Wenn Sie das Fenster schließen, wird Ihre Konfiguration nicht gespeichert, es sei denn, Sie haben Ihren Artikel in die Bestellung aufgenommen oder zu Ihren Favoriten hinzugefügt.
Klicken Sie auf OK, um das MILLIPLEX® MAP-Tool zu schließen oder auf Abbrechen, um zu Ihrer Auswahl zurückzukehren.
Wählen Sie konfigurierbare Panels & Premixed-Kits - ODER - Kits für die zelluläre Signaltransduktion & MAPmates™
Konfigurieren Sie Ihre MILLIPLEX® MAP-Kits und lassen sich den Preis anzeigen.
Konfigurierbare Panels & Premixed-Kits
Unser breites Angebot enthält Multiplex-Panels, für die Sie die Analyten auswählen können, die am besten für Ihre Anwendung geeignet sind. Unter einem separaten Register können Sie das Premixed-Cytokin-Format oder ein Singleplex-Kit wählen.
Kits für die zelluläre Signaltransduktion & MAPmates™
Wählen Sie gebrauchsfertige Kits zur Erforschung gesamter Signalwege oder Prozesse. Oder konfigurieren Sie Ihre eigenen Kits mit Singleplex MAPmates™.
Die folgenden MAPmates™ sollten nicht zusammen analysiert werden: -MAPmates™, die einen unterschiedlichen Assaypuffer erfordern. -Phosphospezifische und MAPmate™ Gesamtkombinationen wie Gesamt-GSK3β und Gesamt-GSK3β (Ser 9). -PanTyr und locusspezifische MAPmates™, z.B. Phospho-EGF-Rezeptor und Phospho-STAT1 (Tyr701). -Mehr als 1 Phospho-MAPmate™ für ein einziges Target (Akt, STAT3). -GAPDH und β-Tubulin können nicht mit Kits oder MAPmates™, die panTyr enthalten, analysiert werden.
.
Bestellnummer
Bestellinformationen
St./Pkg.
Liste
Dieser Artikel wurde zu Ihren Favoriten hinzugefügt.
Wählen Sie bitte Spezies, Panelart, Kit oder Probenart
Um Ihr MILLIPLEX® MAP-Kit zu konfigurieren, wählen Sie zunächst eine Spezies, eine Panelart und/oder ein Kit.
Custom Premix Selecting "Custom Premix" option means that all of the beads you have chosen will be premixed in manufacturing before the kit is sent to you.
Catalogue Number
Ordering Description
Qty/Pack
List
Dieser Artikel wurde zu Ihren Favoriten hinzugefügt.
Spezies
Panelart
Gewähltes Kit
Menge
Bestellnummer
Bestellinformationen
St./Pkg.
Listenpreis
96-Well Plate
Menge
Bestellnummer
Bestellinformationen
St./Pkg.
Listenpreis
Weitere Reagenzien hinzufügen (MAPmates erfordern die Verwendung eines Puffer- und Detektionskits)
Menge
Bestellnummer
Bestellinformationen
St./Pkg.
Listenpreis
48-602MAG
Buffer Detection Kit for Magnetic Beads
1 Kit
Platzsparende Option Kunden, die mehrere Kits kaufen, können ihre Multiplex-Assaykomponenten in Kunststoffbeuteln anstelle von Packungen erhalten, um eine kompaktere Lagerung zu ermöglichen.
Dieser Artikel wurde zu Ihren Favoriten hinzugefügt.
Das Produkt wurde in Ihre Bestellung aufgenommen
Sie können nun ein weiteres Kit konfigurieren, ein Premixed-Kit wählen, zur Kasse gehen oder das Bestell-Tool schließen.
Anti-KIF2, clone 2B12.C1, Cat. No. MABT1536, is a mouse monoclonal antibody that detects Kinesin-like protein KIF2A and has been tested for use in Immunohistochemistry (Paraffin) and Western Blotting.
