Millipore Sigma Vibrant Logo
Attention: We have moved. Merck Millipore products are no longer available for purchase on MerckMillipore.com.Learn More

OP140 Anti-p53 (Ab-12) (Pantropic) Mouse mAb (DO-7)

Overview

Replacement Information

Key Spec Table

Species ReactivityHostAntibody Type
B, H, MkMMonoclonal Antibody

Products

Catalogue NumberPackaging Qty/Pack
OP140-100UGCN 塑膠安瓿;塑膠針藥瓶 100 μg
Description
OverviewRecognizes the ~53 kDa wild-type p53 and mutant p53 protein in SKBR-3 and MDA-231 cells and in colon carcinoma tissue.
Catalogue NumberOP140
Brand Family Calbiochem®
Application Data
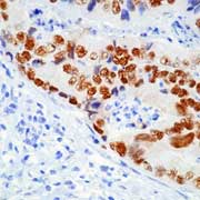
Detection of human p53 by staining paraffin sections. Sample: Human colon carcinoma fixed in formalin and paraffin-embedded. Primary antibody: Anti-p53 (Ab-12) (Pantropic) Mouse mAb (DO-7) (Cat. No. OP140) (1 µg/ml) Detection: DAB.

Detection of human p53 by immunoblotting. Sample: Human p53. Primary antibody: Anti-p53 (Ab-12) (Pantropic) Mouse mAb (DO-7) (Cat. No. OP140) (1 µg/ml). Detection: chemiluminescence.
References
ReferencesGreenblatt, M.S., et al. 1994. Cancer Res. 54, 4855.
Lane, D.P. 1992. Nature 358, 15.
Product Information
FormLiquid
FormulationIn 10 mM PBS, pH 7.4.
Positive controlSKBR-3 or MDA-231 cells or colon carcinoma tissue
PreservativeNone
Quality SegmentMQ100
Applications
Key Applications Frozen Sections
Immunoblotting (Western Blotting)
Immunofluorescence
Immunoprecipitation
Paraffin Sections
Application NotesFrozen Sections (1-2 µg/ml)
Immunoblotting (1-2 µg/ml)
Immunofluorescence (0.5 µg/ml)
Immunoprecipitation (2 µg/mg lysate)
Paraffin Sections (1-2 µg/ml)
Application CommentsExhibits nuclear staining in tumor cells. Antibody should be titrated for optimal results in individual systems.
Biological Information
Immunogenrecombinant, human p53 expressed in E. coli
ImmunogenHuman
Epitopewithin amino acids 37-45 of p53
CloneDO-7
HostMouse
IsotypeIgG2b
Species Reactivity
  • Bovine
  • Human
  • Monkey
Antibody TypeMonoclonal Antibody
Concentration Label Please refer to vial label for lot-specific concentration
Physicochemical Information
Dimensions
Materials Information
Toxicological Information
Safety Information according to GHS
Safety Information
Product Usage Statements
Storage and Shipping Information
Ship Code Dry Ice Only
Toxicity Standard Handling
Storage -20°C
Avoid freeze/thaw Avoid freeze/thaw
Do not freeze Ok to freeze
Special InstructionsFollowing initial thaw, aliquot and freeze (-20°C).
Packaging Information
Transport Information
Supplemental Information
Specifications
Global Trade ITEM Number
Catalogue Number GTIN
OP140-100UGCN 07790788053871

Documentation

Anti-p53 (Ab-12) (Pantropic) Mouse mAb (DO-7) MSDS

Title

Safety Data Sheet (SDS) 

Anti-p53 (Ab-12) (Pantropic) Mouse mAb (DO-7) Certificates of Analysis

TitleLot Number
OP140

References

Reference overview
Greenblatt, M.S., et al. 1994. Cancer Res. 54, 4855.
Lane, D.P. 1992. Nature 358, 15.

Brochure

Title
Caspases and other Apoptosis Related Tools Brochure
Data Sheet

Note that this data sheet is not lot-specific and is representative of the current specifications for this product. Please consult the vial label and the certificate of analysis for information on specific lots. Also note that shipping conditions may differ from storage conditions.

Revision02-March-2009 JSW
ApplicationFrozen Sections (1-2 µg/ml)
Immunoblotting (1-2 µg/ml)
Immunofluorescence (0.5 µg/ml)
Immunoprecipitation (2 µg/mg lysate)
Paraffin Sections (1-2 µg/ml)
Application Data
Detection of human p53 by staining paraffin sections. Sample: Human colon carcinoma fixed in formalin and paraffin-embedded. Primary antibody: Anti-p53 (Ab-12) (Pantropic) Mouse mAb (DO-7) (Cat. No. OP140) (1 µg/ml) Detection: DAB.

Detection of human p53 by immunoblotting. Sample: Human p53. Primary antibody: Anti-p53 (Ab-12) (Pantropic) Mouse mAb (DO-7) (Cat. No. OP140) (1 µg/ml). Detection: chemiluminescence.
DescriptionPurified mouse monoclonal antibody generated by immunizing BALB/c mice with the specified immunogen. Recognizes the ~53 kDa wild-type and mutant forms of p53.
BackgroundThe human p53 tumor suppressor gene encodes a 393 amino acid phosphoprotein that exhibits sequence-specific DNA binding and directly interacts with various cellular and viral proteins. p53 is the most commonly mutated gene in human cancer, with the majority of the mutations being amino acid substitutions. The normal function of p53 is to effect cell cycle arrest at the G1 and G2 checkpoints in response to DNA damage. This checkpoint function is executed by accumulation of p53 followed by induction of the GADD45, WAF1, and MDM2 genes. The current model of p53 function postulates that p53 senses DNA damage and arrests the cell cycle in either the G1 or G2 phases to allow DNA repair to take place. If repair is not successful, p53 initiates programmed cell death, thus preventing the propagation of genetic defects to successive generations of cells. Cat. No. OP140 recognizes a 53 kDa phosphoprotein. The antibody binds to both mutant and wild-type p53.
HostMouse
Immunogen speciesHuman
Immunogenrecombinant, human p53 expressed in E. coli
Epitopewithin amino acids 37-45 of p53
CloneDO-7
IsotypeIgG2b
Speciesbovine, human, monkey
Positive controlSKBR-3 or MDA-231 cells or colon carcinoma tissue
FormLiquid
FormulationIn 10 mM PBS, pH 7.4.
Concentration Label Please refer to vial label for lot-specific concentration
PreservativeNone
CommentsExhibits nuclear staining in tumor cells. Antibody should be titrated for optimal results in individual systems.
Storage Avoid freeze/thaw
-20°C
Do Not Freeze Ok to freeze
Special InstructionsFollowing initial thaw, aliquot and freeze (-20°C).
Toxicity Standard Handling
ReferencesGreenblatt, M.S., et al. 1994. Cancer Res. 54, 4855.
Lane, D.P. 1992. Nature 358, 15.