Millipore Sigma Vibrant Logo
Attention: We have moved. Merck Millipore products are no longer available for purchase on MerckMillipore.com.Learn More

OP143 Anti-MDM2 (Ab-3) Mouse mAb (4B11)

Overview

Replacement Information

Key Spec Table

Species ReactivityHostAntibody Type
H, MMMonoclonal Antibody

Products

Catalogue NumberPackaging Qty/Pack
OP143-100UGCN 塑膠安瓿;塑膠針藥瓶 100 μg
Description
OverviewRecognizes the ~90 kDa (apparent MW) MDM2 protein in A549 cells. May also recognize the ~60 kDa and ~90 kDa isoforms of MDM2.
Catalogue NumberOP143
Brand Family Calbiochem®
SynonymsAnti-Ubiquitin Protein Ligase, Anti-p53 Binding Protein, Anti-Murine Double Minute Chromosome-2
Application Data
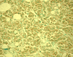
Detection of human MDM2 by staining paraffin sections. Sample: Breast carcinoma. Primary antibody: Anti-MDM2 (Ab-3) Mouse mAb (4B11) (Cat. No. OP143) (2.5 μg/ml). Detection: DAB
References
ReferencesMarchetti, A., et al. 1995. J. Pathol. 175, 31.
Barak, Y., et al. 1993. EMBO. J. 12, 461.
Ladanyi, M., et al. 1993. Cancer Res. 53, 16.
Leach, F. S., et al. 1993. Cancer Res. 53, 2231.
Oliner, J. D., et al. 1993. Nature 362, 857.
Momand, J., et al. 1992. Cell 69, 1237.
Oliner, J. D., et al. 1992. Nature 358, 80.
Fakharzadeh, S. S., et al. 1991. EMBO. J. 10, 1565.
Product Information
FormLiquid
FormulationIn 50 mM sodium phosphate buffer, 50% glycerol.
Positive controlA549 cells
PreservativeNone
Quality SegmentMQ100
Applications
Key Applications Immunoblotting (Western Blotting)
Immunofluorescence
Immunoprecipitation
Paraffin Sections
Application NotesImmunoblotting (2 µg/ml, chemiluminescence)
Immunofluorescence (1 µg/ml)
Immunoprecipitation (1 µg/reaction)
Paraffin Sections (2.5 µg/ml, heat pre-treatment required)
Application CommentsMay also recognize the ~60 kDa and ~90 kDa isoforms of MDM2. Antibody should be titrated for optimal results in individual systems.
Biological Information
Immunogenfull-length, recombinant human MDM2
ImmunogenHuman
Epitopewithin amino acids 383-491
Clone4B11
HostMouse
IsotypeIgG2a
Species Reactivity
  • Human
  • Mouse
Antibody TypeMonoclonal Antibody
Concentration Label Please refer to vial label for lot-specific concentration
Physicochemical Information
Dimensions
Materials Information
Toxicological Information
Safety Information according to GHS
Safety Information
Product Usage Statements
Storage and Shipping Information
Ship Code Dry Ice Only
Toxicity Standard Handling
Storage -20°C
Avoid freeze/thaw Avoid freeze/thaw
Do not freeze Ok to freeze
Special InstructionsFollowing initial thaw, aliquot and freeze (-20°C).
Packaging Information
Transport Information
Supplemental Information
Specifications
Global Trade ITEM Number
Catalogue Number GTIN
OP143-100UGCN 04055977224887

Documentation

Anti-MDM2 (Ab-3) Mouse mAb (4B11) MSDS

Title

Safety Data Sheet (SDS) 

Anti-MDM2 (Ab-3) Mouse mAb (4B11) Certificates of Analysis

TitleLot Number
OP143

References

Reference overview
Marchetti, A., et al. 1995. J. Pathol. 175, 31.
Barak, Y., et al. 1993. EMBO. J. 12, 461.
Ladanyi, M., et al. 1993. Cancer Res. 53, 16.
Leach, F. S., et al. 1993. Cancer Res. 53, 2231.
Oliner, J. D., et al. 1993. Nature 362, 857.
Momand, J., et al. 1992. Cell 69, 1237.
Oliner, J. D., et al. 1992. Nature 358, 80.
Fakharzadeh, S. S., et al. 1991. EMBO. J. 10, 1565.

Citations

Title
  • Fang Zhang, et al. (2006) Ribosomal stress couples the unfolded protein response to p53-dependent cell cycle arrest. Journal of Biological Chemistry 281, 30036-30045.
  • Krishna P. Bhat, et al. (2004) Essential role of ribosomal protein L11 in mediating growth inhibition-induced p53 activation. The EMBO Journal 23, 2402-2412.
  • Aiwen Jin, et al. (2004) Inhibition of HDM2 and activation of p53 by ribosomal protein L23. Molecular and Cellular Biology 24, 7669-7680.
  • Data Sheet

    Note that this data sheet is not lot-specific and is representative of the current specifications for this product. Please consult the vial label and the certificate of analysis for information on specific lots. Also note that shipping conditions may differ from storage conditions.

