Millipore Sigma Vibrant Logo
Atención: Nos hemos mudado. Los productos Merck Millipore ya no pueden adquirirse en MerckMillipore.comMás información

CP63 Anti-EpCAM (Ab-1) Mouse mAb (1Dg.F3)

CP63
  
Purchase on Sigma-Aldrich

Descripción

Replacement Information

Tabla espec. clave

Host
M
Description
Overview

This product has been discontinued.





Recognizes the ~40 kDa EpCAM protein.
Catalogue NumberCP63
Brand Family Calbiochem®
SynonymsAnti-Epithelial Cell Adhesion Molecule
Application Data
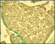
Detection of human EpCAM by staining paraffin sections. Sample: Human breast carcinoma. Primary antibody: Anti-EpCAM (Ab-1) Mouse mAb (1Dg.F3) (Cat. No. CP63) (2.5 μg/ml). Detection: DAB
References
ReferencesPiyathilake, C. J., et al. 2000. Hum. Pathol. 31, 482.
Ruck, P., et al. 2000. J. Pathol. 191, 102.
Balzar, M., et al. 1999. J. Mol. Med. 77, 699.
De Boer, C. J., et al. 1999. J Pathol. 188, 201.
Poczatek, R. B., et al. 1999. J. Urol. 162, 1462.
Zhong, X. Y., et al. 1999. Arch. Gynecol. Obstet. 263, 2.
Litvinov, S. V., et al. 1994. J. Cell Biol. 125, 437.
Product Information
FormLiquid
FormulationIn 0.05 M sodium phosphate buffer, 50 % glycerol.
Negative controlNormal mouse IgG
Positive controlBreast carcinoma tissue
PreservativeNone
Applications
Key Applications Not Western Blot
Not Immunofluorescence
Not Immunoprecipitation
Paraffin Sections
Application NotesImmunoblotting (not recommended)
Immunofluorescence (not recommended)
Immunoprecipitation (not recommended)
Paraffin Sections (2.5 μg/ml, heat pre-treatment required)
Application CommentsAntibody should be titrated for optimal results in individual systems.
Biological Information
Immunogennative, human EpCAM
ImmunogenHuman
Clone1Dg.F3
HostMouse
IsotypeIgG₁
Physicochemical Information
Dimensions
Materials Information
Toxicological Information
Safety Information according to GHS
Safety Information
Product Usage Statements
Storage and Shipping Information
Ship Code Dry Ice Only
Toxicity Standard Handling
Storage -20°C
Avoid freeze/thaw Avoid freeze/thaw
Do not freeze Ok to freeze
Packaging Information
Transport Information
Supplemental Information
Specifications
Global Trade ITEM Number
Número de referencia GTIN
CP63 0

Documentation

Anti-EpCAM (Ab-1) Mouse mAb (1Dg.F3) Ficha datos de seguridad (MSDS)

Título

Ficha técnica de seguridad del material (MSDS) 

Anti-EpCAM (Ab-1) Mouse mAb (1Dg.F3) Certificados de análisis

CargoNúmero de lote
CP63

Referencias bibliográficas

Visión general referencias
Piyathilake, C. J., et al. 2000. Hum. Pathol. 31, 482.
Ruck, P., et al. 2000. J. Pathol. 191, 102.
Balzar, M., et al. 1999. J. Mol. Med. 77, 699.
De Boer, C. J., et al. 1999. J Pathol. 188, 201.
Poczatek, R. B., et al. 1999. J. Urol. 162, 1462.
Zhong, X. Y., et al. 1999. Arch. Gynecol. Obstet. 263, 2.
Litvinov, S. V., et al. 1994. J. Cell Biol. 125, 437.
Ficha técnica

Note that this data sheet is not lot-specific and is representative of the current specifications for this product. Please consult the vial label and the certificate of analysis for information on specific lots. Also note that shipping conditions may differ from storage conditions.

Revision22-August-2007 RFH
SynonymsAnti-Epithelial Cell Adhesion Molecule
ApplicationImmunoblotting (not recommended)
Immunofluorescence (not recommended)
Immunoprecipitation (not recommended)
Paraffin Sections (2.5 μg/ml, heat pre-treatment required)
Application Data
Detection of human EpCAM by staining paraffin sections. Sample: Human breast carcinoma. Primary antibody: Anti-EpCAM (Ab-1) Mouse mAb (1Dg.F3) (Cat. No. CP63) (2.5 μg/ml). Detection: DAB
DescriptionPurified mouse monoclonal antibody generated by immunizing Balb/c mice with the specified immunogen and fusing splenocytes with NS-1 mouse myeloma cells. Recognizes the ~40 kDa EpCAM (Epithelial Cell Adhesion Molecule) protein.
BackgroundEpCAM (epithelial cell adhesion molecule, GA733, CO17-1A, KSI-4, KSA, EGP, Trop-1) is an approximately 40 kDa integral membrane glycoprotein that is expressed on the baso-lateral cell surface in most human simple epithelia and in the vast majority of carcinomas. EpCAM functions to mediate Ca2+ independent homotypic cell-cell adhesion through interaction of its cytoplasmic tail with the actin cytoskeleton via α-actinin. EpCAM has been widely used to classify many different tumor types including but not restricted to LSCC, hepatic tumors, breast carcinoma, and prostatic tumors.
HostMouse
Immunogen speciesHuman
Immunogennative, human EpCAM
Clone1Dg.F3
IsotypeIgG₁
Specieshuman, not mouse, not rat
Positive controlBreast carcinoma tissue
Negative controlNormal mouse IgG
FormLiquid
FormulationIn 0.05 M sodium phosphate buffer, 50 % glycerol.
PreservativeNone
CommentsAntibody should be titrated for optimal results in individual systems.
Storage Avoid freeze/thaw
-20°C
Do Not Freeze Ok to freeze
Toxicity Standard Handling
ReferencesPiyathilake, C. J., et al. 2000. Hum. Pathol. 31, 482.
Ruck, P., et al. 2000. J. Pathol. 191, 102.
Balzar, M., et al. 1999. J. Mol. Med. 77, 699.
De Boer, C. J., et al. 1999. J Pathol. 188, 201.
Poczatek, R. B., et al. 1999. J. Urol. 162, 1462.
Zhong, X. Y., et al. 1999. Arch. Gynecol. Obstet. 263, 2.
Litvinov, S. V., et al. 1994. J. Cell Biol. 125, 437.