03-113 Sigma-AldrichRIPAb+ p54nrb/NonO - RIP Validated Antibody and Primer Set
Each RIPAb+ antibody set includes a negative control antibody to ensure specificity of the RIP reaction & is verified for the co-IP of RNA associated specifically with the immunoprecipitated RNA binding protein of interest.
More>> Each RIPAb+ antibody set includes a negative control antibody to ensure specificity of the RIP reaction & is verified for the co-IP of RNA associated specifically with the immunoprecipitated RNA binding protein of interest. Less<<Recommended Products
Overview
| Replacement Information |
|---|
Key Spec Table
| Species Reactivity | Key Applications |
|---|---|
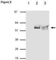
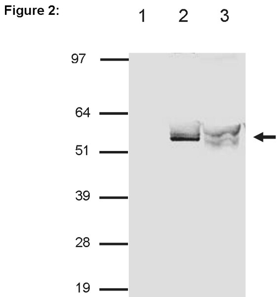
| H, R | RIP, IP, WB, IHC |
| References |
|---|
| Product Information | |
|---|---|
| Format | Purified |
| Control |
|
| Presentation | Anti-p54nrb/NonO (Mouse Monoclonal IgG). One vial containing 50 µg of protein G purified mouse monoclonal IgG in 50 µL of buffer containing (0.1 M Tris-glycine, 0.15 M NaCl, pH 7.4, 0.05% sodium azide) and 30% glycerol. Store at -20°C. Normal Mouse IgG. One vial containing 125 μg purified mouse IgG in 125 μL storage buffer containing 0.1% sodium azide. Store at -20°C. RIP Primers, FOS. One vial containing 75 μL of 5 μM of each primer specific for human FOS. Store at -20°C. FOR: GAG AGC TGG TAG TTA GTA GCA TGT TGA REV: AAT TCC AAT AAT GAA CCC AAT AGA TTA GTT A |
| Quality Segment | MQ100 |
| Physicochemical Information |
|---|
| Dimensions |
|---|
| Materials Information |
|---|
| Toxicological Information |
|---|
| Safety Information according to GHS |
|---|
| Safety Information |
|---|
| Packaging Information | |
|---|---|
| Material Size | 10 assays |
| Material Package | 10 assays per set. Recommended use: ~5 μg of antibody per RIP (dependent upon biological context). |
| Transport Information |
|---|
| Supplemental Information |
|---|
| Specifications |
|---|
| Global Trade ITEM Number | |
|---|---|
| Catalogue Number | GTIN |
| 03-113 | 04053252679759 |
Documentation
RIPAb+ p54nrb/NonO - RIP Validated Antibody and Primer Set SDS
| Title |
|---|
RIPAb+ p54nrb/NonO - RIP Validated Antibody and Primer Set Certificates of Analysis
| Title | Lot Number |
|---|---|
| RIPAb+ p54nrb/NonO - 3388258 | 3388258 |
| RIPAb+ p54nrb/NonO - 2073076 | 2073076 |
| RIPAb+ p54nrb/NonO - 2325711 | 2325711 |
| RIPAb+ p54nrb/NonO - 2490680 | 2490680 |
| RIPAb+ p54nrb/NonO - 3170443 | 3170443 |
| RIPAb+ p54nrb/NonO - NG1817563 | NG1817563 |
| RIPAb+ p54nrb/NonO - NRG1746142 | NRG1746142 |
| RIPAb+ p54nrb/NonO Monoclonal Antibody/Primer Set | 2881619 |



