Millipore Sigma Vibrant Logo

OP143 Anti-MDM2 (Ab-3) Mouse mAb (4B11)

Overview

Replacement Information

Key Spec Table

Species ReactivityHostAntibody Type
H, MMMonoclonal Antibody

Pricing & Availability

Catalogue Number AvailabilityPackaging Qty/Pack Price Quantity
OP143-100UG
Retrieving availability...
Fulfillment and delivery delayed
Fulfillment and delivery delayed
In Stock 
Discontinued
Limited Quantities Available
Availability to be confirmed
    Remaining : Will advise
      Remaining : Will advise
      Will advise
      Contact Customer Service
      Contact Customer Service

      Plastic ampoule 100 μg
      Retrieving price...
      Price could not be retrieved
      Minimum Quantity is a multiple of
      Maximum Quantity is
      Upon Order Completion More Information
      You Saved ()
       
      Request Pricing
      Description
      OverviewRecognizes the ~90 kDa (apparent MW) MDM2 protein in A549 cells. May also recognize the ~60 kDa and ~90 kDa isoforms of MDM2.
      Catalogue NumberOP143
      Brand Family Calbiochem®
      SynonymsAnti-Murine Double Minute Chromosome-2, Anti-Ubiquitin Protein Ligase, Anti-p53 Binding Protein
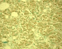
      Application Data
      Detection of human MDM2 by staining paraffin sections. Sample: Breast carcinoma. Primary antibody: Anti-MDM2 (Ab-3) Mouse mAb (4B11) (Cat. No. OP143) (2.5 μg/ml). Detection: DAB
      References
      ReferencesMarchetti, A., et al. 1995. J. Pathol. 175, 31.
      Barak, Y., et al. 1993. EMBO. J. 12, 461.
      Ladanyi, M., et al. 1993. Cancer Res. 53, 16.
      Leach, F. S., et al. 1993. Cancer Res. 53, 2231.
      Oliner, J. D., et al. 1993. Nature 362, 857.
      Momand, J., et al. 1992. Cell 69, 1237.
      Oliner, J. D., et al. 1992. Nature 358, 80.
      Fakharzadeh, S. S., et al. 1991. EMBO. J. 10, 1565.
      Product Information
      FormLiquid
      FormulationIn 50 mM sodium phosphate buffer, 50% glycerol.
      Positive controlA549 cells
      PreservativeNone
      Quality SegmentMQ100
      Applications
      Key Applications Immunoblotting (Western Blotting)
      Immunofluorescence
      Immunoprecipitation
      Paraffin Sections
      Application NotesImmunoblotting (2 µg/ml, chemiluminescence)
      Immunofluorescence (1 µg/ml)
      Immunoprecipitation (1 µg/reaction)
      Paraffin Sections (2.5 µg/ml, heat pre-treatment required)
      Application CommentsMay also recognize the ~60 kDa and ~90 kDa isoforms of MDM2. Antibody should be titrated for optimal results in individual systems.
      Biological Information
      Immunogenfull-length, recombinant human MDM2
      ImmunogenHuman
      Epitopewithin amino acids 383-491
      Clone4B11
      HostMouse
      IsotypeIgG2a
      Species Reactivity
      • Human
      • Mouse
      Antibody TypeMonoclonal Antibody
      Concentration Label Please refer to vial label for lot-specific concentration
      Physicochemical Information
      Dimensions
      Materials Information
      Toxicological Information
      Safety Information according to GHS
      Safety Information
      Product Usage Statements
      Storage and Shipping Information
      Ship Code Dry Ice Only
      Toxicity Standard Handling
      Storage -20°C
      Avoid freeze/thaw Avoid freeze/thaw
      Do not freeze Ok to freeze
      Special InstructionsFollowing initial thaw, aliquot and freeze (-20°C).
      Packaging Information
      Transport Information
      Supplemental Information
      Specifications
      Global Trade ITEM Number
      Catalogue Number GTIN
      OP143-100UG 04055977224887

      Documentation

      Anti-MDM2 (Ab-3) Mouse mAb (4B11) SDS

      Title

      Safety Data Sheet (SDS) 

      Anti-MDM2 (Ab-3) Mouse mAb (4B11) Certificates of Analysis

      TitleLot Number
      OP143

      References

      Reference overview
      Marchetti, A., et al. 1995. J. Pathol. 175, 31.
      Barak, Y., et al. 1993. EMBO. J. 12, 461.
      Ladanyi, M., et al. 1993. Cancer Res. 53, 16.
      Leach, F. S., et al. 1993. Cancer Res. 53, 2231.
      Oliner, J. D., et al. 1993. Nature 362, 857.
      Momand, J., et al. 1992. Cell 69, 1237.
      Oliner, J. D., et al. 1992. Nature 358, 80.
      Fakharzadeh, S. S., et al. 1991. EMBO. J. 10, 1565.

