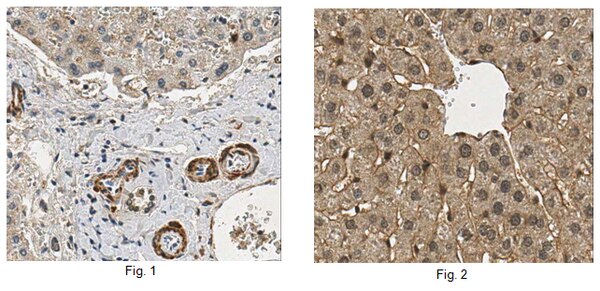
A variant upstream of IFNL3 (IL28B) creating a new interferon gene IFNL4 is associated with impaired clearance of hepatitis C virus. Prokunina-Olsson, Ludmila, et al. Nat. Genet., 45: 164-71 (2013)
2013
Show Abstract
Chronic infection with hepatitis C virus (HCV) is a common cause of liver cirrhosis and cancer. We performed RNA sequencing in primary human hepatocytes activated with synthetic double-stranded RNA to mimic HCV infection. Upstream of IFNL3 (IL28B) on chromosome 19q13.13, we discovered a new transiently induced region that harbors a dinucleotide variant ss469415590 (TT or ΔG), which is in high linkage disequilibrium with rs12979860, a genetic marker strongly associated with HCV clearance. ss469415590[ΔG] is a frameshift variant that creates a novel gene, designated IFNL4, encoding the interferon-λ4 protein (IFNL4), which is moderately similar to IFNL3. Compared to rs12979860, ss469415590 is more strongly associated with HCV clearance in individuals of African ancestry, although it provides comparable information in Europeans and Asians. Transient overexpression of IFNL4 in a hepatoma cell line induced STAT1 and STAT2 phosphorylation and the expression of interferon-stimulated genes. Our findings provide new insights into the genetic regulation of HCV clearance and its clinical management. | 23291588
 |