Our broad portfolio consists of multiplex panels that allow you to choose, within the panel, analytes that best meet your needs. On a separate tab you can choose the premixed cytokine format or a single plex kit.
Cell Signaling Kits & MAPmates™
Choose fixed kits that allow you to explore entire pathways or processes. Or design your own kits by choosing single plex MAPmates™, following the provided guidelines.
The following MAPmates™ should not be plexed together:
-MAPmates™ that require a different assay buffer
-Phospho-specific and total MAPmate™ pairs, e.g. total GSK3β and GSK3β (Ser 9)
-PanTyr and site-specific MAPmates™, e.g. Phospho-EGF Receptor and phospho-STAT1 (Tyr701)
-More than 1 phospho-MAPmate™ for a single target (Akt, STAT3)
-GAPDH and β-Tubulin cannot be plexed with kits or MAPmates™ containing panTyr
.
Catalogue Number
Ordering Description
Qty/Pack
List
This item has been added to favorites.
Select A Species, Panel Type, Kit or Sample Type
To begin designing your MILLIPLEX® MAP kit select a species, a panel type or kit of interest.
Custom Premix Selecting "Custom Premix" option means that all of the beads you have chosen will be premixed in manufacturing before the kit is sent to you.
Catalogue Number
Ordering Description
Qty/Pack
List
This item has been added to favorites.
Species
Panel Type
Selected Kit
Qty
Catalogue Number
Ordering Description
Qty/Pack
List Price
96-Well Plate
Qty
Catalogue Number
Ordering Description
Qty/Pack
List Price
Add Additional Reagents (Buffer and Detection Kit is required for use with MAPmates)
Qty
Catalogue Number
Ordering Description
Qty/Pack
List Price
48-602MAG
Buffer Detection Kit for Magnetic Beads
1 Kit
Space Saver Option Customers purchasing multiple kits may choose to save storage space by eliminating the kit packaging and receiving their multiplex assay components in plastic bags for more compact storage.
This item has been added to favorites.
The Product Has Been Added To Your Cart
You can now customize another kit, choose a premixed kit, check out or close the ordering tool.
AP1159
Sigma-AldrichAnti-TNFRSF14 Mouse mAb (2G6-2C7)
This Anti-TNFRSF14 Mouse mAb (2G6-2C7) is validated for use in ELISA, Immunoblotting, Paraffin Sections for the detection of TNFRSF14.
More>>This Anti-TNFRSF14 Mouse mAb (2G6-2C7) is validated for use in ELISA, Immunoblotting, Paraffin Sections for the detection of TNFRSF14. Less<<
Anti-TNFRSF14 Mouse mAb (2G6-2C7) MSDS (material safety data sheet) or SDS, CoA and CoQ, dossiers, brochures and other available documents.
The quantity field is empty. Please enter a quantity of 1 or more to add items to your cart.
Description
Overview
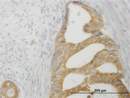
Recognizes the TNFRSF14 protein in human pancreatic cancer tissue.
Catalogue Number
AP1159
Brand Family
Calbiochem®
Synonyms
Anti-Tumor Necrosis Factor Receptor Super family 14
Application Data
Detection of human TNFRSF14 by immunoblotting. Sample: Whole cell lysate from 293T cells, transfected with full-length, recombinant, human TNFRSF14 (lane 1) and from non-transfected 293T cells (lane 2). Primary antibody: Anti-TNFRSF14 Mouse mAb (2G6-2C7) (Cat. No. AP1159) (1-5 µg/ml). Detection: Chemiluminescence. Detection of human TNFRSF14 by staining paraffin sections. Sample: Formalin-fixed, paraffin-embedded human pancreatic cancer tissue. Primary antibody: Anti-TNFRSF14 Mouse mAb (2G6-2C7) (Cat. No. AP1159) (1 µg/ml). Detection: coloritmetric (DAB).
ELISA (see comments) Immunoblotting (1-5 µg) Paraffin Sections (1 µg/ml)
Application Comments
For ELISA, this antibody can be used as the capture antibody; recommended concentration is 10 ng/ml, 1 µg/well, 100 µl total volume. Variables associated with assay conditions will dictate the proper working dilution.
Biological Information
Immunogen
Full-length, recombinant, human TNFRSF14 (aa 38-248), expressed as a GST fusion protein
Clone
2G6-2C7
Host
Mouse
Isotype
IgG₁
Species Reactivity
Human
Antibody Type
Monoclonal Antibody
Physicochemical Information
Dimensions
Materials Information
Toxicological Information
Safety Information according to GHS
Safety Information
Product Usage Statements
Storage and Shipping Information
Ship Code
Blue Ice Only
Toxicity
Regulatory Review
Storage
-20°C
Avoid freeze/thaw
Avoid freeze/thaw
Do not freeze
Ok to freeze
Special Instructions
Following initial thaw, aliquot and freeze (-20°C).
Note that this data sheet is not lot-specific and is representative of the current specifications for this product. Please consult the vial label and the certificate of analysis for information on specific lots. Also note that shipping conditions may differ from storage conditions.
Revision
19-October-2010 RFH
Synonyms
Anti-Tumor Necrosis Factor Receptor Super family 14
Application
ELISA (see comments) Immunoblotting (1-5 µg) Paraffin Sections (1 µg/ml)
Application Data
Detection of human TNFRSF14 by immunoblotting. Sample: Whole cell lysate from 293T cells, transfected with full-length, recombinant, human TNFRSF14 (lane 1) and from non-transfected 293T cells (lane 2). Primary antibody: Anti-TNFRSF14 Mouse mAb (2G6-2C7) (Cat. No. AP1159) (1-5 µg/ml). Detection: Chemiluminescence. Detection of human TNFRSF14 by staining paraffin sections. Sample: Formalin-fixed, paraffin-embedded human pancreatic cancer tissue. Primary antibody: Anti-TNFRSF14 Mouse mAb (2G6-2C7) (Cat. No. AP1159) (1 µg/ml). Detection: coloritmetric (DAB).
Description
Purified mouse monoclonal antibody. Recognizes the TNFRSF14 protein.
Background
TNFRSF14 is a member of the TNF-receptor superfamily. This receptor was identified as a cellular mediator of herpes simplex virus (HSV) entry. Binding of HSV viral envelope glycoprotein D (gD) to this receptor protein has been shown to be part of the viral entry mechanism. The cytoplasmic region of this receptor was found to bind to several TRAF family members, which may mediate the signal transduction pathways that activate the immune response.
Host
Mouse
Immunogen
Full-length, recombinant, human TNFRSF14 (aa 38-248), expressed as a GST fusion protein
Clone
2G6-2C7
Isotype
IgG₁
Species
human
Positive control
Human pancreatic cancer tissue
Negative control
293T cells
Form
Liquid
Formulation
In PBS, pH 7.2.
Preservative
None
Comments
For ELISA, this antibody can be used as the capture antibody; recommended concentration is 10 ng/ml, 1 µg/well, 100 µl total volume. Variables associated with assay conditions will dictate the proper working dilution.
Storage
Avoid freeze/thaw
-20°C
Do Not Freeze
Ok to freeze
Special Instructions
Following initial thaw, aliquot and freeze (-20°C).