ウェスタンブロッティング 関連プロトコル
標準的免疫検出法と迅速免疫検出法
免疫検出法には、標準法と迅速法の2種類のプロトコールがあります。
標準的免疫検出法には次のステップがあります。
- 抗体の非特異結合を防止するためのメンブレンのブロッキング
- 対象のタンパク質と結合する一次抗体反応
- 未結合の一次抗体をすべて除去するための洗浄
- 一次抗体と結合する標識二次抗体反応
- 未結合の二次抗体をすべて除去するための洗浄
- 目的のタンパク質を検出するため、標識二次抗体と基質の反応
迅速免疫検出法ではブロッキングステップが省略されており、洗浄およびインキュベーションステップに要する時間が短縮されています。迅速免疫検出法は、タンパク質が多く存在する場合でも迅速に視覚化します。一方、標準的免疫検出法は、より感度が高く、新しいサンプルの最適化はそれほど必要ありません。
標準的免疫検出法
アプリケーション
標準的免疫検出法は、電気泳動転写の直後に、ブロットしたタンパク質に実施します(転写後メンブレンが乾燥した場合には、免疫検出に進む前に、PVDFを使用した場合はメタノール中で、ニトロセルロースを使用した場合にはMilli-Q水中で1分間、ブロットを十分に濡らします)。
濡れたブロット上の未使用のメンブレン結合部位は、試薬でブロックされています。この方法の欠点は、ブロッキングを要することと合計所要時間が4時間におよぶことです。長所としては、標準的免疫検出法は新しいサンプルの最適化をそれほど必要としないことが挙げられます。
必要な溶液
- 一次抗体(対象とするタンパク質に対して特異的)
- アルカリホスファターゼまたはホースラディッシュペルオキシダーゼで標識された二次抗体(一次抗体に対して特異的)
- 酵素コンジュゲート(HRP または AP)に適した基質
- 適切な洗浄バッファー:リン酸緩衝化生理食塩水(PBST):10mMリン酸ナトリウム、pH7.2、0.9% (w/v)NaCl、最高0.1% Tween™-20界面活性剤、TBST:10mM Tris、pH7.4、0.9%(w/v)NaCl、最高0.1% Tween™-20。
- ブロッキング溶液:ウシ血清アルブミン(BSA)、0.2%~5%(w/v)、Tween™-20(0.05~0.1%)、無脂乾燥スキムミルク(0.5~5%)、カゼイン(1%)
- Milli-Q 水
必要な装置
- ブロットを保持するのに十分な大きさの浅いトレイ
- ガラス製のプレート
- プラスチック製ラップフィルム(例:サランラップ)、フリーザーバッグまたはシートプロテクター
- オートラジオグラフィーフィルムとカセット
- 暗室
- オートラジオグラフィーフィルム処理装置
セットアップ
- 一次抗体をブロッキング溶液で希望の実用濃度に希釈します。
- 二次抗体をブロッキング溶液で希望の実用濃度に希釈します。
注: メンブレン1cm²当たり0.1 mLの抗体溶液(一次および二次)に十分な量の溶液を調製してください。
ウェスタンブロッティング プロトコール
- SDS-ポリアクリルアミドゲル電気泳動(SDS-PAGE)を実施し、タンパク質をメンブレンに転写します(エレクトロブロッティング)。
ゲルを調製するための製品:- OmniPur® SDS(カタログ番号 7910)
- OmniPur® Acrylamide(カタログ番号 1150)
- Tris(カタログ番号 648313-250GM)
- 過硫酸アンモニウム(カタログ番号 A3678)
- OmniPur® TEMED(カタログ番号 8920)
- OmniPur® Water(カタログ番号 9820)
- Tween™ 20(カタログ番号 655204-100ML)
- メンブレンを蒸留水(カタログ番号 4.86505.0500)で2回洗浄します。希望する場合は、メンブレンをPonceau Red溶液で5分間染色して、タンパク質バンドを可視化します(ストック溶液: 30%トリクロロ酢酸および30%スルホサリチル酸に溶解した2%ポンソーS:10 倍希釈で使用)。タンパク質のバンドが明瞭になるまで水でメンブレンを洗浄し、ボールペンまたは鉛筆で分子量マーカーの位置をマークします。ブロッキングステップ中にメンブレンからPonceau Red染色剤を洗い流します。注:バックグラウンド染色が増大するので、発色までのいずれのステップにおいてもブロットを乾燥させてはなりません。
