Millipore Sigma Vibrant Logo

DR1047 Anti-UHRF1 Mouse mAb (3A11)

Overview

Replacement Information

Key Spec Table

Species ReactivityHostAntibody Type
HMMonoclonal Antibody

Pricing & Availability

Catalogue Number AvailabilityPackaging Qty/Pack Price Quantity
DR1047-100UGCN
Retrieving availability...
Limited Availability
Limited Availability
In Stock 
Discontinued
Limited Quantities Available
Availability to be confirmed
    Remaining : Will advise
      Remaining : Will advise
      Will advise
      Contact Customer Service
      Contact Customer Service

      100 μg
      Retrieving price...
      Price could not be retrieved
      Minimum Quantity is a multiple of
      Maximum Quantity is
      Upon Order Completion More Information
      You Saved ()
       
      Request Pricing
      Description
      OverviewRecognizes the ~90 kDa UHRF1 protein in HeLa cells and human endometrium tissue.
      Catalogue NumberDR1047
      Brand Family Calbiochem®
      SynonymsAnti-Ubiquitin-Like PHD/RING Finger Domain 1
      Application Data
      Detection of human UHRF1 by immunoblotting. Sample: Whole cell lysate from HeLa NE cells. Primary antibody: Anti-UHRF1 Mouse mAb (3A11) (Cat. No. DR1047) (1-5 µg/ml). Detection: chemiluminescence.

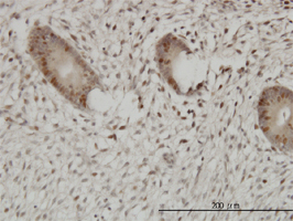
      Detection of human UHRF1 by staining paraffin sections. Sample: Formalin-fixed, paraffin embedded human endometrium tissue. Primary antibody: Anti-UHRF1 Mouse mAb (3A11) (Cat. No. DR1047) (3 µg/ml). Detection: colorimetric (DAB).

      Detection of human UHRF1 by immunocytochemistry. Sample: HeLa cells fixed in paraformaldehyde. Primary antibody: Anti-UHRF1 Mouse mAb (3A11) (Cat. No. DR1047) (10 µg/ml). Detection: fluorescence.
      References
      ReferencesMistry H, et al. 2008. Biochem. Biophys. Res. Commun. 375 321.
      Product Information
      Formliquid
      FormulationIn PBS, pH 7.2.
      Positive controlHeLa cells, Human endometrium tissue
      PreservativeNone
      Quality SegmentMQ100
      Applications
      Key Applications Enzyme-Linked Immunosorbent Assay
      Immunoblotting (Western Blotting)
      Immunocytochemistry
      Paraffin Sections
      Application NotesELISA (see comments)
      Immunoblotting (1-5 µg/ml)
      Immunocytochemistry (10 µg/ml)
      Paraffin Sections (3 µg/ml)
      Application CommentsFor ELISA, this antibody can be used as the capture antibody; recommended concentration is 10 ng/ml, 1 µg/well, 100 µl total volume. Variables associated with assay conditions will dictate the proper working dilution.
      Biological Information
      ImmunogenA recombinant polypeptide corresponding to amino acides 694-794 of human rUHRF1, expressed as a GST fusion protein
      ImmunogenNA
      Clone3A11
      HostMouse
      IsotypeIgG₁
      Species Reactivity
      • Human
      Antibody TypeMonoclonal Antibody
      Physicochemical Information
      Dimensions
      Materials Information
      Toxicological Information
      Safety Information according to GHS
      Safety Information
      Product Usage Statements
      Storage and Shipping Information
      Ship Code Blue Ice Only
      Toxicity Regulatory Review
      Storage -20°C
      Avoid freeze/thaw Avoid freeze/thaw
      Do not freeze Ok to freeze
      Special InstructionsFollowing initial thaw, aliquot and freeze (-20°C).
      Packaging Information
      Transport Information
      Supplemental Information
      Specifications
      Global Trade ITEM Number
      Catalogue Number GTIN
      DR1047-100UGCN 04055977225969

      Documentation

      Anti-UHRF1 Mouse mAb (3A11) SDS

      Title

      Safety Data Sheet (SDS) 

      References

      Reference overview
      Mistry H, et al. 2008. Biochem. Biophys. Res. Commun. 375 321.
      Data Sheet

      Note that this data sheet is not lot-specific and is representative of the current specifications for this product. Please consult the vial label and the certificate of analysis for information on specific lots. Also note that shipping conditions may differ from storage conditions.

      Revision01-November-2010 RFH
      SynonymsAnti-Ubiquitin-Like PHD/RING Finger Domain 1
      ApplicationELISA (see comments)
      Immunoblotting (1-5 µg/ml)
      Immunocytochemistry (10 µg/ml)
      Paraffin Sections (3 µg/ml)
      Application Data
      Detection of human UHRF1 by immunoblotting. Sample: Whole cell lysate from HeLa NE cells. Primary antibody: Anti-UHRF1 Mouse mAb (3A11) (Cat. No. DR1047) (1-5 µg/ml). Detection: chemiluminescence.

      Detection of human UHRF1 by staining paraffin sections. Sample: Formalin-fixed, paraffin embedded human endometrium tissue. Primary antibody: Anti-UHRF1 Mouse mAb (3A11) (Cat. No. DR1047) (3 µg/ml). Detection: colorimetric (DAB).

      Detection of human UHRF1 by immunocytochemistry. Sample: HeLa cells fixed in paraformaldehyde. Primary antibody: Anti-UHRF1 Mouse mAb (3A11) (Cat. No. DR1047) (10 µg/ml). Detection: fluorescence.
      DescriptionPurified mouse monoclonal antibody. Recognizes the ~90 kDa UHRF1 protein.
      BackgroundThis protein is a member of a subfamily of RING-finger type E3 ubiquitin ligases. The protein binds to specific DNA sequences, and recruits a histone deacetylase to regulate gene expression. Its expression peaks at late G1 phase and continues during G2 and M phases of the cell cycle. It plays a major role in the G1/S transition by regulating topoisomerase IIα and retinoblastoma gene expression, and functions in the p53-dependent DNA damage checkpoint
      HostMouse
      Immunogen speciesNA
      ImmunogenA recombinant polypeptide corresponding to amino acides 694-794 of human rUHRF1, expressed as a GST fusion protein
      Clone3A11
      IsotypeIgG₁
      Specieshuman
      Positive controlHeLa cells, Human endometrium tissue
      Formliquid
      FormulationIn PBS, pH 7.2.
      PreservativeNone
      CommentsFor ELISA, this antibody can be used as the capture antibody; recommended concentration is 10 ng/ml, 1 µg/well, 100 µl total volume. Variables associated with assay conditions will dictate the proper working dilution.
      Storage Avoid freeze/thaw
      -20°C
      Do Not Freeze Ok to freeze
      Special InstructionsFollowing initial thaw, aliquot and freeze (-20°C).
      Toxicity Regulatory Review
      ReferencesMistry H, et al. 2008. Biochem. Biophys. Res. Commun. 375 321.