Millipore Sigma Vibrant Logo

ST1705 Anti-TOMM20 Mouse mAb (4F3)

Overview

Replacement Information

Key Spec Table

Species ReactivityHostAntibody Type
H, M, RMMonoclonal Antibody

Pricing & Availability

Catalogue Number AvailabilityPackaging Qty/Pack Price Quantity
ST1705-100UGCN
Retrieving availability...
Limited Availability
Limited Availability
In Stock 
Discontinued
Limited Quantities Available
Availability to be confirmed
    Remaining : Will advise
      Remaining : Will advise
      Will advise
      Contact Customer Service
      Contact Customer Service

      100 μg
      Retrieving price...
      Price could not be retrieved
      Minimum Quantity is a multiple of
      Maximum Quantity is
      Upon Order Completion More Information
      You Saved ()
       
      Request Pricing
      Description
      OverviewRecognizes the ~12-16 kDa TOMM20 protein in HeLa, PC12, and NIH3T3 cells and human small intestine tissue.
      Catalogue NumberST1705
      Brand Family Calbiochem®
      SynonymsAnti-Translocase of Outer Mitochondrial Membrane 20
      Application Data
      Detection of human TOMM20 by immunoblotting. Sample: Whole cell lysate from HeLa cells. Primary antibody: Anti-TOMM20 Mouse mAb (4F3) (Cat. No. ST1705) (1-5 µg/ml). Detection: chemiluminescence.

      Detection of rat TOMM20 by immunoblotting. Sample: Whole cell lysate from PC-12 cells. Primary antibody: Anti-TOMM20 Mouse mAb (4F3) (Cat. No. ST1705) (1-5 µg/ml). Detection: chemiluminescence.

      Detection of mouse TOMM20 by immunoblotting. Sample: Whole cell lysate from NIH3T3 cells. Primary antibody: Anti-TOMM20 Mouse mAb (4F3) (Cat. No. ST1705) (1-5 µg/ml). Detection: chemiluminescence.

      Detection of human TOMM20 by immunocytochemistry. Sample: HeLa cells fixed in paraformaldehyde. Primary antibody: Anti-TOMM20 Mouse mAb (4F3) (Cat. No. ST1705) (10 µg/ml). Detection: fluorescence.

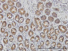
      Detection of human TOMM20 by staining paraffin sections. Sample: Formalin-fixed, paraffin-embedded human small intestine tissue. Primary antibody: Anti-TOMM20 Mouse mAb (4F3) (Cat. No. ST1705) (3 µg/ml). Detection: colorimetric.
      References
      Product Information
      Formliquid
      FormulationIn PBS, pH 7.2.
      Negative control293T cells
      Positive controlHeLa cells, PC12 cells, NIH3T3 cells, Human small intestine tissue
      PreservativeNone
      Quality SegmentMQ100
      Applications
      Key Applications Enzyme-Linked Immunosorbent Assay
      Immunoblotting (Western Blotting)
      Immunocytochemistry
      Paraffin Sections
      Application NotesELISA (see coments)
      Immunoblotting (1-5 µg/ml)
      Immunocytochemistry (10 µg/ml)
      Paraffin Sections (3 µg/ml)
      Application CommentsFor ELISA, this antibody can be used as the capture antibody; recommended concentration is 10 ng/ml, 1 µg/well, 100 µl total volume. Variables associated with assay conditions will dictate the proper working dilution.
      Biological Information
      ImmunogenFull-length, recombinant, human TOMM20 (aa 1-146), expressed as a GST fusion protein
      Clone4F3
      HostMouse
      IsotypeIgG₁
      Species Reactivity
      • Human
      • Mouse
      • Rat
      Antibody TypeMonoclonal Antibody
      Physicochemical Information
      Dimensions
      Materials Information
      Toxicological Information
      Safety Information according to GHS
      Safety Information
      Product Usage Statements
      Storage and Shipping Information
      Ship Code Blue Ice Only
      Toxicity Regulatory Review
      Storage -20°C
      Avoid freeze/thaw Avoid freeze/thaw
      Do not freeze Ok to freeze
      Special InstructionsFollowing initial thaw, aliquot and freeze (-20°C).
      Packaging Information
      Transport Information
      Supplemental Information
      Specifications
      Global Trade ITEM Number
      Catalogue Number GTIN
      ST1705-100UGCN 04055977207347

      Documentation

      Anti-TOMM20 Mouse mAb (4F3) SDS

      Title

      Safety Data Sheet (SDS) 

      Data Sheet

      Note that this data sheet is not lot-specific and is representative of the current specifications for this product. Please consult the vial label and the certificate of analysis for information on specific lots. Also note that shipping conditions may differ from storage conditions.

      Revision10-November-2010 JLN
      SynonymsAnti-Translocase of Outer Mitochondrial Membrane 20
      ApplicationELISA (see coments)
      Immunoblotting (1-5 µg/ml)
      Immunocytochemistry (10 µg/ml)
      Paraffin Sections (3 µg/ml)
      Application Data
      Detection of human TOMM20 by immunoblotting. Sample: Whole cell lysate from HeLa cells. Primary antibody: Anti-TOMM20 Mouse mAb (4F3) (Cat. No. ST1705) (1-5 µg/ml). Detection: chemiluminescence.

      Detection of rat TOMM20 by immunoblotting. Sample: Whole cell lysate from PC-12 cells. Primary antibody: Anti-TOMM20 Mouse mAb (4F3) (Cat. No. ST1705) (1-5 µg/ml). Detection: chemiluminescence.

      Detection of mouse TOMM20 by immunoblotting. Sample: Whole cell lysate from NIH3T3 cells. Primary antibody: Anti-TOMM20 Mouse mAb (4F3) (Cat. No. ST1705) (1-5 µg/ml). Detection: chemiluminescence.

      Detection of human TOMM20 by immunocytochemistry. Sample: HeLa cells fixed in paraformaldehyde. Primary antibody: Anti-TOMM20 Mouse mAb (4F3) (Cat. No. ST1705) (10 µg/ml). Detection: fluorescence.

      Detection of human TOMM20 by staining paraffin sections. Sample: Formalin-fixed, paraffin-embedded human small intestine tissue. Primary antibody: Anti-TOMM20 Mouse mAb (4F3) (Cat. No. ST1705) (3 µg/ml). Detection: colorimetric.
      DescriptionPurified mouse monoclonal antibody. Recognizes the ~12-16 kDa TOMM20 protein.
      BackgroundThe TOMM20 protein is a central component of the receptor complex responsible for the recognition and translocation of cytosolically synthesized mitochondrial preproteins. Together with TOM22 , it functions as the transit peptide receptor at the surface of the mitochondrion outer membrane and facilitates the movement of preproteins into the TOM40 translocation pore.
      HostMouse
      ImmunogenFull-length, recombinant, human TOMM20 (aa 1-146), expressed as a GST fusion protein
      Clone4F3
      IsotypeIgG₁
      Specieshuman, mouse, rat
      Positive controlHeLa cells, PC12 cells, NIH3T3 cells, Human small intestine tissue
      Negative control293T cells
      Formliquid
      FormulationIn PBS, pH 7.2.
      PreservativeNone
      CommentsFor ELISA, this antibody can be used as the capture antibody; recommended concentration is 10 ng/ml, 1 µg/well, 100 µl total volume. Variables associated with assay conditions will dictate the proper working dilution.
      Storage Avoid freeze/thaw
      -20°C
      Do Not Freeze Ok to freeze
      Special InstructionsFollowing initial thaw, aliquot and freeze (-20°C).
      Toxicity Regulatory Review