ブロットしたメンブレンを、新たに調製した無脂乾燥スキムミルク(3~5%)を含有するTBS(カタログ番号 524750-1EA)やPBS(PBS錠剤 524650-1EA)中で30~60分間、持続的に撹拌しながら室温でブロッキングします(ブロッキングについては『注』を参照)。擬バンドが現れるので、ブロッキング時間は、室温で最長2時間を超えてはなりません。ブロッキング時間をより長くする必要がある場合には、メンブレンを4℃に保ってください。
ブロッキングに関する注:ブロットしたメンブレンを、30分~2時間、室温で一定に撹拌しながら、新たに調製したブロッキング剤、PBS/3%無脂肪乾燥スキムミルク(15g 無脂肪乾燥スキムミルクを 500mL PBS(PBS錠剤 524650-1EA)に溶解)中に浸漬します。メンブレンは、PBS/3%無脂肪乾燥スキムミルクを用いて、4℃で一晩攪拌してブロッキングすることもできます。一般的に、リン酸化抗体は、PBSよりはむしろTBS(カタログ番号 524750-1EA)で稀釈したブロッキング剤を必要とします。前回のウェスタンブロットのバックグラウンドが高い場合には、別のブロッキングバッファーを試してください。利用可能なその他のブロッキング試薬として、a)3~5% 無脂肪乾燥スキムミルク/0.05~0.1%のTween™、b)PBSまたはTBSに溶解したTween™-20(0.05~0.2%)(カタログ番号 655204-100ML)および c)PBSまたはTBSに溶解した0.2~5% BSA fraction V(カタログ番号 2910)が挙げられます。タンパク質がメンブレン上から剥がれる可能性があるので、一般的に、ブロッキング時間は室温で最長2時間を超えてはなりません。
- 一次抗体を、新しいブロッキング溶液(TBSやPBS(PBS錠剤 524650-1EA)/3% 無脂肪乾燥スキムミルク)で、推奨される濃度/希釈倍率まで希釈します。メンブレンを一次抗体溶液中において、室温で1~2時間、または4℃で一晩撹拌しながら反応させます。
- メンブレンを3回、各回3~5分間、水または0.05% Tween™-20(カタログ番号 655204-100ML)を含有するTBSやPBSを用いて洗浄します。
- メンブレンを選択した二次抗体試薬中において、室温で30分~1時間、または4℃で一晩撹拌しながら反応させます。マウスモノクロナール抗体の場合はヤギ抗マウスHRP-標識抗体、ウサギポリクロナール抗体の場合にはヤギ抗-ウサギHRP-標識抗体が適しています。
- メンブレンを5回、各回3~5分間、水または0.05% Tween™-20(カタログ番号 655204-100ML)を含有するTBSやPBS(PBS錠剤 524650-1EA)で洗浄します。
注: Tween™-20界面活性剤は、低アフィニティー一次抗体をストリッピングする可能性があるので、バックグラウンドを改善するために、メンブレンを短時間洗浄します。メンブレンを水で洗浄した場合には、これに続いて0.05% Tween™-20(カタログ番号 655204-100M)を含有するTBSやPBS(PBS錠剤 524650-1EA)中において、3~5分間、最終洗浄ステップを実施してください。
- 選択した検出システムを用いてタンパク質の検出を実施します(例:増感化学発光法(ECL))。
注:水、TBS、PBSを用いてメンブレンを洗浄しても、Tween™-20が十分に除去されない場合には、Tween™-20がECL試薬と反応するおそれがあり、メンブレンの染色が全体的に高まり、ブラックフィルムとなる可能性があります。

基質の検出
発色式検出法
- メーカーの説明書に従って基質を調製します。
- ブロットを清浄な容器内に配置し、メンブレンの表面が完全に覆われるまで基質を添加します。軽く撹拌しながら10分間、またはシグナルが希望するコントラストに達するまで反応させます。
- ブロットをMilli-Q水で洗浄して反応を停止します。
- 減退を最小限に抑えるために、直接光を避けてブロットを保管します。ブロットは、乾燥状態で保管可能です。
化学発光式検出法
- メーカーの説明書に沿って進めていきます。
- メーカーの説明書に従って基質を調製します。
- ブロットを容器内に配置し、メンブレンが完全に覆われるまで基質を添加します。1分間反応させます。
- 余分な基質を廃棄します。
注: 定寸シートプロテクターまたはフリーザーバッグも利用可能です。
- 気泡を残さずゆっくりと取り除きます。暗室内で、ラップされたメンブレンをフィルムカセット内に配置します。