    Revision02-October-2007 RFH
    SynonymsAnti-Ubiquitin Protein Ligase, Anti-p53 Binding Protein, Anti-Murine Double Minute Chromosome-2
    ApplicationImmunoblotting (2 µg/ml, chemiluminescence)
    Immunofluorescence (1 µg/ml)
    Immunoprecipitation (1 µg/reaction)
    Paraffin Sections (2.5 µg/ml, heat pre-treatment required)
    Application Data
    Detection of human MDM2 by staining paraffin sections. Sample: Breast carcinoma. Primary antibody: Anti-MDM2 (Ab-3) Mouse mAb (4B11) (Cat. No. OP143) (2.5 μg/ml). Detection: DAB
    DescriptionPurified mouse monoclonal antibody. Recognizes the ~90 kDa (apparent MW) MDM2 protein.
    BackgroundIncreased expression of proto-oncogenes due to gene amplification can lead to cellular transformation in the absence of other mutagenic events. Recently, a novel gene termed MDM2, first identified in mouse as a small acentromeric extra-chromosomal element, was shown to become oncogenic upon amplification and tumorigenic when overexpressed in NIH/3T3 and Rat2 cells. The human homolog of MDM2 gene has been isolated and mapped to chromosome 12q13-q14, a region that is found to be amplified in human sarcomas. Sequence analysis of the murine, rat, and human MDM2 genes suggests that MDM2 may be involved in transcriptional regulation. MDM2 contains two putative metal-binding motifs, one of which shares similarity to known zinc finger transcriptional activators. MDM2 also contains a putative nuclear localization signal and an acidic domain of the type found in transcriptional activators. A functional role for MDM2 has recently been identified on the basis of experiments which demonstrate that MDM2 forms a stable complex with p53 in vivo. Furthermore, over-expression of MDM2 inhibits the ability of wild type p53 to stimulate expression of target genes, and this inhibition appears to result from MDM2 binding to the acidic activation domain of p53, thereby preventing p53 from directly contacting the transcriptional machinery. Interestingly, wild type p53 appears to positively regulate expression of the MDM2 gene. MDM2 amplification has been observed in sarcomas, and direct analysis of the MDM2 and p53 genes in sarcomas indicates that one or the other but not both of these genes is mutated in 70% of the tumors. Thus, it appears that genetic alterations in either p53 or MDM2 represent alternative mechanisms for inactivating the same growth suppressive pathway. Regulation of MDM2 expression by p53 also represents a potential feed back control of p53 function.
    HostMouse
    Immunogen speciesHuman
    Immunogenfull-length, recombinant human MDM2
    Epitopewithin amino acids 383-491
    Clone4B11
    IsotypeIgG2a
    Specieshuman, mouse
    Positive controlA549 cells
    FormLiquid
    FormulationIn 50 mM sodium phosphate buffer, 50% glycerol.
    Concentration Label Please refer to vial label for lot-specific concentration
    PreservativeNone
    CommentsMay also recognize the ~60 kDa and ~90 kDa isoforms of MDM2. Antibody should be titrated for optimal results in individual systems.
    Storage Avoid freeze/thaw
    -20°C
    Do Not Freeze Ok to freeze
    Special InstructionsFollowing initial thaw, aliquot and freeze (-20°C).
    Toxicity Standard Handling
    ReferencesMarchetti, A., et al. 1995. J. Pathol. 175, 31.
    Barak, Y., et al. 1993. EMBO. J. 12, 461.
    Ladanyi, M., et al. 1993. Cancer Res. 53, 16.
    Leach, F. S., et al. 1993. Cancer Res. 53, 2231.
    Oliner, J. D., et al. 1993. Nature 362, 857.
    Momand, J., et al. 1992. Cell 69, 1237.
    Oliner, J. D., et al. 1992. Nature 358, 80.
    Fakharzadeh, S. S., et al. 1991. EMBO. J. 10, 1565.
    Citation
  • Fang Zhang, et al. (2006) Ribosomal stress couples the unfolded protein response to p53-dependent cell cycle arrest. Journal of Biological Chemistry 281, 30036-30045.
  • Krishna P. Bhat, et al. (2004) Essential role of ribosomal protein L11 in mediating growth inhibition-induced p53 activation. The EMBO Journal 23, 2402-2412.
  • Aiwen Jin, et al. (2004) Inhibition of HDM2 and activation of p53 by ribosomal protein L23. Molecular and Cellular Biology 24, 7669-7680.