Skip to Content
Merck

06-847

Anti-EGFR Antibody

Upstate®, from rabbit

Synonym(s):

Receptor tyrosine-protein kinase ErbB-1, avian erythroblastic leukemia viral (v-erb-b) oncogene homolog, cell growth inhibiting protein 40, cell proliferation-inducing protein 61, epidermal growth factor receptor, epidermal growth factor receptor (avian

Sign In to View Organizational & Contract Pricing.

Select a Size


About This Item

UNSPSC Code:
12352203
NACRES:
NA.41
eCl@ss:
32160702
Technical Service
Need help? Our team of experienced scientists is here for you.
Let Us Assist
Technical Service
Need help? Our team of experienced scientists is here for you.
Let Us Assist

Product Name

Anti-EGFR Antibody, Upstate®, from rabbit

biological source

rabbit

conjugate

unconjugated

antibody form

purified immunoglobulin

antibody product type

primary antibodies

clone

polyclonal

species reactivity

rat, hamster, mouse, human

packaging

antibody small pack of 25 μg

manufacturer/tradename

Upstate®

technique(s)

immunoprecipitation (IP): suitable
western blot: suitable

isotype

IgG

NCBI accession no.

UniProt accession no.

shipped in

ambient

target post-translational modification

unmodified

Quality Level

Gene Information

hamster ... Egfr(100774580)
human ... EGFR(1956)
mouse ... Egfr(13649)
rat ... Egf(25313)

Analysis Note

Control
Positive Antigen Control: Catalog #12-305, 3T3/A31 lysate. Add 2.5 μL of 2-mercapto-ethanol/100 μL of lysate and boil for 5 minutes to reduce the preparation. Load 20 μg of reduced lysate per lane for minigels.
Routinely evaluated by western blot on a mouse 3T3/A31 RIPA cell lysate.

Western Blot Analysis:
0.5-2 µg/mL of this lot detected the EGFR from a mouse 3T3/A31 RIPA cell lysate.

Application

Anti-EGFR Antibody detects level of EGFR & has been published & validated for use in IP & WB.
Immunoprecipitation:
4 µg of a previous lot immunoprecipitated the EGFR from 500 µg of a 3T3/A31 RIPA cell lysate.
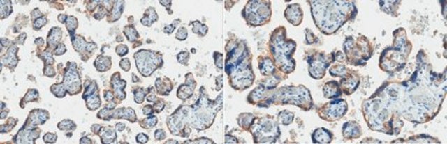
Immunohistochemistry (Paraffin) Analysis: A 1:500 Dilution of this antibody detected EGFR in human placenta tissue sections.

Biochem/physiol Actions

Recognizes the EGFR, Mr 180 kDa.
Reported to detect rat and hamster.

General description

180 kDa
The epidermal growth factor receptor (EGFR; ErbB-1; HER1 in humans) is the cell-surface receptor for members of the epidermal growth factor family (EGF-family) of extracellular protein ligands. The epidermal growth factor receptor is a member of the ErbB family of receptors, a subfamily of four closely related receptor tyrosine kinases: EGFR (ErbB-1), HER2/c-neu (ErbB-2), Her 3 (ErbB-3) and Her 4 (ErbB-4). Mutations affecting EGFR expression or activity could result in cancer. EGFR (epidermal growth factor receptor) exists on the cell surface and is activated by binding of its specific ligands, including epidermal growth factor and transforming growth factor α (TGFα). Upon activation by its growth factor ligands, EGFR undergoes a transition from an inactive monomeric form to an active homodimer. In addition to forming homodimers after ligand binding, EGFR may pair with another member of the ErbB receptor family, such as ErbB2/Her2/neu, to create an activated heterodimer. EGFR dimerization stimulates its intrinsic intracellular protein-tyrosine kinase activity. As a result, autophosphorylation of five tyrosine (Y) residues in the C-terminal domain of EGFR occurs.

Immunogen

Ovalbumin conjugated synthetic peptide (ETKPNGIFKGPTAENAEYLRVAPPSSEFIGA) corresponding to amino acids 1156-1186 of the processed mouse EGF receptor (EGFR) C-terminal domain (Accession number Q01279). The immunizing sequence shares 28/31 identity with the human EGF receptor sequence.

Other Notes

Concentration: Please refer to the Certificate of Analysis for the lot-specific concentration.
Replaces: 04-337; 04-338

Physical form

Format: Purified
Purified rabbit polyclonal IgG in buffer containing 0.1M Tris-Glycine, 0.15M NaCl, 0.05% Sodium Azide, pH 7.4. Store at 2-8°C.

Preparation Note

Stable for 1 year at 2-8°C from date of receipt.

Handling Recommendations: Upon first thaw,
and prior to removing the cap, centrifuge the
vial and gently mix the solution.

Legal Information

UPSTATE is a registered trademark of Merck KGaA, Darmstadt, Germany

Not finding the right product?  

Try our Product Selector Tool.

Storage Class

12 - Non Combustible Liquids

wgk

WGK 1

flash_point_f

Not applicable

flash_point_c

Not applicable


Certificates of Analysis (COA)

Search for Certificates of Analysis (COA) by entering the products Lot/Batch Number. Lot and Batch Numbers can be found on a product’s label following the words ‘Lot’ or ‘Batch’.

Already Own This Product?

Find documentation for the products that you have recently purchased in the Document Library.

Visit the Document Library

Epidermal growth factor receptor kinase activity is required for gap junction closure and for part of the decrease in ovarian follicle cGMP in response to LH.
Norris, RP; Freudzon, M; Nikolaev, VO; Jaffe, LA
Reproduction (Cambridge, England) null
Strongly enhanced antitumor activity of trastuzumab and pertuzumab combination treatment on HER2-positive human xenograft tumor models.
Scheuer W, Friess T, Burtscher H, Bossenmaier B, Endl J, Hasmann M
Cancer Research null
Regulated intramembrane cleavage of the EGF receptor.
Hong-Jun Liao,Graham Carpenter
Traffic null
Microtiter cell-based assay for detection of agents that alter cellular levels of Her2 and EGFR.
Henri Huezo, Maria Vilenchik, Neal Rosen, Gabriela Chiosis
Chemistry & Biology null
Thomas Kruewel et al.
PloS one, 5(11), e14143-e14143 (2010-12-15)
The non-receptor tyrosine kinases c-Abl and c-Src are overexpressed in various solid human tumours. Inhibition of their hyperactivity represents a molecular rationale in the combat of cancerous diseases. Here we examined the effects of a new family of pyrazolo [3,4-d]

Global Trade Item Number

SKUGTIN
06-84704053252735370
06-847-25UG04054839337475

Our team of scientists has experience in all areas of research including Life Science, Material Science, Chemical Synthesis, Chromatography, Analytical and many others.

Contact Technical Service