Le fait de fermer ne sauvegardera pas votre configuration à moins que vous n'ajoutiez l'article à votre Panier d'achat ou à vos Favoris.
Cliquer sur OK pour fermer l'outil MILLIPLEX® MAP ou sur Annuler pour retourner à votre sélection.
Choisissez des Panels configurables & des Kits préconfigurés - OU - des MAPmate™ de signalisation cellulaire
Concevez vos kits MILLIPLEX® MAP et obtenez leur prix.
Panels configurables & Kits préconfigurés
Notre large gamme est constituée de panels multiplex qui vous permettent de choisir, au sein d'un panel, les analytes qui répondent le mieux à vos besoins. Sur un autre onglet, vous pouvez choisir un format cytokine préconfiguré ou un kit Simplex.
Kits de signalisation cellulaire & MAPmate™
Choisissez des kits préconfigurés qui permettent d'explorer l'ensemble des voies ou des processus. Ou concevez vos propres kits en choisissant des Simplex MAPmate™ et en suivant les instructions fournies.
Les MAPmate™ suivants ne peuvent pas être utilisés ensemble : -des MAPmate™ qui nécessitent des tampons différents -des paires de MAPmate™ totaux et phospho-spécifiques, par ex. GSK3β total et GSK3β (Ser 9) -des MAPmate™ PanTyr et spécifiques d'un site, par ex. Récepteur Phospho-EGF et phospho-STAT1 (Tyr701) -Plus d'un phospho-MAPmate™ pour une seule cible (Akt, STAT3). -GAPDH et β-Tubuline ne peuvent pas être utilisés avec les kits ou les MAPmate™ contenant panTyr.
.
Référence
Guide d'achat
Qté
Liste
Cet article a été ajouté à vos favoris.
Sélectionner une espèce, un type de panel, un kit ou un type d'échantillon
Pour commencer à concevoir votre kit MILLIPLEX® MAP, sélectionnez une espèce, un type de panel ou un kit d'intérêt.
Custom Premix Selecting "Custom Premix" option means that all of the beads you have chosen will be premixed in manufacturing before the kit is sent to you.
Catalogue Number
Ordering Description
Qty/Pack
List
Cet article a été ajouté à vos favoris.
Espèce
Type de panel
Kit sélectionné
Qté
Référence
Guide d'achat
Qté
Prix tarif
96-Well Plate
Qté
Référence
Guide d'achat
Qté
Prix tarif
Ajouter des réactifs supplémentaires (Un kit "Buffer and Detection Kit" est nécessaire pour une utilisation avec les MAPmate™)
Qté
Référence
Guide d'achat
Qté
Prix tarif
48-602MAG
Buffer Detection Kit for Magnetic Beads
1 Kit
Option de gain de place Nos clients qui commandent plusieurs kits peuvent choisir d'économiser de l'espace de stockage en éliminant l'emballage de chaque kit et de recevoir les composants de leur essai multiplex conditionnés sous poches en plastique pour un stockage plus compact.
Cet article a été ajouté à vos favoris.
Ce produit a été ajouté à votre panier.
Vous pouvez maintenant concevoir un autre kit personnalisé, choisir un kit pré-configuré, régler vos achats ou fermer l'outil de commande.
AP1159
Sigma-AldrichAnti-TNFRSF14 Mouse mAb (2G6-2C7)
This Anti-TNFRSF14 Mouse mAb (2G6-2C7) is validated for use in ELISA, Immunoblotting, Paraffin Sections for the detection of TNFRSF14.
More>>This Anti-TNFRSF14 Mouse mAb (2G6-2C7) is validated for use in ELISA, Immunoblotting, Paraffin Sections for the detection of TNFRSF14. Less<<
Anti-TNFRSF14 Mouse mAb (2G6-2C7) : FDS (Fiches de données de sécurité), certificats d’analyse (CoA) et de qualité (CoQ), dossiers, brochures et autres documents disponibles.
Le champ quantité est vide. Veuillez saisir une quantité supérieure ou égale à 1 au minimum pour ajouter des articles à votre panier.
Description
Overview
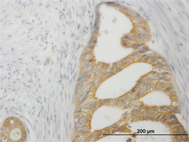
Recognizes the TNFRSF14 protein in human pancreatic cancer tissue.
