R, et al. 2009. Mol. Cell Proteomics 8, 1436. |
| Product Information | |
|---|---|
| Form | Liquid |
| Formulation | In PBS, pH 7.2. |
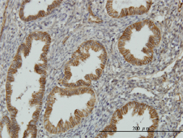
| Positive control | Human endometrium tissue, HeLa cells |
| Preservative | None |
| Quality Segment | MQ100 |
| Physicochemical Information |
|---|
| Dimensions |
|---|
| Materials Information |
|---|
| Toxicological Information |
|---|
| Safety Information according to GHS |
|---|
| Safety Information |
|---|
| Product Usage Statements |
|---|
| Packaging Information |
|---|
| Transport Information |
|---|
| Supplemental Information |
|---|
| Specifications |
|---|
| Global Trade ITEM Number | |
|---|---|
| 产品目录编号 | GTIN |
| AP1160-100UGCN | 04055977212662 |
Documentation
Anti-NDRG1 Mouse mAb (2D7) MSDS
| 职位 |
|---|
参考
| 参考信息概述 |
|---|
| Jiang, K., et al. 2010. Scand. J. Gastroenterol 45, 898. Leth-Larsen R, et al. 2009. Mol. Cell Proteomics 8, 1436. |






