Millipore Sigma Vibrant Logo

OP140 Anti-p53 (Ab-12) (Pantropic) Mouse mAb (DO-7)

Overview

Replacement Information

Key Spec Table

Species ReactivityHostAntibody Type
B, H, MkMMonoclonal Antibody

Pricing & Availability

Catalogue Number AvailabilityPackaging Qty/Pack Price Quantity
OP140-100UG
Retrieving availability...
Limited Availability
Limited Availability
In Stock 
Discontinued
Limited Quantities Available
Availability to be confirmed
    Remaining : Will advise
      Remaining : Will advise
      Will advise
      Contact Customer Service
      Contact Customer Service

      Plastic ampoule 100 μg
      Retrieving price...
      Price could not be retrieved
      Minimum Quantity is a multiple of
      Maximum Quantity is
      Upon Order Completion More Information
      You Saved ()
       
      Request Pricing
      Description
      OverviewRecognizes the ~53 kDa wild-type p53 and mutant p53 protein in SKBR-3 and MDA-231 cells and in colon carcinoma tissue.
      Catalogue NumberOP140
      Brand Family Calbiochem®
      Application Data
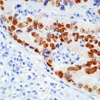
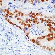
      Detection of human p53 by staining paraffin sections. Sample: Human colon carcinoma fixed in formalin and paraffin-embedded. Primary antibody: Anti-p53 (Ab-12) (Pantropic) Mouse mAb (DO-7) (Cat. No. OP140) (1 µg/ml) Detection: DAB.

      Detection of human p53 by immunoblotting. Sample: Human p53. Primary antibody: Anti-p53 (Ab-12) (Pantropic) Mouse mAb (DO-7) (Cat. No. OP140) (1 µg/ml). Detection: chemiluminescence.
      References
      ReferencesGreenblatt, M.S., et al. 1994. Cancer Res. 54, 4855.
      Lane, D.P. 1992. Nature 358, 15.
      Product Information
      FormLiquid
      FormulationIn 10 mM PBS, pH 7.4.
      Positive controlSKBR-3 or MDA-231 cells or colon carcinoma tissue
      PreservativeNone
      Quality SegmentMQ100
      Applications
      Key Applications Frozen Sections
      Immunoblotting (Western Blotting)
      Immunofluorescence
      Immunoprecipitation
      Paraffin Sections
      Application NotesFrozen Sections (1-2 µg/ml)
      Immunoblotting (1-2 µg/ml)
      Immunofluorescence (0.5 µg/ml)
      Immunoprecipitation (2 µg/mg lysate)
      Paraffin Sections (1-2 µg/ml)
      Application CommentsExhibits nuclear staining in tumor cells. Antibody should be titrated for optimal results in individual systems.
      Biological Information
      Immunogenrecombinant, human p53 expressed in E. coli
      ImmunogenHuman
      Epitopewithin amino acids 37-45 of p53
      CloneDO-7
      HostMouse
      IsotypeIgG2b
      Species Reactivity
      • Bovine
      • Human
      • Monkey
      Antibody TypeMonoclonal Antibody
      Concentration Label Please refer to vial label for lot-specific concentration
      Physicochemical Information
      Dimensions
      Materials Information
      Toxicological Information
      Safety Information according to GHS
      Safety Information
      Product Usage Statements
      Storage and Shipping Information
      Ship Code Dry Ice Only
      Toxicity Standard Handling
      Storage -20°C
      Avoid freeze/thaw Avoid freeze/thaw
      Do not freeze Ok to freeze
      Special InstructionsFollowing initial thaw, aliquot and freeze (-20°C).
      Packaging Information
      Transport Information
      Supplemental Information
      Specifications
      Global Trade ITEM Number
      Catalogue Number GTIN
      OP140-100UG 07790788053871

      Documentation

      Anti-p53 (Ab-12) (Pantropic) Mouse mAb (DO-7) SDS

      Title

      Safety Data Sheet (SDS) 

      Anti-p53 (Ab-12) (Pantropic) Mouse mAb (DO-7) Certificates of Analysis

      TitleLot Number
      OP140

      References

      Reference overview
      Greenblatt, M.S., et al. 1994. Cancer Res. 54, 4855.
      Lane, D.P. 1992. Nature 358, 15.

      Brochure

      Title
      Caspases and other Apoptosis Related Tools Brochure
      Data Sheet

      Note that this data sheet is not lot-specific and is representative of the current specifications for this product. Please consult the vial label and the certificate of analysis for information on specific lots. Also note that shipping conditions may differ from storage conditions.

      Revision02-March-2009 JSW
      ApplicationFrozen Sections (1-2 µg/ml)
      Immunoblotting (1-2 µg/ml)
      Immunofluorescence (0.5 µg/ml)
      Immunoprecipitation (2 µg/mg lysate)
      Paraffin Sections (1-2 µg/ml)
      Application Data
      Detection of human p53 by staining paraffin sections. Sample: Human colon carcinoma fixed in formalin and paraffin-embedded. Primary antibody: Anti-p53 (Ab-12) (Pantropic) Mouse mAb (DO-7) (Cat. No. OP140) (1 µg/ml) Detection: DAB.

      Detection of human p53 by immunoblotting. Sample: Human p53. Primary antibody: Anti-p53 (Ab-12) (Pantropic) Mouse mAb (DO-7) (Cat. No. OP140) (1 µg/ml). Detection: chemiluminescence.
      DescriptionPurified mouse monoclonal antibody generated by immunizing BALB/c mice with the specified immunogen. Recognizes the ~53 kDa wild-type and mutant forms of p53.
      BackgroundThe human p53 tumor suppressor gene encodes a 393 amino acid phosphoprotein that exhibits sequence-specific DNA binding and directly interacts with various cellular and viral proteins. p53 is the most commonly mutated gene in human cancer, with the majority of the mutations being amino acid substitutions. The normal function of p53 is to effect cell cycle arrest at the G1 and G2 checkpoints in response to DNA damage. This checkpoint function is executed by accumulation of p53 followed by induction of the GADD45, WAF1, and MDM2 genes. The current model of p53 function postulates that p53 senses DNA damage and arrests the cell cycle in either the G1 or G2 phases to allow DNA repair to take place. If repair is not successful, p53 initiates programmed cell death, thus preventing the propagation of genetic defects to successive generations of cells. Cat. No. OP140 recognizes a 53 kDa phosphoprotein. The antibody binds to both mutant and wild-type p53.
      HostMouse
      Immunogen speciesHuman
      Immunogenrecombinant, human p53 expressed in E. coli
      Epitopewithin amino acids 37-45 of p53
      CloneDO-7
      IsotypeIgG2b
      Speciesbovine, human, monkey
      Positive controlSKBR-3 or MDA-231 cells or colon carcinoma tissue
      FormLiquid
      FormulationIn 10 mM PBS, pH 7.4.
      Concentration Label Please refer to vial label for lot-specific concentration
      PreservativeNone
      CommentsExhibits nuclear staining in tumor cells. Antibody should be titrated for optimal results in individual systems.
      Storage Avoid freeze/thaw
      -20°C
      Do Not Freeze Ok to freeze
      Special InstructionsFollowing initial thaw, aliquot and freeze (-20°C).
      Toxicity Standard Handling
      ReferencesGreenblatt, M.S., et al. 1994. Cancer Res. 54, 4855.
      Lane, D.P. 1992. Nature 358, 15.