Millipore Sigma Vibrant Logo
Attention: We have moved. Merck Millipore products are no longer available for purchase on MerckMillipore.com.Learn More

MABN391 Anti-FIS1 Antibody, Clone 4D1.1

View Products on Sigmaaldrich.com
MABN391
100 µg  
Purchase on Sigma-Aldrich

Special Offers

Overview

Replacement Information

Key Spec Table

Species ReactivityKey ApplicationsHostFormatAntibody Type
H, RWB, IH(P)MPurifiedMonoclonal Antibody
Description
Catalogue NumberMABN391
DescriptionAnti-FIS1 Antibody, Clone 4D1.1
Alternate Names
  • FIS-1
  • FIS 1
  • FIS1 homolog
  • Mitochondrial fission 1 protein
  • hFis1
  • hFis-1hFis 1
  • Tetratricopeptide repeat protein 11
  • Short name=TPR repeat protein 11
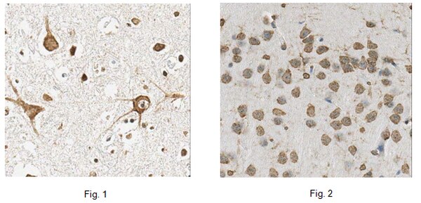
Background InformationFIS1 or TTC11, or FIS1 homolog (hFis1), or Tetratricopeptide repeat protein 11 (TPR repeat protein 11) or Mitochondrial fission 1 protein is an interesting member of mitochondrial essential proteins. FIS1 is encoded by the nuclear gene FIS1 and is a key player in mitochondrial dynamics. In eukaryotic cells, the shape of mitochondria can be tuned to various physiological conditions by a balance of fusion and fission processes termed mitochondrial dynamics. Mitochondrial dynamics control not only the morphology but also the function of mitochondria, and therefore is crucial in many aspects of a cell's life. Thus there is a dynamic balance between fission and fusion events that can promote health and normal cell growth or when dysfunctional mitochondrial dynamics have been implicated in a variety of human diseases including cancer. Human FIS1 a mitochondrial, outer membrane localized, adaptor protein that is critical to recruiting the cellular machinery needed for mitochondrial fission or fusion. FIS1 is inserted into the mitochondrial outer membrane via a C-terminal transmembrane domain that, along with a short basic segment, is essential for its targeting to the mitochondria. Overexpression of FIS1 in human cells causes mitochondrial fragmentation and aggregation. FIS1 interacts with the dynamin-related GTPase DLP1/DRP1, and along with other adaptor proteins such as MDV1, MFF, and MiD, the dynamin-related proteins form spirals around constricted sites on mitochondria and assist in the fission of it. In addition to mitochondria, FIS1 also mediates peroxisome fission via the interaction with DLP1 as well. EMD-Millipore’s Anti-FIS1 rabbit polyclonal antibody has been tested in western blot on HeLa cell extracts and in immunohistochemistry on human brain tissue sections.
References
Product Information
FormatPurified
PresentationPurified mouse monoclonal IgG2bκ in buffer containing 0.1 M Tris-Glycine (pH 7.4), 150 mM NaCl with 0.05% sodium azide.
Quality SegmentMQ100
Applications
ApplicationThis Anti-FIS1 Antibody, Clone 4D1.1 is validated for use in Western Blotting and Immunohistochemistry (Paraffin) for the detection of FIS1.
Key Applications
  • Western Blotting
  • Immunohistochemistry (Paraffin)
Application NotesImmunohistochemistry Analysis: A 1:250 dilution from a representative lot detected FIS1 in human and rat cerebral cortex tissue.
Biological Information
ImmunogenGST-tagged recombinant protein corresponding to Human FIS1.
Clone 4D1.1
ConcentrationPlease refer to lot specific datasheet.
HostMouse
IsotypeIgG2bκ
Species Reactivity
  • Human
  • Rat
Antibody TypeMonoclonal Antibody
Entrez Gene Number
Gene Symbol
  • TTC11
  • FIS1
  • CGI-135
Purification MethodProtein G Purified
UniProt Number
Molecular Weight~ 17 kDa observed
Physicochemical Information
Dimensions
Materials Information
Toxicological Information
Safety Information according to GHS
Safety Information
Product Usage Statements
Quality AssuranceEvaluated by Western Blotting in Raji cell lysate.

Western Blotting Analysis: A 1 µg/mL dilution of this antibody detected FIS1 in 10 µg of Raji cell lysate.
Usage Statement
  • Unless otherwise stated in our catalog or other company documentation accompanying the product(s), our products are intended for research use only and are not to be used for any other purpose, which includes but is not limited to, unauthorized commercial uses, in vitro diagnostic uses, ex vivo or in vivo therapeutic uses or any type of consumption or application to humans or animals.
Storage and Shipping Information
Storage ConditionsStable for 1 year at 2-8°C from date of receipt.
Packaging Information
Material Size100 µg
Transport Information
Supplemental Information
Specifications
Global Trade ITEM Number
Catalogue Number GTIN
MABN391 04055977073737