Activity assays for extracellular signal-regulated kinase 5. Kazuhiro Nakamura,Gary L Johnson Methods in molecular biology (Clifton, N.J.)
661
2009
Afficher le résumé
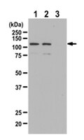
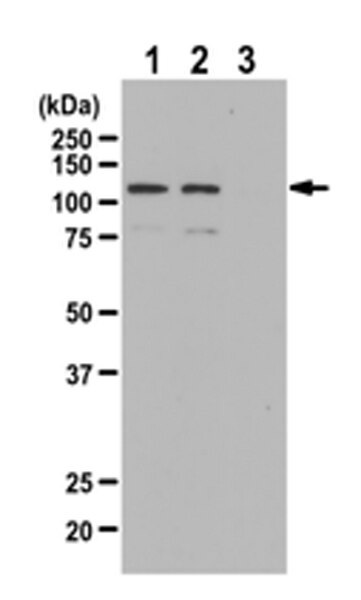
Extracellular signal-regulated kinase 5 (ERK5) is also known as big MAPK (BMK1) or MAPK7. ERK5 is 115 kDa in mass and therefore larger than the other MAPKs such as ERK1/2, JNK, and p38. Like other MAPKs, ERK5 is ubiquitously expressed in mammalian cells and is part of a three kinase cascade involving a MAPK kinase (MEK5) and MAPK kinase kinase (primarily MEKK2 and MEKK3). ERK5 is important for proliferative responses to growth factors like epidermal growth factor and stress responses such as hyperosmolarity. Upon stimulation, ERK5 rapidly translocates to the nucleus for the control of transcription. ERK5 is also critical for maintenance of vascular integrity and endothelial cell survival. In this chapter, we define methods used to measure the activation of ERK5 using different biochemical and cell-based assays. | 20811978
 |
Components of a new human protein kinase signal transduction pathway. Zhou, G, et al. J. Biol. Chem., 270: 12665-9 (1995)
1994
Afficher le résumé
We have identified two components of a new protein kinase signaling cascade, MAPK/ERK kinase 5 (MEK5) and extracellular signal-regulated kinase 5 (ERK5). The MEK5 cDNA was isolated by degenerate PCR and encodes a 444-amino acid protein, which has approximately 40% identity to known MEKs. ERK5 was identified by a specific interaction with the MEK5 mutants S311A/T315A and K195M in the yeast two-hybrid system. The proteins were found to interact in an in vitro binding assay as well. ERK5 did not interact with MEK1 or MEK2. ERK5 is predicted to contain 815 amino acids and is approximately twice the size of all known ERKs. The C terminus of ERK5 has sequences which suggest that it may be targeted to the cytoskeleton. Sequences located in the N terminus of MEK5 may be important in coupling GTPase signaling molecules to the MEK5 protein kinase cascade. Both MEK5 and ERK5 are expressed in many adult tissue and are abundant in heart and skeletal muscle. A recombinant GST-ERK5 kinase domain displays autophosphorylation on Ser/Thr and Tyr residues. | 7759517
 |