Millipore Sigma Vibrant Logo
Attention: We have moved. Merck Millipore products are no longer available for purchase on MerckMillipore.com.Learn More

ST1607 Anti-HERPUD1 Mouse mAb (2G7)

ST1607
  
Purchase on Sigma-Aldrich

Overview

Replacement Information

Key Spec Table

Host
M
Description
Overview

This product has been discontinued.





Recognizes the ~50 kDa HERPUD1 protein in HepG2 cells and human tonsil tissue.
Catalogue NumberST1607
Brand Family Calbiochem®
SynonymsAnti-Homocysteine-Inducible Endoplasmic Reticulum Stress-Inducible Ubiquitin-Like Domain 1
Application Data
Detection of human HERPUD1 by immunoblotting. Sample: Whole cell lysate from HepG2 cells. Primary antibody: Anti-HERPUD1 Mouse mAb (2G7) (Cat. No. ST1607) (1-5 µg/ml). Detection: chemiluminescence.

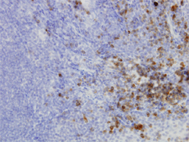
Detection of human HERPUD1 by staining paraffin sections. Sample: Formalin-fixed, paraffin-embedded human tonsil. Primary antibody: Anti-HERPUD1 Mouse mAb (2G7) (Cat. No. ST1607) (3 µg/ml). Detection: colorimetric (DAB).
References
ReferencesLass, A., et al. 2008. Int. J. Biochem. Cell Biol. 40, 2865.
Product Information
FormLiquid
FormulationIn PBS, pH 7.2.
Negative control293T cells
Positive controlHepG2 cells, Human tonsil tissue
PreservativeNone
Applications
Key Applications Enzyme-Linked Immunosorbent Assay
Immunoblotting (Western Blotting)
Paraffin Sections
Application NotesELISA (see comments)
Immunoblotting (1-5 µg/ml)
Paraffin Sections (3 µg/ml)
Application CommentsFor ELISA, this antibody can be used as the capture antibody; recommended concentration is 10 ng/ml, 1 µg/well, 100 µl total volume. Variables associated with assay conditions will dictate the proper working dilution.
Biological Information
ImmunogenA recombinant polypeptide corresponding to amino acids 74-181 of human HERPUD1, expressed as a GST fusion protein
Clone2G7
HostMouse
IsotypeIgG2a
Physicochemical Information
Dimensions
Materials Information
Toxicological Information
Safety Information according to GHS
Safety Information
Product Usage Statements
Storage and Shipping Information
Ship Code Blue Ice Only
Toxicity Regulatory Review
Storage -20°C
Avoid freeze/thaw Avoid freeze/thaw
Do not freeze Ok to freeze
Special InstructionsFollowing initial thaw, aliquot and freeze (-20°C).
Packaging Information
Transport Information
Supplemental Information
Specifications
Global Trade ITEM Number
Catalogue Number GTIN
ST1607 0

Documentation

References

Reference overview
Lass, A., et al. 2008. Int. J. Biochem. Cell Biol. 40, 2865.
Data Sheet

Note that this data sheet is not lot-specific and is representative of the current specifications for this product. Please consult the vial label and the certificate of analysis for information on specific lots. Also note that shipping conditions may differ from storage conditions.

Revision09-November-2010 RFH
SynonymsAnti-Homocysteine-Inducible Endoplasmic Reticulum Stress-Inducible Ubiquitin-Like Domain 1
ApplicationELISA (see comments)
Immunoblotting (1-5 µg/ml)
Paraffin Sections (3 µg/ml)
Application Data
Detection of human HERPUD1 by immunoblotting. Sample: Whole cell lysate from HepG2 cells. Primary antibody: Anti-HERPUD1 Mouse mAb (2G7) (Cat. No. ST1607) (1-5 µg/ml). Detection: chemiluminescence.

Detection of human HERPUD1 by staining paraffin sections. Sample: Formalin-fixed, paraffin-embedded human tonsil. Primary antibody: Anti-HERPUD1 Mouse mAb (2G7) (Cat. No. ST1607) (3 µg/ml). Detection: colorimetric (DAB).
DescriptionPurified mouse monoclonal antibody. Recognizes the ~50 kDa HERPUD1 protein.
BackgroundThe accumulation of unfolded proteins in the endoplasmic reticulum (ER) triggers the ER stress response. This response includes the inhibition of translation to prevent further accumulation of unfolded proteins, the increased expression of proteins involved in polypeptide folding, known as the unfolded protein response (UPR), and the destruction of misfolded proteins by the ER-associated protein degradation (ERAD) system. This gene may play a role in both UPR and ERAD. Its expression is induced by UPR and it has an ER stress response element in its promoter region while the encoded protein has an N-terminal ubiquitin-like domain which may interact with the ERAD system. This protein has been shown to interact with presenilin proteins and to increase the level of amyloid-β protein following its overexpression. Alternative splicing of this gene produces multiple transcript variants, some encoding different isoforms. The full-length nature of all transcript variants has not been determined.
HostMouse
ImmunogenA recombinant polypeptide corresponding to amino acids 74-181 of human HERPUD1, expressed as a GST fusion protein
Clone2G7
IsotypeIgG2a
Specieshuman
Positive controlHepG2 cells, Human tonsil tissue
Negative control293T cells
FormLiquid
FormulationIn PBS, pH 7.2.
PreservativeNone
CommentsFor ELISA, this antibody can be used as the capture antibody; recommended concentration is 10 ng/ml, 1 µg/well, 100 µl total volume. Variables associated with assay conditions will dictate the proper working dilution.
Storage Avoid freeze/thaw
-20°C
Do Not Freeze Ok to freeze
Special InstructionsFollowing initial thaw, aliquot and freeze (-20°C).
Toxicity Regulatory Review
ReferencesLass, A., et al. 2008. Int. J. Biochem. Cell Biol. 40, 2865.