Skip to Content
Merck

07-1401

Anti-GLUT-1 Antibody, CT

from rabbit, purified by affinity chromatography

Synonym(s):

Glucose Transporter type 1, Solute carrier family 2, facilitated glucose transporter, member 1

Sign In to View Organizational & Contract Pricing.

Select a Size


About This Item

UNSPSC Code:
12352203
NACRES:
NA.41
eCl@ss:
32160702
Conjugate:
unconjugated
Clone:
polyclonal
Application:
ICC, IHC, WB
Citations:
127
Technical Service
Need help? Our team of experienced scientists is here for you.
Let Us Assist
Technical Service
Need help? Our team of experienced scientists is here for you.
Let Us Assist

biological source

rabbit

conjugate

unconjugated

antibody form

purified immunoglobulin

antibody product type

primary antibodies

clone

polyclonal

purified by

affinity chromatography

Quality Level

Gene Information

human ... SLC2A1(6513)

species reactivity (predicted by homology)

mouse (Human. Predicted to react with Mouse based on 100% sequence homology.)

technique(s)

immunocytochemistry: suitable, immunohistochemistry: suitable (paraffin), western blot: suitable

isotype

IgG

NCBI accession no.

UniProt accession no.

shipped in

wet ice

target post-translational modification

unmodified

General description

Solute carrier family 2, facilitated glucose transporter member 1 (UniProt: P11166; also known as Glucose transporter type 1, erythrocyte/brain, GLUT-1, HepG2 glucose transporter) is encoded by the SLC2A1 (also known as GLUT1) gene (Gene ID: 6513) in human. Glucose transporters are a family of integral membrane proteins that facilitative glucose uptake by cells. Seven different glucose transport proteins have been described that are designated as GLUT-1 to 7. GLUT-1 is a highly conserved; ubiquitously distributed, multi-pass membrane protein that is responsible for constitutive glucose uptake. It displays very broad substrate specificity and can transport a wide range of aldoses including both pentoses and hexoses. It is the predominant glucose transporter in embryonic and fetal tissues. In many organs, GLUT-1 is concentrated in endothelial cells of blood-tissue barriers. Hence, it has a specialized role to shuttle glucose between blood and organs that have limited access to small solutes via passive diffusion. It is also abundant in the mammalian erythrocyte membrane where it can rapidly equilibrate glucose between the cytoplasm of the erythrocyte and the blood plasma. GLUT-1 levels are reported to be frequently upregulated during tumorigenesis. Mutations in SLC2A1 gene are linked to GLUT-1 deficiency syndrome 1 and 2 that are characterized by infantile-onset epileptic encephalopathy, delayed development, microcephaly, and motor incoordination, and paroxysmal exercise-induced dyskinesia.
~54 kDa observed; 54.08 kDa calculated. Uncharacterized bands may be observed in some lysate(s).

Immunogen

Epitope: C-Terminus
KLH-conjugated linear peptide corresponding to the C-terminal of Human Glucose transporter-1 (GLUT-1).

Application

Anti-GLUT-1, CT, Cat. No. 07-1401, is a rabbit polyclonal antibody that detects glucose transporter member 1 and is tested for use in Western Blotting, Immunohistochemistry (Paraffin), and Immunocytochemistry
Research Category
Signaling
Research Sub Category
Insulin/Energy Signaling
Tested Applications

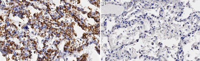
  • Immunocytochemistry Analysis: A 1:1,000 dilution of this antibody detected GLUT-1 in A-431 cells.
  • Immunohistochemistry (Paraffin) Analysis: A 1:1,000 dilution from a representative lot detected GLUT-1 in human pancreas, human placenta, and human lung tissue sections.
  • Note: Actual optimal working dilutions must be determined by end user as specimens, and experimental conditions may vary with the end user.

Biochem/physiol Actions

This rabbit polyclonal antibody specifically detects Glucose transporter type 1 (GLUT-1). It targets an epitope within 12 amino acids from the C-terminal region.

Physical form

Affinity purified
Purified rabbit polyclonal antibody in buffer containing 0.02 M phosphate buffer, pH 7.6, 0.25 M NaCl, and 0.1% sodium azide.

Preparation Note

Recommended storage: +2°C to +8°C.

Analysis Note

Control
Jurkat Cell Lysate
Evaluated by Western Blotting in Human umbilical vein endothelial cells (HUVEC) lysate.

Western Blotting Analysis (WB): A 1:1,000 dilution of this antibody detected GLUT-1 in Human umbilical vein endothelial cell (HUVEC) lysate.

Other Notes

Concentration: Please refer to the Certificate of Analysis for the lot-specific concentration.
Replaces: AB1340

Disclaimer

Unless otherwise stated in our catalog or other company documentation accompanying the product(s), our products are intended for research use only and are not to be used for any other purpose, which includes but is not limited to, unauthorized commercial uses, in vitro diagnostic uses, ex vivo or in vivo therapeutic uses or any type of consumption or application to humans or animals.

Not finding the right product?  

Try our Product Selector Tool.

Storage Class

12 - Non Combustible Liquids

wgk

WGK 2

flash_point_f

Not applicable

flash_point_c

Not applicable


Regulatory Listings

Regulatory Listings are mainly provided for chemical products. Only limited information can be provided here for non-chemical products. No entry means none of the components are listed. It is the user’s obligation to ensure the safe and legal use of the product.

07-1401:

jan


Certificates of Analysis (COA)

Search for Certificates of Analysis (COA) by entering the products Lot/Batch Number. Lot and Batch Numbers can be found on a product’s label following the words ‘Lot’ or ‘Batch’.

Already Own This Product?

Find documentation for the products that you have recently purchased in the Document Library.

Visit the Document Library

GLUT1 protein expression correlates with unfavourable histologic category and high risk in patients with neuroblastic tumours.
Ramani, Pramila, et al.
Virchows Archiv (2013)
I W Smoak et al.
Anatomy and embryology, 201(5), 327-333 (2000-06-06)
The embryonic heart depends on glucose during early organogenesis. Glut-1 functions in constitutive glucose uptake in adult tissues and is the predominant glucose transporter in embryonic and fetal tissues. This study focuses on Glut-1 expression in the heart during normal
Critical role for lactate dehydrogenase A in aerobic glycolysis that sustains pulmonary microvascular endothelial cell proliferation.
Parra-Bonilla, G; Alvarez, DF; Al-Mehdi, AB; Alexeyev, M; Stevens, T
American Journal of Physiology. Lung Cellular and Molecular Physiology null
GLUT4 and UBC9 protein expression is reduced in muscle from type 2 diabetic patients with severe insulin resistance.
Kampmann, U; Christensen, B; Nielsen, TS; Pedersen, SB; ?rskov, L; Lund, S; M?ller, N; Jessen, N
Testing null
Sugar transporter regulation by ATP and quaternary structure.
Cloherty, E K, et al.
Blood Cells, Molecules and Diseases, 27, 102-107 (2001)

Global Trade Item Number

SKUGTIN
07-140108436037126307

Our team of scientists has experience in all areas of research including Life Science, Material Science, Chemical Synthesis, Chromatography, Analytical and many others.

Contact Technical Service