- オートラジオグラフィーフィルムを1枚の最上部に配置して、カセットを閉じます。
- フィルムを露光します。最適な露光時間を決定するには15秒~30分の露光を複数回行う必要があります。1~5分が一般的です。
蛍光式検出法
必要な装置:
- イモビロン-FLトランスファーメンブレン上にブロットされ、抗体でプローブされたタンパク質
- Mylarラップフィルム
- 蛍光画像装置
下記は、蛍光免疫検出法に関する一般的なプロトコールです。最適な結果を得るには、試薬と共に提供されるメーカーのプロトコールを参照してください。
注: 化学蛍光試薬を用いる場合には、試薬メーカーの指示書に従ってください。
- メーカーの説明書に従って基質を調製します。
- ブロットを希釈した蛍光色素標識二次抗体溶液内に配置し、穏やかに撹拌しながら1時間反応させます。
- ブロットを洗浄バッファーで 3~5回、各回5分間洗浄します。
- ブロットを清浄なフィルターペーパー上に配置して乾燥させます。
- ラップフィルムを使用する場合には、Mylar製を使用します。サランラップは蛍光をクエンチするので、使用しないでください。
- 適当な蛍光スキャナーを用いて、ブロットを画像化します。
迅速免疫検出法
用途
迅速免疫検出法は、抗体はイモビロン-Pトランスファーメンブレンの疎水性(非湿潤性)表面に結合できないものの、メンブレン上に固定化されたタンパク質には結合するという事実を利用しています。迅速免疫検出法は、発色性基質および化学発光性基質の両方に適合します。迅速免疫検出法の主な長所として、ブロッキング不要、時間短縮および関係するリスクの除去が挙げられます(Mansfield、1994年)。本方法は、乾燥状態および湿潤状態のいずれのイモビロンPVDFメンブレンに対しても利用でき、標準法では4時間かかるところをおよそ2時間で分析できます。
重要: 乾燥したメンブレンを用いる際には、ブロットは、迅速免疫検出法を開始する前に十分に乾燥させなければなりません(「メンブレンの乾燥方法」を参照)。
必要な溶液
- 一次抗体(対象とするタンパク質に対して特異的)
- アルカリホスファターゼまたはホースラディッシュペルオキシダーゼで標識された二次抗体(一次抗体に対して特異的)
- 酵素コンジュゲートに適した基質
- リン酸緩衝化生理食塩水(PBS)(PBS錠剤 524650-1EA):10mMリン酸ナトリウム、pH7.2、0.9% (w/v)NaCl
- 抗体希釈バッファー:1%(w/v)BSA(ウシ血清アルブミン)、0.05%Tween™ツイーン-20界面活性剤(カタログ番号 655204-100ML)
- 100%メタノール
- Milli-Q水
必要な装置
- ブロットを保持するのに十分な大きさの浅いトレイ
- プラスチック製ラップフィルム(例:サランラップ)、フリーザーバッグまたはシートプロテクター
- オートラジオグラフィーフィルムとカセット
- 暗室とオートラジオグラフィーフィルム処理装置
セットアップ
- 乾燥したメンブレンを用いる際には、ブロットを完全に乾燥させます(「メンブレンの乾燥方法」プロトコールを参照)。メタノールでブロットを再度湿潤化しないでください。
- 一次抗体を希釈バッファーで希望の実用濃度に希釈します。
- 二次抗体を希釈バッファーで希望の実用濃度に希釈します。注:メンブレン1cm²当たり0.1mLの抗体溶液(一次および二次)に十分な量の溶液を調製してください。
抗体の反応
- ブロットを一次抗体溶液内に配置し、撹拌しながら1時間反応させます。溶液が、メンブレン表面全体を自由に移動できるようにしてください。
- ブロットをPBS内に配置し、5分間洗浄します。
- ブロットを二次抗体溶液内に配置し、撹拌しながら30分間反応させます。
- ブロットをPBS(PBS錠剤 524650-1EA)内に配置し、5分間洗浄します。新鮮なバッファーを用いて2回繰り返します。
- 「標準的免疫検出法」プロトコールの記載に従い、発色方式、化学発光方式または蛍光方式のタンパク質検出に進みます。
高いバックグラウンドを除去するための高塩濃度洗浄
必要な溶液:
高塩濃度のバッファー:0.5M NaClおよび0.2% SDSが補充されたPBS(PBS錠剤 524650-1EA)バッファーまたはTBSバッファー。
手順
- 一次抗体および二次抗体反応まで標準的免疫検出法に従います。
