Millipore Sigma Vibrant Logo

ST1042 Anti-PKD2 Rabbit pAb

Overview

Replacement Information

Key Spec Table

Species ReactivityHostAntibody Type
HRbPolyclonal Antibody

Pricing & Availability

Catalogue Number AvailabilityPackaging Qty/Pack Price Quantity
ST1042-50UG
Retrieving availability...
Limited Availability
Limited Availability
In Stock 
Discontinued
Limited Quantities Available
Availability to be confirmed
    Remaining : Will advise
      Remaining : Will advise
      Will advise
      Contact Customer Service
      Contact Customer Service

      Ampul plastik 50 μg
      Retrieving price...
      Price could not be retrieved
      Minimum Quantity is a multiple of
      Maximum Quantity is
      Upon Order Completion More Information
      You Saved ()
       
      Request Pricing
      Description
      OverviewRecognizes the ~105 kDa PKD2 protein in HEK293 cells.
      Catalogue NumberST1042
      Brand Family Calbiochem®
      SynonymsAnti-Protein Kinase D2
      Application Data
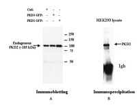
      Panel A: Detection of human PKD2 by immunoblotting. Samples: Whole cell lysate (30 µg) from untransfected HEK 293 cells (Ctrl, left lane), HEK 293 cells transfected with PKD3-GFP fusion protein (~136 kDa, middle lane), or HEK 293 cells transfected with PKD1-GFP fusion protein (~136 kDa, right lane). Primary antibody: Anti-PKD2 Rabbit pAb (Cat. No. ST1042) (1:1000) Detection: chemiluminescence. Panel B: Detection of human PKD2 by immunoprecipitation, followed by immunoblotting. Sample: Whole cell lysate (200 µg protein) from HEK 293 cells. Antibody for IP: Anti-PKD2 Rabbit pAb (Cat. No. ST1042) (1:100). Immunoblotting conditions: same as above.
      References
      ReferencesRey, O., et al. 2003. Biochem. Biophys. Res. Commun. 302, 817.
      Sturany, S., et al. 2002. J. Biol. Chem. 277, 29431.
      Sturany, S., et al. 2001. J. Biol. Chem. 276, 3310.
      Product Information
      FormLiquid
      FormulationIn PBS.
      Positive controlHEK 293 cells
      Preservative≤0.1% sodium azide
      Quality SegmentMQ100
      Applications
      Key Applications Immunoblotting (Western Blotting)
      Immunoprecipitation
      Application NotesImmunoblotting (1:500-1:5000)
      Immunoprecipitation (1-4 µg/mg lysate)
      Application CommentsThis antibody does not cross-react with PKD1 or PKD3. Antibody should be titrated for optimal use in individual systems.
      Biological Information
      Immunogena synthetic peptide corresponding to amino acids near the C-terminus of human PKD2
      ImmunogenHuman
      HostRabbit
      IsotypeIgG
      Species Reactivity
      • Human
      Antibody TypePolyclonal Antibody
      Concentration Label Please refer to vial label for lot-specific concentration
      Physicochemical Information
      Dimensions
      Materials Information
      Toxicological Information
      Safety Information according to GHS
      Safety Information
      Product Usage Statements
      Storage and Shipping Information
      Ship Code Blue Ice Only
      Toxicity Highly Toxic
      Storage +2°C to +8°C
      Do not freeze Ok to freeze
      Special InstructionsFollowing initial use, aliquot and freeze (-20°C) for long-term storage. Avoid freeze/thaw.
      Packaging Information
      Transport Information
      Supplemental Information
      Specifications
      Global Trade ITEM Number
      Catalogue Number GTIN
      ST1042-50UG 04055977224368

      Documentation

      Anti-PKD2 Rabbit pAb MSDS

      Title

      Safety Data Sheet (SDS) 

      Anti-PKD2 Rabbit pAb Certificates of Analysis

      TitleLot Number
      ST1042

      References

      Reference overview
      Rey, O., et al. 2003. Biochem. Biophys. Res. Commun. 302, 817.
      Sturany, S., et al. 2002. J. Biol. Chem. 277, 29431.
      Sturany, S., et al. 2001. J. Biol. Chem. 276, 3310.
      Data Sheet

      Note that this data sheet is not lot-specific and is representative of the current specifications for this product. Please consult the vial label and the certificate of analysis for information on specific lots. Also note that shipping conditions may differ from storage conditions.

      Revision13-March-2009 JSW
      SynonymsAnti-Protein Kinase D2
      ApplicationImmunoblotting (1:500-1:5000)
      Immunoprecipitation (1-4 µg/mg lysate)
      Application Data
      Panel A: Detection of human PKD2 by immunoblotting. Samples: Whole cell lysate (30 µg) from untransfected HEK 293 cells (Ctrl, left lane), HEK 293 cells transfected with PKD3-GFP fusion protein (~136 kDa, middle lane), or HEK 293 cells transfected with PKD1-GFP fusion protein (~136 kDa, right lane). Primary antibody: Anti-PKD2 Rabbit pAb (Cat. No. ST1042) (1:1000) Detection: chemiluminescence. Panel B: Detection of human PKD2 by immunoprecipitation, followed by immunoblotting. Sample: Whole cell lysate (200 µg protein) from HEK 293 cells. Antibody for IP: Anti-PKD2 Rabbit pAb (Cat. No. ST1042) (1:100). Immunoblotting conditions: same as above.
      DescriptionImmunoaffinity purified rabbit polyclonal antibody. Recognizes the ~105 kDa PKD2 protein.
      BackgroundProtein kinase D2 (PKD2) is a serine/threonine protein kinase and a member of PKD family, which also includes PKD/PKD1/PKCµ and PKD3/PKCν. PKDs are a newly identified protein kinase family with structural, enzymological and regulatory properties different from protein kinase C (PKC) family. PKDs participate in the signal transduction pathway and are potential regulators of cell proliferation and apoptosis. They are stimulated by diacyl-glycerol (DAG), and are substrates for classical PKCs like PKCα, PKCε and PKCη. Therefore, PKD stimulation by DAG is partially mediated through PKCs. PKD2 mRNA is widely expressed in human and murine tissue and codes for a ~105 kDa protein. It is stimulated by both phorbol ester and growth factors and is autophosphorylated upon stimulation. PKD2 is predominantly located in the cytoplasm and, as opposed to other members of the PKD family, does not accumulate in the nucleus upon induction. This suggests that PKD2 mediates physiological responses different from other members of the PKD family.
      HostRabbit
      Immunogen speciesHuman
      Immunogena synthetic peptide corresponding to amino acids near the C-terminus of human PKD2
      IsotypeIgG
      Specieshuman
      Positive controlHEK 293 cells
      FormLiquid
      FormulationIn PBS.
      Concentration Label Please refer to vial label for lot-specific concentration
      Preservative≤0.1% sodium azide
      CommentsThis antibody does not cross-react with PKD1 or PKD3. Antibody should be titrated for optimal use in individual systems.
      Storage +2°C to +8°C
      Do Not Freeze Ok to freeze
      Special InstructionsFollowing initial use, aliquot and freeze (-20°C) for long-term storage. Avoid freeze/thaw.
      Toxicity Highly Toxic
      ReferencesRey, O., et al. 2003. Biochem. Biophys. Res. Commun. 302, 817.
      Sturany, S., et al. 2002. J. Biol. Chem. 277, 29431.
      Sturany, S., et al. 2001. J. Biol. Chem. 276, 3310.