Millipore Sigma Vibrant Logo
Atención: Nos hemos mudado. Los productos Merck Millipore ya no pueden adquirirse en MerckMillipore.comMás información

ST1517 Anti-PIP5K3 Mouse mAb (6C7)

Descripción

Replacement Information

Tabla espec. clave

Species ReactivityHostAntibody Type
HMMonoclonal Antibody

Products

Número de referenciaEmbalaje Cant./Env.
ST1517-100UG 100 μg
Description
OverviewRecognizes the ~60 kDa PIP5K3 protein in human testes tissue and HeLa cells.
Catalogue NumberST1517
Brand Family Calbiochem®
SynonymsAnti-Phosphatidylinosi-3-Phosphate-Phosphatidylinosi-5-Kinase Type 3
Application Data
Detection of human PIP5K3 by immunoblotting. Sample: Whole cell lysate from 293T cells transfected with full-length human PIP5K3 (lane 1) and from non-transfected 293T cells (lane 2). Primary antibody: Anti-PIP5K3 Mouse mAb (6C7) (Cat. No. ST1517) (1-5 µg/ml). Detection: chemiluminescence.

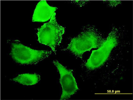
Detection of human PIP5K3 by immunoblotting. Sample: HeLa cells fixed in paraformaldehyde. Primary antibody: Anti-PIP5K3 Mouse mAb (6C7) (Cat. No. ST1517) (10 µg/ml). Detection: fluorescence.

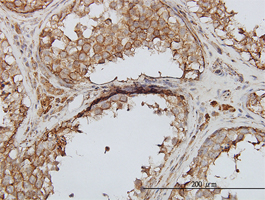
Detection of human PIP5K3 by staining paraffin sections. Sample: Formalin-fixed, paraffin-embedded human testes tissue. Primary antibody: Anti-PIP5K3 Mouse mAb (6C7) (Cat. No. ST1517) (1-5 µg/ml). Detection: colorimetric (DAB).
References
ReferencesTsuruta, F., et al. 2009. J. Cell Biol. 187 279.
Product Information
Formliquid
FormulationIn PBS, pH 7.2.
Negative control293T cells
Positive controlHuman testes tissue, HeLa cells
PreservativeNone
Quality SegmentMQ100
Applications
Key Applications Enzyme-Linked Immunosorbent Assay
Immunoblotting (Western Blotting)
Immunocytochemistry
Paraffin Sections
Application NotesELISA (see comments)
Immunoblotting (1-5 µg/ml)
Immunocytochemistry (10 µg/ml)
Paraffin Sections (3 µg/ml)
Application CommentsFor ELISA, this antibody can be used as the capture antibody; recommended concentration is 10 ng/ml, 1 µg/well, 100 µl total volume. Variables associated with assay conditions will dictate the proper working dilution.
Biological Information
ImmunogenA recombinant polypeptide corresponding to amino acids 342-452 of human PIP5K3, expressed as a GST fusion protein
ImmunogenHuman
Clone6C7
HostMouse
IsotypeIgG2a
Species Reactivity
  • Human
Antibody TypeMonoclonal Antibody
Physicochemical Information
Dimensions
Materials Information
Toxicological Information
Safety Information according to GHS
Safety Information
Product Usage Statements
Storage and Shipping Information
Ship Code Blue Ice Only
Toxicity Regulatory Review
Storage -20°C
Avoid freeze/thaw Avoid freeze/thaw
Do not freeze Ok to freeze
Special InstructionsFollowing initial thaw, aliquot and freeze (-20°C).
Packaging Information
Transport Information
Supplemental Information
Specifications
Global Trade ITEM Number
Número de referencia GTIN
ST1517-100UG 04055977224184

Documentation

Anti-PIP5K3 Mouse mAb (6C7) Ficha datos de seguridad (MSDS)

Título

Ficha técnica de seguridad del material (MSDS) 

Referencias bibliográficas

Visión general referencias
Tsuruta, F., et al. 2009. J. Cell Biol. 187 279.
Ficha técnica

Note that this data sheet is not lot-specific and is representative of the current specifications for this product. Please consult the vial label and the certificate of analysis for information on specific lots. Also note that shipping conditions may differ from storage conditions.

Revision05-November-2010 RFH
SynonymsAnti-Phosphatidylinosi-3-Phosphate-Phosphatidylinosi-5-Kinase Type 3
ApplicationELISA (see comments)
Immunoblotting (1-5 µg/ml)
Immunocytochemistry (10 µg/ml)
Paraffin Sections (3 µg/ml)
Application Data
Detection of human PIP5K3 by immunoblotting. Sample: Whole cell lysate from 293T cells transfected with full-length human PIP5K3 (lane 1) and from non-transfected 293T cells (lane 2). Primary antibody: Anti-PIP5K3 Mouse mAb (6C7) (Cat. No. ST1517) (1-5 µg/ml). Detection: chemiluminescence.

Detection of human PIP5K3 by immunoblotting. Sample: HeLa cells fixed in paraformaldehyde. Primary antibody: Anti-PIP5K3 Mouse mAb (6C7) (Cat. No. ST1517) (10 µg/ml). Detection: fluorescence.

Detection of human PIP5K3 by staining paraffin sections. Sample: Formalin-fixed, paraffin-embedded human testes tissue. Primary antibody: Anti-PIP5K3 Mouse mAb (6C7) (Cat. No. ST1517) (1-5 µg/ml). Detection: colorimetric (DAB).
DescriptionPurified mouse monoclonal antibody. Recognizes the ~60 kDa PIP5K3 protein.
BackgroundPIP5K3 belongs to a large family of lipid kinases that alter the phosphorylation status of intracellular phosphatidylinositol. Signaling by phosphorylated species of phosphatidylinositol regulates diverse cellular processes, including membrane trafficking and cytoskeletal reorganization.
HostMouse
Immunogen speciesHuman
ImmunogenA recombinant polypeptide corresponding to amino acids 342-452 of human PIP5K3, expressed as a GST fusion protein
Clone6C7
IsotypeIgG2a
Specieshuman
Positive controlHuman testes tissue, HeLa cells
Negative control293T cells
Formliquid
FormulationIn PBS, pH 7.2.
PreservativeNone
CommentsFor ELISA, this antibody can be used as the capture antibody; recommended concentration is 10 ng/ml, 1 µg/well, 100 µl total volume. Variables associated with assay conditions will dictate the proper working dilution.
Storage Avoid freeze/thaw
-20°C
Do Not Freeze Ok to freeze
Special InstructionsFollowing initial thaw, aliquot and freeze (-20°C).
Toxicity Regulatory Review
ReferencesTsuruta, F., et al. 2009. J. Cell Biol. 187 279.