- 二次抗体を反応させた後、ブロットを高塩濃度のバッファー内に配置し、穏やかに振とうさせながら30分間反応させます。
- ブロットをMilli-Q水で洗浄し、標準的免疫検出法の記載に従い発色方式、化学発光方式または蛍光方式のタンパク質検出法に進みます。

洗浄バッファーに0.5M NaClおよび0.2% SDSを添加すると、高いタンパク質結合能力を有するイモビロン-PSQメンブレンのバックグラウンドが顕著に低下します。
メンブレン ストリッピング プロトコール
ブロットから抗体を除去する2つのプロトコールを下記に示します。第1のプロトコールは、任意の化学発光基質系に適用され、抗体を分離させるために、界面活性剤と熱を組み合わせて利用します。第2のプロトコールは、抗体を抗原から分離する必要があり、かつ結合部位に活性がなくなるよう抗体の構造を変えるために低pHを採用する用途でよく用いられています。いずれの方法においても、発色式検出システム(例:BCIP、4CN、DABおよびTMB)から生成した着色性の析出物は除去されません。ただし、異なる標的タンパク質に特異的な別の抗体を用いてブロットを分析することはできます。
重要: ブロットを、免疫検出の各ラウンド間で乾燥させてはなりません。乾燥させた場合には、残留抗体分子はすべてメンブレンに永続的に結合します。
Re-Blot Plus
ウェスタンブロットリサイクリングキット(Western Blot Recycling Kit)
Re-Blot Plusキットは、固定化したタンパク質にそれほど影響を与えずに抗体をウェスタンブロットから迅速かつ有効に除去する、特別に調製された溶液を含有します。
Re-Blot Plusキットの利点
- 抗体ストリッピング溶液に、刺激臭の強いβ-メルカプトエタノールを含有していません。
- 室温で抗体のストリッピングが可能です。ブロットの加熱は不要です。
- 室温で、ブロットから抗体を15分程度でストリッピングできます。
- ブロットは25分後に再利用できます。
アプリケーション
Re-Blot Plusキット(カタログ番号 2500)は、化学発光または放射性ヨウ素もしくはその他の同位体を用いて開発されたウェスタンブロットから抗体を除去するのに有効です。
反応部位に析出する基質を有効に除去することが不可能なので、比色分析用の基質(TMB、DAB、4-クロロナフトール等)のストリッピングには推奨されません。ストリッピングが所定の抗原に対して定量的に影響を及ぼさないということがブロット法での比較検討により立証されるまでは、Re-Blot Plusウェスタンブロットリサイクリングキットは、定性的な目的に限定して用いるべきです。
キット構成部品
- マイルド抗体ストリッピング溶液(10×)-(容器1個、50 mL)。(カタログ番号 2502として個別に購入可能)。
- ストロング抗体ストリッピング溶液(10×)-(容器1個、50 mL)(カタログ番号 2504として個別に購入可能)。
保存
キット構成部品が届いたら、すぐに4℃で保管してください。製品は、受け入れ後3~6ヶ月間は安定です。抗体ストリッピング溶液が保管時に結晶化する場合には、使用前に37℃の温水で再溶解することができます。
注: 試薬の分解を防止するために、保管時にはキャップをしっかりと閉めてください。長時間、空気に曝露するのは避けてください。
試薬の選択
Re-Blot Plusマイルドストリッピング表液では、ニトロセルロースメンブレンおよびPVDFメンブレンのいずれにおいても良好な結果が得られます。ただし、Re-Blot Plusストロングストリッピング溶液は、高シグナルを有するメンブレンを対象にストリッピングする場合やRe-Blot Plusマイルド(ストリッピング溶液)処理が十分でない場合により良好な性能を発揮します。
試薬の調製
- 抗体ストリッピング溶液の希釈
- 用時調製: 抗体ストリッピング溶液(マイルドまたはストロング)を蒸留水(カタログ番号 4.86505.0500)で10倍希釈して1 ×溶液を作製します。抗体ストリッピング溶液が結晶を含有する場合には、結晶が完全に溶解するまで37℃で軽く温めます。反応時間中にストリップまたはブロットが自由に移動できるように、十分量の溶液、一般的にストリップ1本当たり4 mL、または標準的なブロット1枚当たり20 mLを調製します。
ストリッピングまたはブロッキング溶液の容量の案については上述のチャートを使用します。
アッセイ プロトコール
