Millipore Sigma Vibrant Logo
Attention: We have moved. Merck Millipore products are no longer available for purchase on MerckMillipore.com.Learn More

ABE2889 Anti-phospho 4E-BP1 (Ser83)

View Products on Sigmaaldrich.com
ABE2889
100 µL  
Purchase on Sigma-Aldrich

概述

Replacement Information
Description
Catalogue NumberABE2889
DescriptionAnti-phospho 4E-BP1 (Ser83)
Alternate Names
  • Eukaryotic translation initiation factor 4E-binding protein 1
  • eIF4E-binding protein 1
  • Phosphorylated heat- and acid-stable protein regulated by insulin 1
  • PHAS-I
Background InformationEukaryotic translation initiation factor 4E-binding protein 1 (UniProt: Q13541; also known as 4E-BP1, eIF4E-binding protein 1, Phosphorylated heat- and acid-stable protein regulated by insulin 1, PHAS-I) is encoded by the EIF4EBP1 gene (Gene ID: 1978) in human. 4E-BP1 is a repressor of translation initiation that regulates EIF4E activity by preventing its assembly into the eIF4F complex. It mediates the regulation of protein translation by hormones, growth factors and other stimuli that signal through the MAP kinase and mTORC1 pathways. 4E-BP1 is phosphorylated on serine and threonine residues in response to insulin, EGF, and PDGF. Non-phosphorylated 4E-BP1 bind strongly to eIF4E; however, phosphorylated 4E-BP1 does not bind to eIF4E. 4E-BP1 is reported to act as an inhibitory factor of tumor cells survival and proliferation because of its role as a negative regulator of cap-dependent translation. Although 4E-BP1 serves as a well-characterized substrate of mTORC1, an mTOR-independent phosphorylation of 4E-BP1 has been also been suggested to be associated with the mTOR kinase inhibitor resistance in cancer cells. (Ref.: Shang, ZF et al (2012). Cell Cycle 11(18): 3463 3471).
References
Product Information
FormatSerum
PresentationRabbit polyclonal antiserum with 0.02% sodium azide and 50% glycerol.
Quality SegmentMQ100
Applications
ApplicationAnti-phospho 4E-BP1 (Ser83), Cat. No. ABE2889, is a highly specific rabbit polyclonal antibody that targets Eukaryotic translation initiation factor 4E-binding protein 1 phosphorylated at Ser83. It has been testedfor use in Flow Cytometry, Immunocytochemistry, Immunofluorescence, & Western Blotting.
Key Applications
  • Flow Cytometry
  • Immunocytochemistry
  • Immunofluorescence
  • Western Blotting
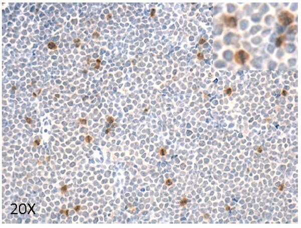
Application NotesImmunohistochemistry Analysis: A 1:200 dilution from a representative lot detected phospho 4E-BP1 (Ser83) in FFPE MCC tissue (Courtesy of Dr. Yuan Chang at University of Pittsburgh).

Flow Cytometry Analysis: A representative lot detected phospho 4E-BP1 (Ser83) in Nocodazole-arrested HeLa cells (Velasquez, C., et. al. (2016). Proc Natl Acad Sci USA. 113(30):8466-71).

Immunocytochemistry Analysis: A representative lot detected phospho 4E-BP1 (Ser83) in HEK293 and U2OS cells (Velasquez, C., et. al. (2016). Proc Natl Acad Sci USA. 113(30):8466-71).

Western Blotting Analysis: A representative lot detected phospho 4E-BP1 (Ser83) in Nocodazole-arrested HeLa cells, GST-4E-BP1 treated with mitotic HeLa lysate (Velasquez, C., et. al. (2016). Proc Natl Acad Sci USA. 113(30):8466-71).

Western Blotting Analysis: A representative lot detected phospho 4E-BP1 (Ser83) in Hela cells treated with Nocodazole (Courtesy of Dr. Yuan Chang at University of Pittsburgh).

Immunofluorescence Analysis: A 1:500 dilution from a representative lot detected phospho 4E-BP1 (Ser83) in FFPE MCC tissue (Courtesy of Dr. Yuan Chang at University of Pittsburgh).
Biological Information
ImmunogenA linear peptide corresponding to 13 amino acids surrounding phospho serine 83 from human Eukaryotic translation initiation factor 4E-binding protein 1 (4E-BP1).
Epitopeunknown
ConcentrationPlease refer to lot specific datasheet.
HostRabbit
SpecificityThis rabbit polyclonal antibody targets the Eukaryotic translation initiation factor 4E-binding protein 1. It targets an epitope within 13 amino acids surrounding phospho serine 83.
IsotypeIgG
Species Reactivity
  • Human
Species Reactivity NoteHuman.
Antibody TypePolyclonal Antibody
Entrez Gene Number
Gene Symbol
  • EIF4EBP1
Modifications
  • Phosphorylation
Purification MethodUnpurified
UniProt Number
Molecular Weight~19 kDa observed; 12.58 kDa calculated. Uncharacterized bands may be observed in some lysate(s).
Physicochemical Information
Dimensions
Materials Information
Toxicological Information
Safety Information according to GHS
Safety Information
Product Usage Statements
Quality AssuranceEvaluated by Western Blotting in HeLa cells treated with Nocodazole.

Western Blotting Analysis: A 1:1,000 dilution of this antibody detected phospho 4E-BP1 (Ser83) in lysate from HeLa cells treated with Nocodazole (100 ng/mL).
Usage Statement
  • Unless otherwise stated in our catalog or other company documentation accompanying the product(s), our products are intended for research use only and are not to be used for any other purpose, which includes but is not limited to, unauthorized commercial uses, in vitro diagnostic uses, ex vivo or in vivo therapeutic uses or any type of consumption or application to humans or animals.
Storage and Shipping Information
Storage ConditionsStable for 1 year at -20°C from date of receipt.

Handling Recommendations: Upon receipt and prior to removing the cap, centrifuge the vial and gently mix the solution. Aliquot into microcentrifuge tubes and store at -20°C. Avoid repeated freeze/thaw cycles, which may damage IgG and affect product performance.
Packaging Information
Material Size100 µL
Transport Information
Supplemental Information
Specifications
Global Trade ITEM Number
产品目录编号 GTIN
ABE2889 04054839337154

相关产品和应用