Millipore Sigma Vibrant Logo

MABC28 Anti-RIP3 Antibody, clone 6E6.2

View Products on Sigmaaldrich.com
MABC28
200 µL  
Preis wird abgerufen...
Preis nicht abrufbar
Die Mindestmenge muss ein Vielfaches sein von
Maximum Quantity is
Bei Bestätigung Weitere Informationen
Sie haben () gespart
 
Bitte erfragen
Erfüllung und Lieferung verzögert
Erfüllung und Lieferung verzögert
Lieferbar 
Produkt wurde eingestellt
Begrenzter Lagerbestand
Bestätigung der Verfügbarkeit erforderlich
    Restmenge: Angebot folgt
      Restmenge: Angebot folgt
      Bitte erfragen
      Kontakt zum Kundenservice
      Contact Customer Service

      Sonderaktionen

       

      Kontakt zum Kundenservice

      Übersicht

      Replacement Information

      Key Spec Table

      Species ReactivityKey ApplicationsHostFormatAntibody Type
      H, RWB, IHCMPurifiedMonoclonal Antibody
      Description
      Catalogue NumberMABC28
      DescriptionAnti-RIP3 Antibody, clone 6E6.2
      Alternate Names
      • Receptor-interacting serine/threonine-protein kinase 3
      • RIP-like protein kinase 3
      • Receptor-interacting protein 3
      • RIP-3
      Background InformationReceptor-interacting protein 3 (RIP3) contains a N-terminal kinase domain and interacts with RIP. The binding of RIP to RIP3 causes the RIP3/RIP complex to be shuttled into the tumor necrosis factor receptor-1 signaling cascade. RIP3 is known to be a very effective apoptosis inducer. Two novel splice variants of RIP3 have been discovered, RIP3 beta and RIP3 gamma, that have shown to decrease apoptosis related to full length RIP3. RIP3 gamma has been shown to be significantly up-regulated in colon and lung cancers and may play a role in tumorigenesis.
      References
      Product Information
      FormatPurified
      Control
      • Human pancreas tissue lysate
      PresentationPurified mouse monoclonal IgG2aκ in buffer containing 0.1 M Tris-Glycine (pH 7.4), 150 mM NaCl with 0.05% sodium azide.
      Quality SegmentMQ100
      Applications
      ApplicationThis Anti-RIP3 Antibody, clone 6E6.2 is validated for use in WB, IH for the detection of RIP3.
      Key Applications
      • Western Blotting
      • Immunohistochemistry
      Application NotesWestern Blot Analysis: A 1:1,000 dilution from a representative lot detected RIP3 in 10 µg of human placenta tissue lysate.

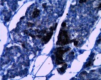
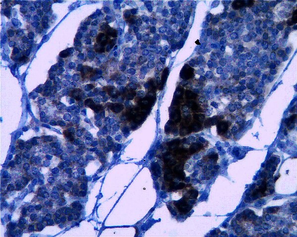
      Immunohistochemistry Analysis: A 1:500 dilution from a representative lot detected RIP3 in rat pancreas tissue.
      Biological Information
      ImmunogenGST-tagged recombinant protein corresponding to human RIP3 at the N-terminus.
      EpitopeN-terminus
      Clone6E6.2
      HostMouse
      SpecificityThis antibody recognizes RIP3 at the N-terminus.
      IsotypeIgG2aκ
      Species Reactivity
      • Human
      • Rat
      Antibody TypeMonoclonal Antibody
      Entrez Gene Number
      Entrez Gene SummaryThe product of this gene is a member of the receptor-interacting protein (RIP) family of serine/threonine protein kinases, and contains a C-terminal domain unique from other RIP family members. The encoded protein is predominantly localized to the cytoplasm, and can undergo nucleocytoplasmic shuttling dependent on novel nuclear localization and export signals. It is a component of the tumor necrosis factor (TNF) receptor-I signaling complex, and can induce apoptosis and weakly activate the NF-kappaB transcription factor. [provided by RefSeq].
      Gene Symbol
      • RIPK3
      • RIP3
      Purification MethodProtein G Purified
      UniProt Number
      UniProt SummaryFUNCTION: Promotes apoptosis.

      CATALYTIC ACTIVITY: ATP + a protein = ADP + a phosphoprotein.

      SUBUNIT STRUCTURE: Binds TRAF2 and RIPK1 and is recruited to the TNFR-1 signaling complex.

      SUBCELLULAR LOCATION: Cytoplasm Probable.

      TISSUE SPECIFICTY: Highly expressed in the pancreas. Detected at lower levels in heart, placenta, lung and kidney. Isoform 3 is significantly increased in colon and lung cancers.

      PTM: Autophosphorylated (By similarity).

      SEQUENCE SIMILARITIES: Belongs to the protein kinase superfamily. TKL Ser/Thr protein kinase family.

      Contains 1 protein kinase domain.
      Molecular Weight ~56 kDa (isoform 1) and ~27 kDa (isoform 2) observed.
      Isoform 3 (~25 kDa) may be observed in some lysates. An uncharacterized band may be observed at ~16 kDa in some lysates.
      Physicochemical Information
      Dimensions
      Materials Information
      Toxicological Information
      Safety Information according to GHS
      Safety Information
      Product Usage Statements
      Quality AssuranceEvaluated by Western Blot in human pancreas tissue lysate.

      Western Blot Analysis: A 1:1,000 dilution of this antibody detected RIP3 in 10 µg of human pancreas tissue lysate.
      Usage Statement
      • Unless otherwise stated in our catalog or other company documentation accompanying the product(s), our products are intended for research use only and are not to be used for any other purpose, which includes but is not limited to, unauthorized commercial uses, in vitro diagnostic uses, ex vivo or in vivo therapeutic uses or any type of consumption or application to humans or animals.
      Storage and Shipping Information
      Storage ConditionsStable for 1 year at 2-8°C from date of receipt.
      Packaging Information
      Material Size200 µL
      Transport Information
      Supplemental Information
      Specifications
      Global Trade ITEM Number
      Bestellnummer GTIN
      MABC28 04053252750731

      Documentation

      Anti-RIP3 Antibody, clone 6E6.2 SDB

      Titel

      Sicherheitsdatenblatt (SDB) 

      Anti-RIP3 Antibody, clone 6E6.2 Analysenzertifikate

      TitelChargennummer
      Anti-RIP3, clone 6E6.2 - 3147052 3147052
      Anti-RIP3, clone 6E6.2 - 3506601 3506601
      Anti-RIP3, clone 6E6.2 - 3698166 3698166
      Anti-RIP3, clone 6E6.2 - 3821717 3821717
      Anti-RIP3, clone 6E6.2 -2745949 2745949
      Anti-RIP3, clone 6E6.2 -2826040 2826040
      Anti-RIP3, clone 6E6.2 -2852322 2852322
      Anti-RIP3, clone 6E6.2 Monoclonal Antibody 2903965
      Anti-RIP3, clone 6E6.2 Monoclonal Antibody 3032290
      Anti-RIP3, clone 6E6.2 Monoclonal Antibody 3123695