Millipore Sigma Vibrant Logo

ABN340 Anti-LRFN5 Antibody

View Products on Sigmaaldrich.com
ABN340
100 µg  
Retrieving price...
Price could not be retrieved
Minimum Quantity is a multiple of
Maximum Quantity is
Upon Order Completion More Information
You Saved ()
 
Request Pricing
Limited Availability
Limited Availability
In Stock 
Discontinued
Limited Quantities Available
Availability to be confirmed
    Remaining : Will advise
      Remaining : Will advise
      Will advise
      Contact Customer Service
      Contact Customer Service

      Special Offers

       

      Contact Customer Service

      Overview

      Replacement Information

      Key Spec Table

      Species ReactivityKey ApplicationsHostFormatAntibody Type
      M, HWB, IHCRbAffinity PurifiedPolyclonal Antibody
      Description
      Catalogue NumberABN340
      DescriptionAnti-LRFN5 Antibody
      Alternate Names
      • Leucine-rich repeat and fibronectin typeIII domain-containing protein 5
      • synaptic adhesion-like molecule 5
      • SALM5
      • FIGLER8
      Background InformationLRFN5 is one of a family of five transmembrane glycoproteins that are highly expressed in neuronal tissues. LRFN proteins share leucine-rich repeat (LRR)-immunoglobulin-like (Ig)-fibronectin type III (Fn)-transmembrane domain structure with other members of the LRR-Ig-Fn protein superfamily such as the Slitrk family of proteins. Expression of LRFN1, -3, and -4 mRNA was detected in embryonic neuronal cells, while LRFN2 and LRFN5 expression was primarily restricted to more mature cells. LRFN1, -2, and -4 bound to PDZ domains of postsynaptic PSD95, re-distributing PSD95 to the cell periphery. It has been suggested that the LRFN proteins play a role in the developing and/or mature vertebrate nervous system.
      References
      Product Information
      FormatAffinity Purified
      Control
      • EL4 cell lysate
      PresentationPurified rabbit polyclonal in buffer containing PBS and 0.02% sodium azide.
      Quality SegmentMQ100
      Applications
      ApplicationDetect the LRFN5 protein using this Anti-LRFN5 validated for use in WB & IHC.
      Key Applications
      • Western Blotting
      • Immunohistochemistry
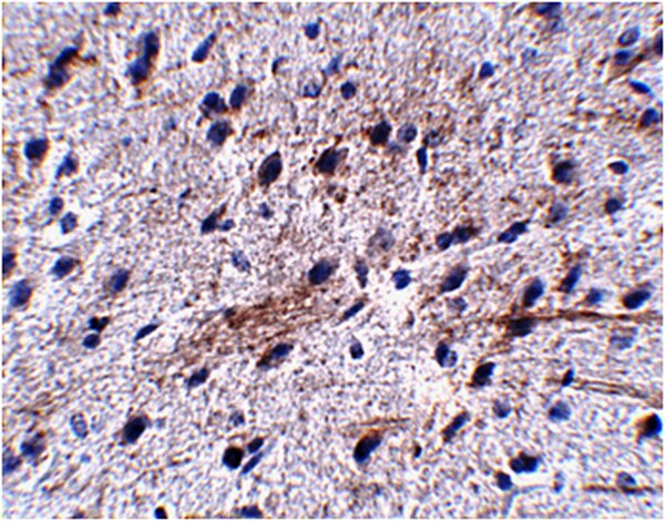
      Application NotesImmunohistochemistry Analysis: 5 µg/mL from a representative lot detected LRFN5 in mouse brain tissue.
      Biological Information
      ImmunogenKLH-conjugated linear peptide corresponding to human LRFN5.
      ConcentrationPlease refer to the Certificate of Analysis for the lot-specific concentration.
      HostRabbit
      SpecificityAt least two isoforms of LRFN5 are known to exist. This antibody is predicted to not cross-react with other members of the LRFN family.
      Species Reactivity
      • Mouse
      • Human
      Species Reactivity NoteDemonstrated to react with Mouse. Predicted to react with Human based on immunogen design.
      Antibody TypePolyclonal Antibody
      Gene Symbol
      • LRFN5
      Purification MethodAntigen Affinity Purified
      UniProt Number
      Molecular Weight~79 kDa observed
      Physicochemical Information
      Dimensions
      Materials Information
      Toxicological Information
      Safety Information according to GHS
      Safety Information
      Product Usage Statements
      Quality AssuranceEvaluated by Western Blot in EL4 cell lysate.

      Western Blotting Analysis: 1 µg/mL of this antibody detected LRFN5 in 15 µg of EL4 cell lysate.
      Usage Statement
      • Unless otherwise stated in our catalog or other company documentation accompanying the product(s), our products are intended for research use only and are not to be used for any other purpose, which includes but is not limited to, unauthorized commercial uses, in vitro diagnostic uses, ex vivo or in vivo therapeutic uses or any type of consumption or application to humans or animals.
      Storage and Shipping Information
      Storage ConditionsStable for 1 year at 2-8°C from date of receipt.
      Packaging Information
      Material Size100 µg
      Transport Information
      Supplemental Information
      Specifications
      Global Trade ITEM Number
      Catalogue Number GTIN
      ABN340 04053252847417