Si cierra, no se guardará su personalización salvo que haya añadido el artículo a su carrito de la compra o a favoritos.
Pulse OK para cerrar la herramienta MILLIPLEX® MAP o Cancelar para volver a su selección.
Elija paneles personalizables y kits premezclos - O - MAPmates™ de señalización celular
Diseñe y calcule el precio de sus kits MILLIPLEX® MAP.
Paneles personalizados y kits premezclados
Nuestra amplia cartera de productos consta de paneles multiplex que le permiten elegir, dentro del panel, los analitos que mejor se ajustan a sus requisitos. En una pestaña distinta puede elegir el formato de citocina premezclada o un kit single plex.
Kits de señalización celular y MAPmates™
Elija los kits preparados para poder explorar las vías o los procesos enteros. O diseñe sus propios kits eligiendo single plex MAPmates™ según las directrices proporcionadas.
No deben combinarse los siguientes MAPmates™: -MAPmates™ que requieren un tampón de ensayo diferente. -Pares MAPmate™ fosfoespecíficos y totales, por ejemplo, GSK3β y GSK3β (Ser 9). -MAPmates™ con panTyr y específicos de sitio; por ejemplo, receptor del fosfo-EGF y fosfo-STAT1 (Tyr701). -Más de 1 fosfo-MAPmate™ para una sola diana (Akt, STAT3). -La GAPDH y la β-tubulina no pueden combinarse con kits o MAPmates™ que contengan panTyr.
.
Número de referencia
Descripción para pedidos
Cant./Env.
Lista
Este artículo se ha añadido a favoritos.
Seleccione una especie, un tipo de panel, un kit o un tipo de muestra
Para empezar a diseñar su kit MILLIPLEX® MAP, seleccione una especie, un tipo de panel o un kit de interés.
Custom Premix Selecting "Custom Premix" option means that all of the beads you have chosen will be premixed in manufacturing before the kit is sent to you.
Catalogue Number
Ordering Description
Qty/Pack
List
Este artículo se ha añadido a favoritos.
Especie
Tipo de panel
Kit seleccionado
Cant.
Número de referencia
Descripción para pedidos
Cant./Env.
Precio de catálogo
96-Well Plate
Cant.
Número de referencia
Descripción para pedidos
Cant./Env.
Precio de catálogo
Añadir más reactivos (Se necesita tampón y un kit de detección para usar con MAPmates)
Cant.
Número de referencia
Descripción para pedidos
Cant./Env.
Precio de catálogo
48-602MAG
Buffer Detection Kit for Magnetic Beads
1 Kit
Opción para ahorrar espacio Los clientes que adquieran múltiples kits pueden optar por ahorrar espacio de almacenamiento retirando el embalaje del kit y recibiendo los componentes de sus ensayos multiplex en bolsas de plástico para un almacenamiento más compacto.
Este artículo se ha añadido a favoritos.
El producto se ha añadido a su carrito
Ahora puede personalizar otro kit, elegir un kit premezclado, tramitarlo o cerrar la herramienta de pedidos.
AP1159
Sigma-AldrichAnti-TNFRSF14 Mouse mAb (2G6-2C7)
This Anti-TNFRSF14 Mouse mAb (2G6-2C7) is validated for use in ELISA, Immunoblotting, Paraffin Sections for the detection of TNFRSF14.
More>>This Anti-TNFRSF14 Mouse mAb (2G6-2C7) is validated for use in ELISA, Immunoblotting, Paraffin Sections for the detection of TNFRSF14. Less<<
Anti-TNFRSF14 Mouse mAb (2G6-2C7): Ficha de datos de seguridad (MSDS o SDS), certificado de análisis y de calidad (CoA y CoQ), expedientes, folletos y otros documentos disponibles.
El campo de cantidad está vacío. Introduzca una cantidad de 1 o superior para añadir los artículos a su carrito.
Description
Overview
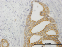
Recognizes the TNFRSF14 protein in human pancreatic cancer tissue.
