Millipore Sigma Vibrant Logo
Attention: We have moved. Merck Millipore products are no longer available for purchase on MerckMillipore.com.Learn More

MABC117 Anti-Podoplanin Antibody, clone NZ1.2

View Products on Sigmaaldrich.com
MABC117
100 µL  
Purchase on Sigma-Aldrich

Special Offers

Overview

Replacement Information

Key Spec Table

Species ReactivityKey ApplicationsHostFormatAntibody Type
HWB, IHCRPurifiedMonoclonal Antibody
Description
Catalogue NumberMABC117
DescriptionAnti-Podoplanin Antibody, clone NZ1.2
Alternate Names
  • Aggrus
  • Glycoprotein 36
  • Gp36
  • PA2.26 antigen
  • T1-alpha
  • T1A
Background InformationHuman podoplanin (T1alpha-2, aggrus and gp36) is a 38 kDa type-1 transmembrane glycoprotein that consists of 162 amino acids, nine of which form the intracellular domain. The highly O-glycosylated extracellular domain contains a sialic acid that is linked to an alpha-2,3 galactose, which forms the main part of the protein’s carbohydrate moieties. It is expressed in a select variety of human tissues and organs, and is also found in lymphatic, but not blood vessel endothelium. While its mode of action remains unclear, podoplanin is suggested to play a critical role in several physiological processes and conditions such as cell migration, cytoskeleton organization, tissue development, and tissue repair, as well as in carcinogenesis and tumor cell invasion.
References
Product Information
FormatPurified
Control
  • Human lung tissue lysate.
PresentationPurified rat monoclonal IgG2aκ in buffer containing 0.1 M Tris-Glycine (pH 7.4), 150 mM NaCl with 0.05% sodium azide.
Quality SegmentMQ100
Applications
ApplicationAnti-Podoplanin Antibody, clone NZ1.2 is an antibody against Podoplanin for use in WB, IH.
Key Applications
  • Western Blotting
  • Immunohistochemistry
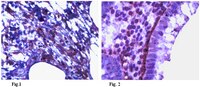
Application NotesImmunohistochemistry Analysis: A 1:300 dilution from a representative lot detected Podoplanin in human lung adenocarcinoma and colorectal tissue.
Biological Information
ImmunogenProtein sequence corresponding to the PLAG domain of human Podoplanin.
EpitopePLAG Domain
CloneNZ1.2
HostRat
SpecificityThis antibody detects Podoplanin at the PLAG domain.
IsotypeIgG2aκ
Species Reactivity
  • Human
Antibody TypeMonoclonal Antibody
Entrez Gene Number
Entrez Gene SummaryThis gene encodes a type-I integral membrane glycoprotein with diverse distribution in human tissues. The physiological function of this protein may be related to its mucin-type character. The homologous protein in other species has been described as a differentiation antigen and influenza-virus receptor. The specific function of this protein has not been determined but it has been proposed as a marker of lung injury. Alternatively spliced transcript variants encoding different isoforms have been identified.
Gene Symbol
  • PDPN
  • GP36
  • GP36
  • PSEC0003
  • PSEC0025
Purification MethodProtein G Purified
UniProt Number
UniProt SummaryFUNCTION: May be involved in cell migration and/or actin cytoskeleton organization. When expressed in keratinocytes, induces changes in cell morphology with transfected cells showing an elongated shape, numerous membrane protrusions, major reorganization of the actin cytoskeleton, increased motility and decreased cell adhesion. Required for normal lung cell proliferation and alveolus formation at birth. Induces platelet aggregation. Does not have any effect on folic acid or amino acid transport. Does not function as a water channel or as a regulator of aquaporin-type water channels.

SUBCELLULAR LOCATION: Membrane; Single-pass type I membrane protein. Cell projection > filopodium membrane; Single-pass type I membrane protein. Cell projection > lamellipodium membrane; Single-pass type I membrane protein. Cell projection › microvillus membrane; Single-pass type I membrane protein. Cell projection > ruffle membrane; Single-pass type I membrane protein. Localized to actin-rich microvilli and plasma membrane projections such as filopodia, lamellipodia and ruffles.

TISSUE SPECIFICITY: Highly expressed in placenta, lung, skeletal muscle and brain. Weakly expressed in brain, kidney and liver. In placenta, expressed on the apical plasma membrane of endothelium. In lung, expressed in alveolar epithelium. Up-regulated in colorectal tumors and expressed in 25% of early oral squamous cell carcinomas.
Molecular Weight~25 kDa observed.
4 isoforms are produced by alternative splicing, at molecular weights of ~17 kDa (isoform 1), ~18 kDa (isoform 2), ~25 kDa (isoform 3), and ~25 kDa (isoform 4).
Physicochemical Information
Dimensions
Materials Information
Toxicological Information
Safety Information according to GHS
Safety Information
Product Usage Statements
Quality AssuranceEvaluated by Western Blot in human lung tissue lysate.

Western Blot Analysis: A 1:2,000 dilution of this antibody detected Podoplanin in 10 µg of human lung tissue lysate.
Usage Statement
  • Unless otherwise stated in our catalog or other company documentation accompanying the product(s), our products are intended for research use only and are not to be used for any other purpose, which includes but is not limited to, unauthorized commercial uses, in vitro diagnostic uses, ex vivo or in vivo therapeutic uses or any type of consumption or application to humans or animals.
Storage and Shipping Information
Storage ConditionsStable for 1 year at 2-8°C from date of receipt.
Packaging Information
Material Size100 µL
Transport Information
Supplemental Information
Specifications
Global Trade ITEM Number
Catalogue Number GTIN
MABC117 04053252755941

Documentation

Anti-Podoplanin Antibody, clone NZ1.2 MSDS

Title

Safety Data Sheet (SDS) 

Anti-Podoplanin Antibody, clone NZ1.2 Certificates of Analysis

TitleLot Number
Anti-Podoplanin, clone NZ1.2 - 2142191 2142191
Anti-Podoplanin, clone NZ1.2 - 2309327 2309327
Anti-Podoplanin, clone NZ1.2 - 3483443 3483443
Anti-Podoplanin, clone NZ1.2 - 3698171 3698171
Anti-Podoplanin, clone NZ1.2 - 3903785 3903785
Anti-Podoplanin, clone NZ1.2 - 3984648 3984648
Anti-Podoplanin, clone NZ1.2 - 4079019 4079019
Anti-Podoplanin, clone NZ1.2 - 4248373 4248373
Anti-Podoplanin, clone NZ1.2 - NRG1941032 NRG1941032
Anti-Podoplanin, clone NZ1.2 -2525566 2525566