More>>Anti-KIF2, clone 2B12.C1, Cat. No. MABT1536, is a mouse monoclonal antibody that detects Kinesin-like protein KIF2A and has been tested for use in Immunohistochemistry (Paraffin) and Western Blotting. Less<<
Empfohlene Produkte
Übersicht
Replacement Information
Description
Catalogue Number
MABT1536-100UG
Description
Anti-KIF2 Antibody, clone 2B12.C1
Alternate Names
Kinesin-2
Kinesin-like protein KIF2A
Background Information
Kinesin-like protein KIF2A (UniProt: P28740; also known as Kinesin-2, KIF2A) is encoded by the Kif2a (also known as Kif2, Kns2) gene (Gene ID: 16563) in murine species. KIF2A is a member of the Kinesin-13 family that acts as a central regulator of the microtubule cytoskeleton in neurons. Proteins in this family include KIF2A, KIF2B, KIF2C/ MCAK, and KIF24. KIF2A acts as an ATP-dependent microtubule destabilizer and regulates cell migration, axon elongation, and pruning in the developing nervous system. KIF2A is highly phosphorylated in the brain and has many phosphorylation sites (Thr186/Thr187; Thr439/Ser440/Ser441, Ser470 and Ser488) that are shown to be specific targets of p21-activated kinase 1 (PAK1). Phosphorylation is reported to transform normal KIF2A into accelerating KIF2A (A-KIF2A) or braking KIF2A (B-KIF2A) that regulate microtubule dynamics and neuron morphology in response to extracellular signals. It has been shown that brain-derived neurotrophic factor (BDNF) stimulates PAK1 and CDK5 kinases, which can reduce microtubule polymerization activity of KIF2A via B-type phosphorylation. This results in enhanced outgrowth of neural processes. On the other hand, lysophosphatidic acid (LPA) can induce ROCK2 kinase activity that suppresses neurite outgrowth from round cells via A-type phosphorylation. (Ref.: Ogawa, T., and Hirokawa, N. (2015). Cell Reports 12(11); 1774-1788; Homma, N., et al. (2018). eLife.7:e30935).
References
Product Information
Format
Purified
Presentation
Purified mouse monoclonal antibody IgG in buffer containing 0.1 M Tris-Glycine (pH 7.4), 150 mM NaCl with 0.05% sodium azide.
Applications
Application
Anti-KIF2, clone 2B12.C1, Cat. No. MABT1536, is a mouse monoclonal antibody that detects Kinesin-like protein KIF2A and has been tested for use in Immunohistochemistry (Paraffin) and Western Blotting.
Key Applications
Immunohistochemistry (Paraffin)
Western Blotting
Application Notes
Immunohistochemistry (Paraffin) Analysis: A 1:250 dilution from a representative lot detected KIF2 in mouse testis tissue sections.
Western Blotting Analysis: 1 µg/mL from a representative lot detected KIF2 in mouse brain tissue lysate.
Biological Information
Immunogen
T7-tagged full-length mouse recombinant Kinesin-like protein KIF2A.
Clone
2B12.C1
Concentration
Please refer to lot specific datasheet.
Host
Mouse
Specificity
Clone 2B12.C1 is a mouse monoclonal antibody that detects Kinesin-like protein KIF2A in murine species.
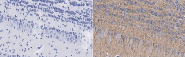
Evaluated by Immunohistochemistry (Paraffin) in mouse brain tissue sections.
Immunohistochemistry (Paraffin) Analysis: A 1:250 dilution of this antibody detected KIF2 in mouse brain tissue sections.
Usage Statement
Unless otherwise stated in our catalog or other company documentation accompanying the product(s), our products are intended for research use only and are not to be used for any other purpose, which includes but is not limited to, unauthorized commercial uses, in vitro diagnostic uses, ex vivo or in vivo therapeutic uses or any type of consumption or application to humans or animals.