Millipore Sigma Vibrant Logo

AP1160 Anti-NDRG1 Mouse mAb (2D7)

Overview

Replacement Information

Key Spec Table

Species ReactivityHostAntibody Type
HMMonoclonal Antibody

Pricing & Availability

Catalogue Number AvailabilityPackaging Qty/Pack Price Quantity
AP1160-100UG
Retrieving availability...
Limited Availability
Limited Availability
In Stock 
Discontinued
Limited Quantities Available
Availability to be confirmed
    Remaining : Will advise
      Remaining : Will advise
      Will advise
      Contact Customer Service
      Contact Customer Service

      100 μg
      Retrieving price...
      Price could not be retrieved
      Minimum Quantity is a multiple of
      Maximum Quantity is
      Upon Order Completion More Information
      You Saved ()
       
      Request Pricing
      Description
      OverviewRecognizes the ~40-45 kDa NDRG1 protein in HeLa cells and human endometrium tissue.
      Catalogue NumberAP1160
      Brand Family Calbiochem®
      SynonymsAnti-N-myc Downstream Regulator 1
      Application Data
      Detection of human NDRG1 by immunoblotting. Sample: Full-length recombinant human NDRG1 protein. Primary antibody: Anti-NDRG1 Mouse mAb (2D7) (Cat. No. AP1160) (1-5 µg/ml). Detection: chemiluniescence.

      Detection of human NDRG1 by immunocytochemistry. Sample: HeLa cells fixed in paraformaldehyde. Primary antibody: Anti-NDRG1 Mouse mAb (2D7) (Cat. No. AP1160) (10 µg/ml). Detection: fluorescence.

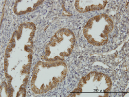
      Detection of human NDRG1 by staining paraffin sections. Sample: Formalin-fixed, paraffin-embedded human endometrium. Primary antibody: Anti-NDRG1 Mouse mAb (2D7) (Cat. No. AP1160) (0.7 µg/ml). Detection: colorimetric (DAB).
      References
      ReferencesJiang, K., et al. 2010. Scand. J. Gastroenterol 45, 898.
      Leth-Larsen R, et al. 2009. Mol. Cell Proteomics 8, 1436.
      Product Information
      FormLiquid
      FormulationIn PBS, pH 7.2.
      Positive controlHuman endometrium tissue, HeLa cells
      PreservativeNone
      Quality SegmentMQ100
      Applications
      Key Applications Enzyme-Linked Immunosorbent Assay
      Immunoblotting (Western Blotting)
      Immunocytochemistry
      Paraffin Sections
      Application NotesELISA (see comments)
      Immunoblotting (1-5 µg/ml)
      Immunocytochemistry (10 µg/ml)
      Paraffin Sections (0.7 µg/ml)
      Application CommentsFor ELISA, this antibody can be used as the capture antibody; recommended concentration is 10 ng/ml, 1 µg/well, 100 µl total volume. Variables associated with assay conditions will dictate the proper working dilution.
      Biological Information
      ImmunogenFull-length, recombinant human NDRG1 (aa 1-395), expressed as a GST fusion protein
      Clone2D7
      HostMouse
      IsotypeIgG2a
      Species Reactivity
      • Human
      Antibody TypeMonoclonal Antibody
      Physicochemical Information
      Dimensions
      Materials Information
      Toxicological Information
      Safety Information according to GHS
      Safety Information
      Product Usage Statements
      Storage and Shipping Information
      Ship Code Blue Ice Only
      Toxicity Regulatory Review
      Storage -20°C
      Avoid freeze/thaw Avoid freeze/thaw
      Do not freeze Ok to freeze
      Special InstructionsFollowing initial thaw, aliquot and freeze (-20°C).
      Packaging Information
      Transport Information
      Supplemental Information
      Specifications
      Global Trade ITEM Number
      Catalogue Number GTIN
      AP1160-100UG 04055977212662

      Documentation

      Anti-NDRG1 Mouse mAb (2D7) MSDS

      Title

      Safety Data Sheet (SDS) 

      References

      Reference overview
      Jiang, K., et al. 2010. Scand. J. Gastroenterol 45, 898.
      Leth-Larsen R, et al. 2009. Mol. Cell Proteomics 8, 1436.
      Data Sheet

      Note that this data sheet is not lot-specific and is representative of the current specifications for this product. Please consult the vial label and the certificate of analysis for information on specific lots. Also note that shipping conditions may differ from storage conditions.

      Revision19-October-2010 RFH
      SynonymsAnti-N-myc Downstream Regulator 1
      ApplicationELISA (see comments)
      Immunoblotting (1-5 µg/ml)
      Immunocytochemistry (10 µg/ml)
      Paraffin Sections (0.7 µg/ml)
      Application Data
      Detection of human NDRG1 by immunoblotting. Sample: Full-length recombinant human NDRG1 protein. Primary antibody: Anti-NDRG1 Mouse mAb (2D7) (Cat. No. AP1160) (1-5 µg/ml). Detection: chemiluniescence.

      Detection of human NDRG1 by immunocytochemistry. Sample: HeLa cells fixed in paraformaldehyde. Primary antibody: Anti-NDRG1 Mouse mAb (2D7) (Cat. No. AP1160) (10 µg/ml). Detection: fluorescence.

      Detection of human NDRG1 by staining paraffin sections. Sample: Formalin-fixed, paraffin-embedded human endometrium. Primary antibody: Anti-NDRG1 Mouse mAb (2D7) (Cat. No. AP1160) (0.7 µg/ml). Detection: colorimetric (DAB).
      DescriptionPurified mouse monoclonal antibody. Recognizes the ~40-45 kDa NDRG1 protein.
      BackgroundNDRG1 is a member of the N-myc downregulated gene family which belongs to the alpha/beta hydrolase superfamily. The protein encoded by this gene is a cytoplasmic protein involved in stress responses, hormone responses, cell growth, and differentiation. It is necessary for p53-mediated caspase activation and apoptosis. Mutation in this gene has been reported to be causative for hereditary motor and sensory neuropathy-Lom.
      HostMouse
      ImmunogenFull-length, recombinant human NDRG1 (aa 1-395), expressed as a GST fusion protein
      Clone2D7
      IsotypeIgG2a
      Specieshuman
      Positive controlHuman endometrium tissue, HeLa cells
      FormLiquid
      FormulationIn PBS, pH 7.2.
      PreservativeNone
      CommentsFor ELISA, this antibody can be used as the capture antibody; recommended concentration is 10 ng/ml, 1 µg/well, 100 µl total volume. Variables associated with assay conditions will dictate the proper working dilution.
      Storage Avoid freeze/thaw
      -20°C
      Do Not Freeze Ok to freeze
      Special InstructionsFollowing initial thaw, aliquot and freeze (-20°C).
      Toxicity Regulatory Review
      ReferencesJiang, K., et al. 2010. Scand. J. Gastroenterol 45, 898.
      Leth-Larsen R, et al. 2009. Mol. Cell Proteomics 8, 1436.