注: ブロットまたは個々のストリップを再使用する場合、最初に使用した直後に調製してストリッピングしてください。ストリッピングをすぐに実施できない場合、プラスチック製のラップフィルムでメンブレンをラップし、これを4℃でPBS中で湿った状態で保存することができます。ブロットを乾燥状態で保管しないようにしてください。
- ブロットのストリッピング:定量の1×抗体ストリッピング溶液でプラスチックトレーを満たします(提案量については、上記「試薬の調製」を参照)
- ピンセット等を用いて、ブロットまたはブロットストリップをストリッピング溶液に浸漬します。穏やかに混合しながら室温で15分間反応させます。
注:一度ストリッピングされたブロットを再び使用する場合には、ストリッピング反応時間を延ばしたほうがよいかもしれません。必要ならストリッピング時間を5~10分長くしてください。
- ブロッキング:清浄なプラスチックトレーを等量のブロッキングバッファーで満たします。従来型のブロッキングバッファー、例えば20 mM Tris HCl、pH8.0;150mM NaCl;0.1% Tween™ 20(カタログ番号 655204-100ML);5%乾燥スキムミルク等または類似品が適当です。
- ブロットをブロッキングバッファーで2回、各回5分間洗浄します。
- これでブロットはいつでも抗体を用いてリプロービングできます。ユーザーは、独自の検証済みのプロトコールおよび化学発光検出法を採用することをお勧めします。
加熱および界面活性剤によるストリッピング
必要な機器および溶液
- ストリッピング溶液:100mMの2-メルカプトエタノール、2%(w/v)SDS、62.5mM Tris-HCl、pH6.7
- リン酸緩衝生理食塩水(PBS PBS錠剤 524650-1EA):10mMリン酸ナトリウム、pH7.2、0.9%(w/v)NaCl
- ブロットを保持するのに十分な大きさの浅いトレイ
手順
- ドラフトチャンバーにおいて、ストリッピング溶液内にブロットを置いて、振とうしながら50℃で30分間インキュベーションします。
- ブロットをバッファー内に配置し、10分間振とうします。新しいバッファーを用いて繰り返します。
- (オプション)抗体の不活性化またはメンブレンからのストリッピングを確認するために、最初の検出プロトコールを繰り返します(一次抗体ステップは省略)。
- ブロットをバッファー内に配置し、10分間振とうします。
- ブロッキングステップに進んで次ラウンドの免疫検出を行います。
低pHによるストリッピング
必要な機器および溶液
- ストリッピング溶液:25mMグリシン-HCl、pH2、1%(w/v)SDS
- リン酸緩衝生理食塩水(PBS PBS錠剤 524650-1EA):10mMリン酸ナトリウム、pH7.2、0.9%(w/v)NaCl
- ブロットを保持するのに十分な大きさの浅いトレイ
手順
- ブロットをストリッピング溶液内に配置し、30分間振とうします。
- ブロットをバッファー内に配置し、10分間振とうします。新しいバッファーを用いて繰り返します。
- ブロッキングステップに進んで次ラウンドの免疫検出を行います。

低pHおよび加熱/界面活性剤法を用いた、イモビロン-Pメンブレン上でのストリッピングおよびリプロービング。
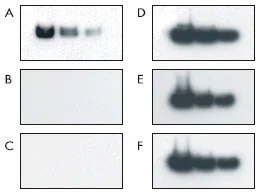
(A)イモビロンウェスタンHRP化学発光基質による可視化を行う前に、ラット肝臓細胞抽出液のメンブレンブロットについて、ウサギ抗-ERK-1抗体(1:5,000)およびHRP-標識ヤギ抗-ウサギ二次抗体(1:20,000)を用いてプロービングしました。次に、ブロットについて(B)低pHまたは(C)加熱/界面活性剤によりストリッピングを行い、二次抗体およびイモビロンウェスタン基質に再度曝露して、すべての抗体が完全に除去されたことを実証しました。次に、ストリッピングした抗-ERK-1のブロットをマウス抗-HSP70抗体(1:10,000)およびHRP-標識ヤギ抗マウス二次抗体(1:5,000)を用いてプロービングし、そして上記の通り可視化しました。(E)低pHおよび(F)加熱/界面活性剤によりストリッピングしたブロットは、瑕疵なくリブロービングされ、そして(D)HSP70 に対する抗体のみでプロービングしたメンブレンに匹敵する結果が得られました。
ペプチド阻害/競合
競合抗原と併用される抗体を使用する際には、このプロトコールを使用します。
