Millipore Sigma Vibrant Logo

PC420 Anti-Capsaicin Receptor (Ab-1) (824-838) Rabbit pAb

View Products on Sigmaaldrich.com
PC420
  
Retrieving price...
Price could not be retrieved
Minimum Quantity is a multiple of
Maximum Quantity is
Upon Order Completion More Information
You Saved ()
 
Request Pricing
Limited Availability
Limited Availability
In Stock 
Discontinued
Limited Quantities Available
Availability to be confirmed
    Remaining : Will advise
      Remaining : Will advise
      Will advise
      Contact Customer Service
      Contact Customer Service

       

      Contact Customer Service

      Overview

      Replacement Information

      Key Spec Table

      Species ReactivityHostAntibody Type
      M, RRbPolyclonal Antibody
      Description
      OverviewRecognizes the ~100 kDa capsaicin receptor protein in mouse spinal cord extract.
      Catalogue NumberPC420
      Brand Family Calbiochem®
      SynonymsAnti-Vanilloid Receptor
      Application Data
      Detection of mouse capsaicin receptor by staining frozen sections. Sample: Mouse spinal cord dorsal horn. Primary antibody: Anti-Capsaicin Receptor (Ab-1) (824-838) Rabbit pAb (Cat. No. PC420) (5 μg/ml, panel B or 10 µg/ml, panel C) and normal rabbit IgG (5 µg/ml, panel A). Detection: DAB.

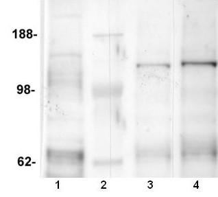
      Detection of mouse capsaicin receptor by immunoblotting. Sample: Whole tissue extract 60 µg) from mouse spinal cord (lanes 1,3,4; MWM, lane 2). Primary antibody: Anti-Capsaicin Receptor (Ab-1) (824-838) Rabbit pAb (Cat. No. PC420) (5 µg/ml, lane 3 or 10 µg/ml, lane 4) and Normal rabbit IgG (5 µg/ml, lane 1). Detection: chemiluminescence.
      References
      ReferencesCaterina, M.J., et al. 1999. Nature 398, 436.
      Gau, A., et al. 1999. Eur. J. Neurosci. 11, 946.
      Michael, G.J., and Priestley, J.V. 1999. J. Neurosci. 19, 1844.
      Caterina, M.J., et al. 1997. Nature 389, 816.
      Szallasi, A. 1994. Gen. Pharmacol. 25, 223.
      Beven, S., and Szolcsanyi, J. 1990. Trends Pharmacol. Sci. 11, 330.
      Fields, H.L. 1987. Pain (New York: McGraw-Hill).
      Product Information
      FormLiquid
      FormulationIn PBS.
      Positive controlMouse spinal cord dorsal horn
      Preservative≤0.1% sodium azide
      Quality SegmentMQ100
      Applications
      Application ReferencesFrozen Sections Schicho, R., et al. 2004. Eur. J. Neurosci. 19, 1811.
      Key Applications Frozen Sections
      Immunoblotting (Western Blotting)
      Immunofluorescence
      Paraffin Sections
      Application NotesFrozen Sections (5 µg/ml, see application references)
      Immunoblotting (5-10 µg/ml)
      Immunofluorescence (2 µg/ml)
      Paraffin Sections (5 µg/ml; no pre-treatment required)
      Application CommentsImmunohistochemistry was performed on mouse spinal cord sections fixed in 4% paraformaldehyde. Immunohistochemical staining results correlate well with other independent reports and in situ hybridization studies. Antibody should be titrated for optimal results in individual systems.
      Biological Information
      Immunogena synthetic peptide (EDAEVFKDSMVPGEK) corresponding to amino acids 824-838 of rat capsaicin receptor, conjugated to KLH
      ImmunogenRat
      HostRabbit
      IsotypeIgG
      Species Reactivity
      • Mouse
      • Rat
      Antibody TypePolyclonal Antibody
      Concentration Label Please refer to vial label for lot-specific concentration
      Physicochemical Information
      Dimensions
      Materials Information
      Toxicological Information
      Safety Information according to GHS
      Safety Information
      Product Usage Statements
      Storage and Shipping Information
      Ship Code Dry Ice Only
      Toxicity Standard Handling
      Storage -20°C
      Avoid freeze/thaw Avoid freeze/thaw
      Do not freeze Ok to freeze
      Special InstructionsFollowing initial thaw, aliquot and freeze (-20°C).
      Packaging Information
      Transport Information
      Supplemental Information
      Specifications
      Global Trade ITEM Number
      Catalogue Number GTIN
      PC420 0

      Documentation

      Anti-Capsaicin Receptor (Ab-1) (824-838) Rabbit pAb SDS

      Title

      Safety Data Sheet (SDS) 

      Anti-Capsaicin Receptor (Ab-1) (824-838) Rabbit pAb Certificates of Analysis

      TitleLot Number
      PC420

      References

      Reference overview
      Caterina, M.J., et al. 1999. Nature 398, 436.
      Gau, A., et al. 1999. Eur. J. Neurosci. 11, 946.
      Michael, G.J., and Priestley, J.V. 1999. J. Neurosci. 19, 1844.
      Caterina, M.J., et al. 1997. Nature 389, 816.
      Szallasi, A. 1994. Gen. Pharmacol. 25, 223.
      Beven, S., and Szolcsanyi, J. 1990. Trends Pharmacol. Sci. 11, 330.
      Fields, H.L. 1987. Pain (New York: McGraw-Hill).