      Citations

      Title
    • Fang Zhang, et al. (2006) Ribosomal stress couples the unfolded protein response to p53-dependent cell cycle arrest. Journal of Biological Chemistry 281, 30036-30045.
    • Krishna P. Bhat, et al. (2004) Essential role of ribosomal protein L11 in mediating growth inhibition-induced p53 activation. The EMBO Journal 23, 2402-2412.
    • Aiwen Jin, et al. (2004) Inhibition of HDM2 and activation of p53 by ribosomal protein L23. Molecular and Cellular Biology 24, 7669-7680.
    • Data Sheet

      Note that this data sheet is not lot-specific and is representative of the current specifications for this product. Please consult the vial label and the certificate of analysis for information on specific lots. Also note that shipping conditions may differ from storage conditions.

      Revision02-October-2007 RFH
      SynonymsAnti-Murine Double Minute Chromosome-2, Anti-Ubiquitin Protein Ligase, Anti-p53 Binding Protein
      ApplicationImmunoblotting (2 µg/ml, chemiluminescence)
      Immunofluorescence (1 µg/ml)
      Immunoprecipitation (1 µg/reaction)
      Paraffin Sections (2.5 µg/ml, heat pre-treatment required)
      Application Data
      Detection of human MDM2 by staining paraffin sections. Sample: Breast carcinoma. Primary antibody: Anti-MDM2 (Ab-3) Mouse mAb (4B11) (Cat. No. OP143) (2.5 μg/ml). Detection: DAB
      DescriptionPurified mouse monoclonal antibody. Recognizes the ~90 kDa (apparent MW) MDM2 protein.
      BackgroundIncreased expression of proto-oncogenes due to gene amplification can lead to cellular transformation in the absence of other mutagenic events. Recently, a novel gene termed MDM2, first identified in mouse as a small acentromeric extra-chromosomal element, was shown to become oncogenic upon amplification and tumorigenic when overexpressed in NIH/3T3 and Rat2 cells. The human homolog of MDM2 gene has been isolated and mapped to chromosome 12q13-q14, a region that is found to be amplified in human sarcomas. Sequence analysis of the murine, rat, and human MDM2 genes suggests that MDM2 may be involved in transcriptional regulation. MDM2 contains two putative metal-binding motifs, one of which shares similarity to known zinc finger transcriptional activators. MDM2 also contains a putative nuclear localization signal and an acidic domain of the type found in transcriptional activators. A functional role for MDM2 has recently been identified on the basis of experiments which demonstrate that MDM2 forms a stable complex with p53 in vivo. Furthermore, over-expression of MDM2 inhibits the ability of wild type p53 to stimulate expression of target genes, and this inhibition appears to result from MDM2 binding to the acidic activation domain of p53, thereby preventing p53 from directly contacting the transcriptional machinery. Interestingly, wild type p53 appears to positively regulate expression of the MDM2 gene. MDM2 amplification has been observed in sarcomas, and direct analysis of the MDM2 and p53 genes in sarcomas indicates that one or the other but not both of these genes is mutated in 70% of the tumors. Thus, it appears that genetic alterations in either p53 or MDM2 represent alternative mechanisms for inactivating the same growth suppressive pathway. Regulation of MDM2 expression by p53 also represents a potential feed back control of p53 function.
      HostMouse
      Immunogen speciesHuman
      Immunogenfull-length, recombinant human MDM2
      Epitopewithin amino acids 383-491
      Clone4B11
      IsotypeIgG2a
      Specieshuman, mouse
      Positive controlA549 cells
      FormLiquid
      FormulationIn 50 mM sodium phosphate buffer, 50% glycerol.
      Concentration Label Please refer to vial label for lot-specific concentration
      PreservativeNone
      CommentsMay also recognize the ~60 kDa and ~90 kDa isoforms of MDM2. Antibody should be titrated for optimal results in individual systems.
      Storage Avoid freeze/thaw
      -20°C
      Do Not Freeze Ok to freeze
      Special InstructionsFollowing initial thaw, aliquot and freeze (-20°C).
      Toxicity Standard Handling
      ReferencesMarchetti, A., et al. 1995. J. Pathol. 175, 31.
      Barak, Y., et al. 1993. EMBO. J. 12, 461.
      Ladanyi, M., et al. 1993. Cancer Res. 53, 16.
      Leach, F. S., et al. 1993. Cancer Res. 53, 2231.
      Oliner, J. D., et al. 1993. Nature 362, 857.
      Momand, J., et al. 1992. Cell 69, 1237.
      Oliner, J. D., et al. 1992. Nature 358, 80.
      Fakharzadeh, S. S., et al. 1991. EMBO. J. 10, 1565.
      Citation
    • Fang Zhang, et al. (2006) Ribosomal stress couples the unfolded protein response to p53-dependent cell cycle arrest. Journal of Biological Chemistry 281, 30036-30045.
    • Krishna P. Bhat, et al. (2004) Essential role of ribosomal protein L11 in mediating growth inhibition-induced p53 activation. The EMBO Journal 23, 2402-2412.
    • Aiwen Jin, et al. (2004) Inhibition of HDM2 and activation of p53 by ribosomal protein L23. Molecular and Cellular Biology 24, 7669-7680.