方法
- ウェスタンブロッティングの抗体で最適な希釈率として使われる抗体の希釈率を決めます。
- 中和する場合には、少量のTBSやPBS-スキムミルク(1mL)内で、抗体を5倍(重量)量のブロッキング用ペプチドと混合するか、最終容量のインキュベーションバッファー(TBSやPBS(PBS錠剤 524650-1EA)に溶解した3 %無脂肪乾燥スキムミルク)内で、抗体を10µM~25µM*の濃度のペプチドと混合します。ペプチドの計算事例については下記を参照してください。
- ペプチドと抗体を、室温で2時間、または4℃で一晩振とうしながら反応させます。
- 中和後、抗体/ペプチド混合物をしかるべき最終実用容量に希釈し、そして希望の試験プロトコールに進み、通常どおりウェスタンブロットの手順に進みます。
実例:
抗体濃度を2µg/mL にすれば、良好な陽性結果が得られます。ニトロセルロースは、最終容量10mLで反応します。1mLのP(T)BS-スキムミルク内で、20µgの抗体を100µgのペプチドと混合します。そして反応させます。1mLのペプチド/抗体に9mLのP(T)BS-スキムミルクに添加します。
* さらに希釈して用いられる1mMのペプチドストックを調製します。
MW = Da – [(x–1)(18)]
Da = ダルトン(Dalton)
X =ペプチド配列内のアミノ酸の数
18 = H20の分子量
以下の分子量を有するペプチドを希釈する例:
2136 Da = 2136 g/L/M
2136 g/L × 0.001 M
2.136 g/L/1 mM
2136 mg/1000 mL/1 mM
ペプチドが、50µgで包装されている場合:

23µlの滅菌水(カタログ番号 4.86505.0500)(またはその他の適するバッファー)内で50µgのペプチドを希釈して、最終濃度が1mMとなるようにペプチドを調製します。
ブロットの保存
長期保存するためのタンパク質ブロットの調製
PVDFは優れた長期安定性を有する耐薬品性ポリマーです。後日使用するために保管する必要のあるブロットは、メンブレンに結合するタンパク質の安定性によって保管条件が決まります。メルクミリポアは低温保管を推奨しますが、タンパク質によっては室温でもよい場合があります。
必要な材料
- ドライブロット イモビロンPVDFトランスファーメンブレン
- Whatman 3 MMペーパー、2枚
- カードストックまたは薄いボール紙、2枚
- 紙クリップ
- プラスチック製のバッグ
手順
- 乾燥したブロットを、2枚のきれいなWhatman 3 MMペーパーの間に挟みます。
- ブロット-フィルターペーパーサンドイッチを 2枚のカードストックの間に挟みます。
- この重ね合わせたものを端部に沿ってクリップで止めます。クリップは、ブロットと重ならないようにしてください。
- 密封可能なプラスチック製のバッグに配置します。
- バッグを閉じるか密封してください。
- ブロットを適切な温度で保管します: 4℃で最長2週間、-20℃で最長2ヶ月、-70℃ではさらに長期間保管します。
注:メンブレンを破損するおそれがあるので、フリーザー保管されたブロットには衝撃を与えないようにしてください。ブロットは、プラスチック製のバッグから取り出す前に室温に戻してください。ブロットは、濡れた状態でプラスチック製のバッグ内に4℃で保管することも可能ですが、アジ化ナトリウム等の防腐剤を添加して細菌の繁殖を防止してください。アジ化物はHRP活性を阻害するので、使用する前にアジ化物をブロットから十分に洗い出さなければなりません。
OmniPur®製品へのリンク:
- TBS錠剤(カタログ番号 524750-1EA)
- 蒸留水(カタログ番号 4.86505.0500)
- OmniPur® BSA(カタログ番号 2910)
- PBS錠剤(カタログ番号 524650-1EA)
お問合せ先
メルク ライフサイエンス リサーチ&バイオロジー
- On-Lineフォーム:製品・技術に関するお問合せ
- TEL(テクニカルサービス):03-4531-1140
- TEL(ご注文関連):03-4531-1141
※掲載価格は希望販売価格(税別)です。実際の価格は弊社製品取扱販売店へご確認ください。なお、品目、製品情報、価格等は予告なく変更される場合がございます。予めご了承ください。
続きを確認するには、ログインするか、新規登録が必要です。
アカウントをお持ちではありませんか?