Catalogue Number
AP1159
Brand Family
Calbiochem®
Synonyms
Anti-Tumor Necrosis Factor Receptor Super family 14
Application Data
Detection of human TNFRSF14 by immunoblotting. Sample: Whole cell lysate from 293T cells, transfected with full-length, recombinant, human TNFRSF14 (lane 1) and from non-transfected 293T cells (lane 2). Primary antibody: Anti-TNFRSF14 Mouse mAb (2G6-2C7) (Cat. No. AP1159) (1-5 µg/ml). Detection: Chemiluminescence. Detection of human TNFRSF14 by staining paraffin sections. Sample: Formalin-fixed, paraffin-embedded human pancreatic cancer tissue. Primary antibody: Anti-TNFRSF14 Mouse mAb (2G6-2C7) (Cat. No. AP1159) (1 µg/ml). Detection: coloritmetric (DAB).
ELISA (see comments) Immunoblotting (1-5 µg) Paraffin Sections (1 µg/ml)
Application Comments
For ELISA, this antibody can be used as the capture antibody; recommended concentration is 10 ng/ml, 1 µg/well, 100 µl total volume. Variables associated with assay conditions will dictate the proper working dilution.
Biological Information
Immunogen
Full-length, recombinant, human TNFRSF14 (aa 38-248), expressed as a GST fusion protein
Clone
2G6-2C7
Host
Mouse
Isotype
IgG₁
Species Reactivity
Human
Antibody Type
Monoclonal Antibody
Physicochemical Information
Dimensions
Materials Information
Toxicological Information
Safety Information according to GHS
Safety Information
Product Usage Statements
Storage and Shipping Information
Ship Code
Blue Ice Only
Toxicity
Regulatory Review
Storage
-20°C
Avoid freeze/thaw
Avoid freeze/thaw
Do not freeze
Ok to freeze
Special Instructions
Following initial thaw, aliquot and freeze (-20°C).
Note that this data sheet is not lot-specific and is representative of the current specifications for this product. Please consult the vial label and the certificate of analysis for information on specific lots. Also note that shipping conditions may differ from storage conditions.
Revision
19-October-2010 RFH
Synonyms
Anti-Tumor Necrosis Factor Receptor Super family 14
Application
ELISA (see comments) Immunoblotting (1-5 µg) Paraffin Sections (1 µg/ml)
Application Data
Detection of human TNFRSF14 by immunoblotting. Sample: Whole cell lysate from 293T cells, transfected with full-length, recombinant, human TNFRSF14 (lane 1) and from non-transfected 293T cells (lane 2). Primary antibody: Anti-TNFRSF14 Mouse mAb (2G6-2C7) (Cat. No. AP1159) (1-5 µg/ml). Detection: Chemiluminescence. Detection of human TNFRSF14 by staining paraffin sections. Sample: Formalin-fixed, paraffin-embedded human pancreatic cancer tissue. Primary antibody: Anti-TNFRSF14 Mouse mAb (2G6-2C7) (Cat. No. AP1159) (1 µg/ml). Detection: coloritmetric (DAB).
Description
Purified mouse monoclonal antibody. Recognizes the TNFRSF14 protein.
Background
TNFRSF14 is a member of the TNF-receptor superfamily. This receptor was identified as a cellular mediator of herpes simplex virus (HSV) entry. Binding of HSV viral envelope glycoprotein D (gD) to this receptor protein has been shown to be part of the viral entry mechanism. The cytoplasmic region of this receptor was found to bind to several TRAF family members, which may mediate the signal transduction pathways that activate the immune response.
Host
Mouse
Immunogen
Full-length, recombinant, human TNFRSF14 (aa 38-248), expressed as a GST fusion protein
Clone
2G6-2C7
Isotype
IgG₁
Species
human
Positive control
Human pancreatic cancer tissue
Negative control
293T cells
Form
Liquid
Formulation
In PBS, pH 7.2.
Preservative
None
Comments
For ELISA, this antibody can be used as the capture antibody; recommended concentration is 10 ng/ml, 1 µg/well, 100 µl total volume. Variables associated with assay conditions will dictate the proper working dilution.
Storage
Avoid freeze/thaw
-20°C
Do Not Freeze
Ok to freeze
Special Instructions
Following initial thaw, aliquot and freeze (-20°C).