      Citations

      Title
    • S. Tamura, Y. Morikawa and E. Senba. (2005) TRPV2, a capsaicin receptor homologue, is expressed predominantly in the neurotrophin-3-dependent subpopulation of primary sensory neurons. Neuroscience 130, 223-228.
    • Yi Dai, et al. (2004) Proteinase-activated receptor 2-mediated potentiation of transient receptor potential vanilloid subfamily 1 activity reveals a mechanism for proteinase-induced inflammatory pain. Journal of Neuroscience 24, 4293-4299.
    • Rudolf Schicho, et al. (2004) Increased Expression of TRPV1 Receptor in Dorsal Root Ganglia by Acid Insult of the Rat Gastric Mucosa. European Journal of Neuroscience 19, 1811-1818.
    • Data Sheet

      Note that this data sheet is not lot-specific and is representative of the current specifications for this product. Please consult the vial label and the certificate of analysis for information on specific lots. Also note that shipping conditions may differ from storage conditions.

      Revision02-May-2008 JSW
      SynonymsAnti-Vanilloid Receptor
      ApplicationFrozen Sections (5 µg/ml, see application references)
      Immunoblotting (5-10 µg/ml)
      Immunofluorescence (2 µg/ml)
      Paraffin Sections (5 µg/ml; no pre-treatment required)
      Application Data
      Detection of mouse capsaicin receptor by staining frozen sections. Sample: Mouse spinal cord dorsal horn. Primary antibody: Anti-Capsaicin Receptor (Ab-1) (824-838) Rabbit pAb (Cat. No. PC420) (5 μg/ml, panel B or 10 µg/ml, panel C) and normal rabbit IgG (5 µg/ml, panel A). Detection: DAB.

      Detection of mouse capsaicin receptor by immunoblotting. Sample: Whole tissue extract 60 µg) from mouse spinal cord (lanes 1,3,4; MWM, lane 2). Primary antibody: Anti-Capsaicin Receptor (Ab-1) (824-838) Rabbit pAb (Cat. No. PC420) (5 µg/ml, lane 3 or 10 µg/ml, lane 4) and Normal rabbit IgG (5 µg/ml, lane 1). Detection: chemiluminescence.
      DescriptionProtein A purified rabbit polyclonal antibody. Recognizes the ~100 kDa capsaicin receptor protein.
      BackgroundThe detection of noxious stimuli (chemical, mechanical, or thermal), a process referred to as nociception, occurs predominantly at the peripheral terminals of primary afferent neurons. This information is ultimately transmitted to the central nervous system to evoke a perception of pain which initiates appropriate protective reflexes. Vanilloid-containing compounds which include capsaicin, the active ingredient in hot chilli peppers, selectively depolarize nociceptors to activate the "nociceptive" pathway. The receptor for capsaicin, vanilloid receptor 1 (VR1), has been identified as a nonselective cation channel that resembles members of the transient receptor potential (TRP) family of ion channels. The vanilloid receptor 1 protein functions both as a receptor for capsaicin and a transducter of noxious thermal stimuli. Immunocytochemical and mRNA localization studies suggest that VR1 protein is localized to small-diameter sensory neurons within the dorsal root ganglia and nerve terminals in the dorsal horn. A capsaicin-receptor homolog has recently been identified, designated the vanilloid-receptor-like protein 1 (VRL-1). VRL-1 is activated by high temperatures and is expressed in medium- to large-diameter neurons within sensory ganglia.
      HostRabbit
      Immunogen speciesRat
      Immunogena synthetic peptide (EDAEVFKDSMVPGEK) corresponding to amino acids 824-838 of rat capsaicin receptor, conjugated to KLH
      IsotypeIgG
      Speciesmouse, rat
      Positive controlMouse spinal cord dorsal horn
      FormLiquid
      FormulationIn PBS.
      Concentration Label Please refer to vial label for lot-specific concentration
      Preservative≤0.1% sodium azide
      CommentsImmunohistochemistry was performed on mouse spinal cord sections fixed in 4% paraformaldehyde. Immunohistochemical staining results correlate well with other independent reports and in situ hybridization studies. Antibody should be titrated for optimal results in individual systems.
      Storage Avoid freeze/thaw
      -20°C
      Do Not Freeze Ok to freeze
      Special InstructionsFollowing initial thaw, aliquot and freeze (-20°C).
      Toxicity Standard Handling
      ReferencesCaterina, M.J., et al. 1999. Nature 398, 436.
      Gau, A., et al. 1999. Eur. J. Neurosci. 11, 946.
      Michael, G.J., and Priestley, J.V. 1999. J. Neurosci. 19, 1844.
      Caterina, M.J., et al. 1997. Nature 389, 816.
      Szallasi, A. 1994. Gen. Pharmacol. 25, 223.
      Beven, S., and Szolcsanyi, J. 1990. Trends Pharmacol. Sci. 11, 330.
      Fields, H.L. 1987. Pain (New York: McGraw-Hill).
      Citation
    • S. Tamura, Y. Morikawa and E. Senba. (2005) TRPV2, a capsaicin receptor homologue, is expressed predominantly in the neurotrophin-3-dependent subpopulation of primary sensory neurons. Neuroscience 130, 223-228.
    • Yi Dai, et al. (2004) Proteinase-activated receptor 2-mediated potentiation of transient receptor potential vanilloid subfamily 1 activity reveals a mechanism for proteinase-induced inflammatory pain. Journal of Neuroscience 24, 4293-4299.
    • Rudolf Schicho, et al. (2004) Increased Expression of TRPV1 Receptor in Dorsal Root Ganglia by Acid Insult of the Rat Gastric Mucosa. European Journal of Neuroscience 19, 1811-1818.
    • Application referencesFrozen Sections Schicho, R., et al. 2004. Eur. J. Neurosci. 19, 1811.