MABN1622 Sigma-AldrichAnti-DNM1L Antibody, clone 9D8.1
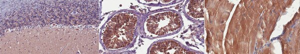
Anti-DNM1L Antibody, clone 9D8.1 is an antibody against DNM1L for use in Western Blotting, Immunohistochemistry (Paraffin).
More>> Anti-DNM1L Antibody, clone 9D8.1 is an antibody against DNM1L for use in Western Blotting, Immunohistochemistry (Paraffin). Less<<Recommended Products
Overview
| Replacement Information |
|---|
Key Spec Table
| Species Reactivity | Key Applications | Host | Format | Antibody Type |
|---|---|---|---|---|
| H, R | WB, IH(P) | M | Purified | Monoclonal Antibody |
| References |
|---|
| Product Information | |
|---|---|
| Format | Purified |
| Presentation | Purified mouse monoclonal IgG2aκ antibody in buffer containing 0.1 M Tris-Glycine (pH 7.4), 150 mM NaCl with 0.05% sodium azide. |
| Quality Segment | MQ100 |
| Physicochemical Information |
|---|
| Dimensions |
|---|
| Materials Information |
|---|
| Toxicological Information |
|---|
| Safety Information according to GHS |
|---|
| Safety Information |
|---|
| Storage and Shipping Information | |
|---|---|
| Storage Conditions | Stable for 1 year at 2-8°C from date of receipt. |
| Packaging Information | |
|---|---|
| Material Size | 100 μg |
| Transport Information |
|---|
| Supplemental Information |
|---|
| Specifications |
|---|
| Global Trade ITEM Number | |
|---|---|
| Catalogue Number | GTIN |
| MABN1622 | 04055977332230 |
Documentation
Anti-DNM1L Antibody, clone 9D8.1 Certificates of Analysis
| Title | Lot Number |
|---|---|
| Anti-DNM1L, clone 9D8.1 -Q2668888 | Q2668888 |



