MABN2729-100UG Sigma-AldrichAnti-Islet-1 homeobox Antibody, clone 40.2D6
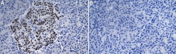
Anti-Islet-1 homeobox, clone 40.2D6, Cat. No. MABN2729, is a mouse monoclonal antibody that detects Islet-1 homeobox and is tested in ChIP, EMSA, Flow Cytometry, Immunofluorescence, Immunohistochemistry, Immunoprecipitation, Immunocytochemistry, and Western Blotting.
More>> Anti-Islet-1 homeobox, clone 40.2D6, Cat. No. MABN2729, is a mouse monoclonal antibody that detects Islet-1 homeobox and is tested in ChIP, EMSA, Flow Cytometry, Immunofluorescence, Immunohistochemistry, Immunoprecipitation, Immunocytochemistry, and Western Blotting. Less<<Recommended Products
Overview
| Replacement Information |
|---|
| References |
|---|
| Product Information | |
|---|---|
| Format | Purified |
| Presentation | Purified mouse monoclonal antibody IgG1 in buffer containing 0.1 M Tris-Glycine (pH 7.4), 150 mM NaCl with 0.05% sodium azide. |
| Quality Segment | MQ200 |
| Physicochemical Information |
|---|
| Dimensions |
|---|
| Materials Information |
|---|
| Toxicological Information |
|---|
| Safety Information according to GHS |
|---|
| Safety Information |
|---|
| Storage and Shipping Information | |
|---|---|
| Storage Conditions | Recommended storage: +2°C to +8°C. |
| Packaging Information | |
|---|---|
| Material Size | 100 μg |
| Transport Information |
|---|
| Supplemental Information |
|---|
| Specifications |
|---|
| Global Trade ITEM Number | |
|---|---|
| Catalogue Number | GTIN |
| MABN2729-100UG | 04065270845382 |
Documentation
Anti-Islet-1 homeobox Antibody, clone 40.2D6 SDS
| Title |
|---|
Anti-Islet-1 homeobox Antibody, clone 40.2D6 Certificates of Analysis
| Title | Lot Number |
|---|---|
| Anti-Islet-1 homeobox, clone 40.2D6 - Q4096412 | Q4096412 |



