Millipore Sigma Vibrant Logo

ABC227-100UL Anti-GABARAPL2

View Products on Sigmaaldrich.com
ABC227-100UL
100 µL  
Retrieving price...
Price could not be retrieved
Minimum Quantity is a multiple of
Maximum Quantity is
Upon Order Completion More Information
You Saved ()
 
Request Pricing
Limited Availability
Limited Availability
In Stock 
Discontinued
Limited Quantities Available
Availability to be confirmed
    Remaining : Will advise
      Remaining : Will advise
      Will advise
      Contact Customer Service
      Contact Customer Service

       

      Contact Customer Service

      Overview

      Replacement Information

      Key Spec Table

      Species ReactivityKey ApplicationsHostFormatAntibody Type
      HWB, IH(P)RbAffinity PurifiedPolyclonal Antibody
      Description
      Catalogue NumberABC227-100UL
      DescriptionAnti-GABARAPL2
      Alternate Names
      • Gamma-aminobutyric acid receptor-associated protein-like 2
      • GABA(A) receptor-associated protein-like 2
      • Ganglioside expression factor 2
      • GEF-2
      • General protein transport factor p16
      • Golgi-associated ATPase enhancer of 16 kDa
      • GATE-16
      • MAP1 light chain 3-related protein
      Background InformationGamma-aminobutyric acid receptor-associated protein-like 2 (UniProt: P60520; also known as GABA(A) receptor-associated protein-like 2, Ganglioside expression factor 2, GEF-2, General protein transport factor p16, Golgi-associated ATPase enhancer of 16 kDa, GATE-16, MAP1 light chain 3-related protein) is encoded by the GABARAPL2 (also known as FLC3A, GEF2) gene (Gene ID: 11345) in human. GEF-2 is a momomeric ubiquitin-like modifier protein of ATG8 family that is involved in intra-Golgi traffic. It is shown to modulate intra-Golgi transport through coupling between NSF activity and SNAREs activation. It first stimulates the ATPase activity of NSF, which in turn stimulates the association with GOSR1. GEF-2 is also involved in autophagy and plays a role in mitophagy, which contributes to regulate mitochondrial quantity and quality by eliminating the mitochondria to a basal level. It is ubiquitously expressed and higher expressions are observed in the brain, heart, prostate, ovary, spleen and skeletal muscle. Low expression levels are observed in lung, thymus, and small intestine. In the precursor molecule the peptide bond between aa 116 and 117 is cleaved off by ATG4 to generate mature protein.
      References
      Product Information
      FormatAffinity Purified
      PresentationPurified rabbit polyclonal antibody in buffer containing 0.1 M Tris-Glycine (pH 7.4), 150 mM NaCl with 0.05% sodium azide/.
      Applications
      ApplicationAnti-GABARAPL2, Cat. No. ABC227, is a rabbit polyclonal antibody that detects Gamma-aminobutyric acid receptor-associated protein-like 2 and has been tested for use in Immunohistochemistry (Paraffin) and Western Blotting.
      Key Applications
      • Western Blotting
      • Immunohistochemistry (Paraffin)
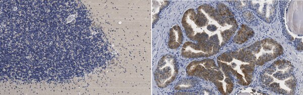
      Application NotesImmunohistochemistry Analysis: A 1:250 dilution from a representative lot detected GABARAPL2 in human cerebellum and human prostate tissue sections.
      Biological Information
      ImmunogenGST-tagged full length human recombinant GABA(A) receptor-associated protein-like 2 (GABARAPL2).
      Epitopeunknown
      ConcentrationPlease refer to lot specific datasheet.
      HostRabbit
      SpecificityThis rabbit polyclonal antibody detects GABA(A) receptor-associated protein-like 2 (GABARAPL2) in human cells.
      Species Reactivity
      • Human
      Species Reactivity NoteHuman.
      Antibody TypePolyclonal Antibody
      Gene Symbol
      • GABARAPL2
      • FLC3A
      • GEF2
      Purification MethodAffinity Purified
      UniProt Number
      Molecular Weight~ 14 kDa observed; 13.67 kDa calculated. Uncharacterized bands may be observed in some lysate(s).
      Physicochemical Information
      Dimensions
      Materials Information
      Toxicological Information
      Safety Information according to GHS
      Safety Information
      Product Usage Statements
      Quality AssuranceEvaluated by Western Blotting in Raji membrane extract.

      Western Blotting Analysis: A 1:500 dilution of this antibody detected GABARAPL2 in Raji membrane extract.
      Usage Statement
      • Unless otherwise stated in our catalog or other company documentation accompanying the product(s), our products are intended for research use only and are not to be used for any other purpose, which includes but is not limited to, unauthorized commercial uses, in vitro diagnostic uses, ex vivo or in vivo therapeutic uses or any type of consumption or application to humans or animals.
      Storage and Shipping Information
      Storage ConditionsStable for 1 year at 2-8°C from date of receipt.
      Packaging Information
      Material Size100 µL
      Transport Information
      Supplemental Information
      Specifications
      Global Trade ITEM Number
      Catalogue Number GTIN
      ABC227-100UL 04054839482120