Skip to Content
Merck

AB5405

Anti-Opsin Antibody, Red/Green

Chemicon®, from rabbit

Synonym(s):

Anti-CBBM, Anti-CBP, Anti-COD5, Anti-RCP, Anti-ROP

Sign In to View Organizational & Contract Pricing.

Select a Size


About This Item

UNSPSC Code:
12352203
NACRES:
NA.41
eCl@ss:
32160702
Conjugate:
unconjugated
Clone:
polyclonal
Application:
IHC
Citations:
266
Technical Service
Need help? Our team of experienced scientists is here for you.
Let Us Assist
Technical Service
Need help? Our team of experienced scientists is here for you.
Let Us Assist

biological source

rabbit

conjugate

unconjugated

antibody form

purified antibody

antibody product type

primary antibodies

clone

polyclonal

species reactivity

mouse

manufacturer/tradename

Chemicon®

technique(s)

immunohistochemistry: suitable (paraffin)

NCBI accession no.

UniProt accession no.

shipped in

wet ice

target post-translational modification

unmodified

Quality Level

Gene Information

human ... OPN1LW(5956)

Looking for similar products? Visit Product Comparison Guide

General description

Long-wave-sensitive opsin 1/Medium-wave-sensitive opsin 1 (UniProt: P04000/P04001; also known as Red cone photoreceptor pigment/Green cone photoreceptor pigment, Red-sensitive opsin/ Green-sensitive opsin, ROP/GOP) are encoded by the OPN1LW/OPN1MW (also known as RCP/GCP) genes (Gene ID: 5956/2652) in human. The full range of color discrimination in humans is based on the presence and function of three cone photoreceptors. Each cone type possesses a photo-sensitive pigment-protein complex consisting of 11-cis retinal and a unique opsin protein that gives sensitivity in the short (S cone, peak sensitivity about 420 nm), middle (M cone, peak sensitivity about 530 nm with polymorphism), and long (L cone, peak sensitivity about 560 nm with polymorphism) wavelengths of the light spectrum. Opsins are multi-pass membrane proteins that belongs to the G-protein coupled receptor 1 family. They consist of four extracellular, 7 helical, and four cytoplasmic domains. Genes for the three types of cone opsins and the rod photoreceptor rhodopsin gene seem to be homologous with varying amounts of conservation. Strongest conservation is between the middle (green) and long (red) wavelength sensitive pigments on the X chromosome, suggesting a relatively recent duplication/divergence event. The S cone (blue) opsin seems to have a stronger conservation with rhodopsin. Cone photoreceptor distribution in humans is dominated by the M and L cone pigments. Mutations in OPN1MW and OPN1LW genes are known to cause color blindness that is characterized by a dichromasy in which red and green are confused, without loss of luminance or shift or shortening of the spectrum. Some mutations also lead to cone dystrophy leading to progressive degeneration of the cone photoreceptor with some preservation of rod function. (Ref.: Neitz, M., and Neitz, J. (2000). Arch. Ophthalmol. 118(5); 691-700).

Immunogen

Full-length, recombinant human red/green opsin.
Recombinant human red/green opsin.

Application

Anti-Opsin Red/Green, Cat. No. AB5405, is a rabbit polyclonal antibody that detects Opsin Red/Green and is tested for use in Immunohistochemistry (Paraffin).

Biochem/physiol Actions

Mouse. Reactivity with other species has not been determined
This rabbit polyclonal antibody detects Red-sensitive opsin/ Green-sensitive opsins.

Physical form

Format: Purified
Purified rabbit polyclonal antibody in buffer containing 0.02 M phosphate buffer, pH 7.6, 0.25 M NaCl, and 0.1% sodium azide.

Preparation Note

Recommended storage: +2°C to +8°C.

Analysis Note

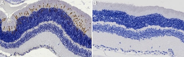
Evaluated by Immunohistochemistry (Paraffin) in Mouse retina tissue sections.Immunohistochemistry (Paraffin) Analysis: A 1:250 dilution of this antibody detected Opsin Red/Green in Mouse retina tissue sections.

Other Notes

Concentration: Please refer to the Certificate of Analysis for the lot-specific concentration.

Legal Information

CHEMICON is a registered trademark of Merck KGaA, Darmstadt, Germany

Not finding the right product?  

Try our Product Selector Tool.

Storage Class

12 - Non Combustible Liquids

wgk

WGK 2

flash_point_f

Not applicable

flash_point_c

Not applicable


Regulatory Listings

Regulatory Listings are mainly provided for chemical products. Only limited information can be provided here for non-chemical products. No entry means none of the components are listed. It is the user’s obligation to ensure the safe and legal use of the product.

AB5405:

jan


Certificates of Analysis (COA)

Search for Certificates of Analysis (COA) by entering the products Lot/Batch Number. Lot and Batch Numbers can be found on a product’s label following the words ‘Lot’ or ‘Batch’.

Already Own This Product?

Find documentation for the products that you have recently purchased in the Document Library.

Visit the Document Library

Analysis of gene function in the retina.
Takahiko Matsuda,Constance L Cepko
Methods in Molecular Biology null
Rescue of retinal degeneration by intravitreally injected adult bone marrow-derived lineage-negative hematopoietic stem cells.
Otani, Atsushi, et al.
The Journal of Clinical Investigation, 114, 765-774 (2004)
In vivo and in vitro development of S- and M-cones in rat retina.
Arango-Gonzalez, B; Szabo, A; Pinzon-Duarte, G; Lukats, A; Guenther, E; Kohler, K
Investigative Ophthalmology & Visual Science null
The electroretinogram (ERG) of a diurnal cone-rich laboratory rodent, the Nile grass rat (Arvicanthis niloticus).
Gilmour, Gregory S, et al.
Vision Research, 48, 2723-2731 (2008)
Severe retinal degeneration caused by a novel rhodopsin mutation.
Liu H, Wang M, Xia CH, Du X, Flannery JG, Ridge KD, Beutler B, Gong X
Investigative Ophthalmology & Visual Science null

Global Trade Item Number

SKUGTIN
AB540504053252275609

Our team of scientists has experience in all areas of research including Life Science, Material Science, Chemical Synthesis, Chromatography, Analytical and many others.

Contact Technical Service