Catalogue Number
AP1159
Brand Family
Calbiochem®
Synonyms
Anti-Tumor Necrosis Factor Receptor Super family 14
Application Data
Detection of human TNFRSF14 by immunoblotting. Sample: Whole cell lysate from 293T cells, transfected with full-length, recombinant, human TNFRSF14 (lane 1) and from non-transfected 293T cells (lane 2). Primary antibody: Anti-TNFRSF14 Mouse mAb (2G6-2C7) (Cat. No. AP1159) (1-5 µg/ml). Detection: Chemiluminescence. Detection of human TNFRSF14 by staining paraffin sections. Sample: Formalin-fixed, paraffin-embedded human pancreatic cancer tissue. Primary antibody: Anti-TNFRSF14 Mouse mAb (2G6-2C7) (Cat. No. AP1159) (1 µg/ml). Detection: coloritmetric (DAB).
ELISA (see comments) Immunoblotting (1-5 µg) Paraffin Sections (1 µg/ml)
Application Comments
For ELISA, this antibody can be used as the capture antibody; recommended concentration is 10 ng/ml, 1 µg/well, 100 µl total volume. Variables associated with assay conditions will dictate the proper working dilution.
Biological Information
Immunogen
Full-length, recombinant, human TNFRSF14 (aa 38-248), expressed as a GST fusion protein
Clone
2G6-2C7
Host
Mouse
Isotype
IgG₁
Species Reactivity
Human
Antibody Type
Monoclonal Antibody
Physicochemical Information
Dimensions
Materials Information
Toxicological Information
Safety Information according to GHS
Safety Information
Product Usage Statements
Storage and Shipping Information
Ship Code
Blue Ice Only
Toxicity
Regulatory Review
Storage
-20°C
Avoid freeze/thaw
Avoid freeze/thaw
Do not freeze
Ok to freeze
Special Instructions
Following initial thaw, aliquot and freeze (-20°C).
Packaging Information
Transport Information
Supplemental Information
Specifications
Global Trade ITEM Number
Número de referencia
GTIN
AP1159-100UG
04055977212655
Documentation
Anti-TNFRSF14 Mouse mAb (2G6-2C7) Ficha datos de seguridad (MSDS)
Note that this data sheet is not lot-specific and is representative of the current specifications for this product. Please consult the vial label and the certificate of analysis for information on specific lots. Also note that shipping conditions may differ from storage conditions.
Revision
19-October-2010 RFH
Synonyms
Anti-Tumor Necrosis Factor Receptor Super family 14
Application
ELISA (see comments) Immunoblotting (1-5 µg) Paraffin Sections (1 µg/ml)
Application Data
Detection of human TNFRSF14 by immunoblotting. Sample: Whole cell lysate from 293T cells, transfected with full-length, recombinant, human TNFRSF14 (lane 1) and from non-transfected 293T cells (lane 2). Primary antibody: Anti-TNFRSF14 Mouse mAb (2G6-2C7) (Cat. No. AP1159) (1-5 µg/ml). Detection: Chemiluminescence. Detection of human TNFRSF14 by staining paraffin sections. Sample: Formalin-fixed, paraffin-embedded human pancreatic cancer tissue. Primary antibody: Anti-TNFRSF14 Mouse mAb (2G6-2C7) (Cat. No. AP1159) (1 µg/ml). Detection: coloritmetric (DAB).
Description
Purified mouse monoclonal antibody. Recognizes the TNFRSF14 protein.
Background
TNFRSF14 is a member of the TNF-receptor superfamily. This receptor was identified as a cellular mediator of herpes simplex virus (HSV) entry. Binding of HSV viral envelope glycoprotein D (gD) to this receptor protein has been shown to be part of the viral entry mechanism. The cytoplasmic region of this receptor was found to bind to several TRAF family members, which may mediate the signal transduction pathways that activate the immune response.
Host
Mouse
Immunogen
Full-length, recombinant, human TNFRSF14 (aa 38-248), expressed as a GST fusion protein
Clone
2G6-2C7
Isotype
IgG₁
Species
human
Positive control
Human pancreatic cancer tissue
Negative control
293T cells
Form
Liquid
Formulation
In PBS, pH 7.2.
Preservative
None
Comments
For ELISA, this antibody can be used as the capture antibody; recommended concentration is 10 ng/ml, 1 µg/well, 100 µl total volume. Variables associated with assay conditions will dictate the proper working dilution.
Storage
Avoid freeze/thaw
-20°C
Do Not Freeze
Ok to freeze
Special Instructions
Following initial thaw, aliquot and freeze (-20°C).