Skip to Content
Merck

07-2174

Anti-Heat Shock Protein 90α Antibody

from rabbit

Synonym(s):

heat shock protein 90kDa alpha (cytosolic), class A member 1, Renal carcinoma antigen NY-REN-38, heat shock 90kD protein 1, alpha, heat shock 90kD protein, alpha-like 4, heat shock 90kDa protein 1, alpha, heat shock protein HSP 90-alpha, Heat shock 86 kD

Sign In to View Organizational & Contract Pricing.

Select a Size


About This Item

eCl@ss:
32160702
UNSPSC Code:
12352203
NACRES:
NA.41
Conjugate:
unconjugated
Clone:
polyclonal
Application:
ICC, IHC, IP, WB
Citations:
2
Technical Service
Need help? Our team of experienced scientists is here for you.
Let Us Assist
Technical Service
Need help? Our team of experienced scientists is here for you.
Let Us Assist

biological source

rabbit

conjugate

unconjugated

antibody product type

primary antibodies

clone

polyclonal

species reactivity

human, rat, mouse

species reactivity (predicted by homology)

canine (based on 100% sequence homology)

technique(s)

immunocytochemistry: suitable, immunohistochemistry: suitable, immunoprecipitation (IP): suitable, western blot: suitable

NCBI accession no.

UniProt accession no.

shipped in

wet ice

target post-translational modification

unmodified

Quality Level

Gene Information

General description

The Heat Shock Protein 90 family is known as a group of molecular chaperones involved in the regulation of maturation, degradation, and folding transport for a select, yet varied group of proteins primarily comprised of signaling molecules, but also including tyrosine kinases, G-protein subunits, transcription factors, and telomerase. Heat Shock Protein 90 has two isoforms that share a homology of 76%; Heat Shock Protein 90α (HSP90α) and Heat Shock Protein 90β (HSP90β). HSP90α contains a charged sequence linker, a C-terminal domain, and N-terminal domain and a middle domain. It is induced by oxidative stress and has been observed in exosomes where it is secreted into the extracellular environment following translocation via TGFα stimulus. Extracellular HSP90α functions to facilitate the migration of both dermal and epidermal cells through its interaction with cell surface receptors CD91 and LRP1. HSP90α interaction with TERT is a necessary component of TERT holoenzyme complex assembly and stabilization. It has also been shown to interact with a variety of other proteins such as FNIP1, HSF1, TOM34, AHSA1, SMYD3, and DNAJC7.
~ 90 kDa observed

Immunogen

Epitope: N-terminus
KLH-conjugated linear peptide corresponding to the N-terminus of human Heat Shock Protein 90α.

Application

Detect the Heat Shock Protein 90α protein using this Anti-Heat Shock Protein 90α validated for use in WB, IP, ICC & IHC.
Research Category
Protein Trafficking
Research Sub Category
Chaperones
Western Blot (Snap i.d.) Analysis: 1 µg/mL from a previous lot detected Heat Shock Protein 90α on 10 µg of NIH/3T3 cell lysate.

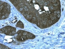
Immunohistochemistry Analysis: 1:100 dilution from a previous lot detected Heat Shock Protein 90α in human prostate adenocarcinoma tissue.

Immunocytochemistry Analysis: 1:500 dilution from a previous ot detected Heat Shock Protein 90α in A431 cells.

Immunoprecipitation Analysis: 10 µg from a previous lot immunoprecipitated Heat Shock Protein 90A from HeLa cell lysate.

Biochem/physiol Actions

This antibody recognizes Heat Shock Protein 90α at the N-terminus.

Physical form

Format: Purified
Protein A
Purified rabbit polyclonal in buffer containing 0.1 M Tris-Glycine (pH 7.4), 150 mM NaCl with 0.05% sodium azide.

Preparation Note

Stable for 1 year at 2-8°C from date of receipt.

Analysis Note

Control
HeLa cell lysate
Evaluated by Western Blot in HeLa cell lysate.

Western Blot Analysis: 0.0625 µg/mL of this antibody detected Heat Shock Protein 90α on 10 µg of HeLa cell lysate.

Other Notes

Concentration: Please refer to the Certificate of Analysis for the lot-specific concentration.

Disclaimer

Unless otherwise stated in our catalog or other company documentation accompanying the product(s), our products are intended for research use only and are not to be used for any other purpose, which includes but is not limited to, unauthorized commercial uses, in vitro diagnostic uses, ex vivo or in vivo therapeutic uses or any type of consumption or application to humans or animals.

Not finding the right product?  

Try our Product Selector Tool.

Storage Class

12 - Non Combustible Liquids

wgk

WGK 1

flash_point_f

Not applicable

flash_point_c

Not applicable


Regulatory Listings

Regulatory Listings are mainly provided for chemical products. Only limited information can be provided here for non-chemical products. No entry means none of the components are listed. It is the user’s obligation to ensure the safe and legal use of the product.

07-2174:

jan


Certificates of Analysis (COA)

Search for Certificates of Analysis (COA) by entering the products Lot/Batch Number. Lot and Batch Numbers can be found on a product’s label following the words ‘Lot’ or ‘Batch’.

Already Own This Product?

Find documentation for the products that you have recently purchased in the Document Library.

Visit the Document Library

Tobiloba E Oni et al.
The Journal of experimental medicine, 217(9) (2020-07-08)
Pancreatic ductal adenocarcinoma (PDAC) has a dismal prognosis, and new therapies are needed. Altered metabolism is a cancer vulnerability, and several metabolic pathways have been shown to promote PDAC. However, the changes in cholesterol metabolism and their role during PDAC
Shinichiro Atsumi et al.
Communications biology, 3(1), 588-588 (2020-10-18)
Despite the accumulating evidences of the significance of humoral cancer immunity, its molecular mechanisms have largely remained elusive. Here we show that B-cell repertoire sequencing of 102 clinical gastric cancers and molecular biological analyses unexpectedly reveal that the major humoral

Global Trade Item Number

SKUGTIN
07-217404053252375446

Our team of scientists has experience in all areas of research including Life Science, Material Science, Chemical Synthesis, Chromatography, Analytical and many others.

Contact Technical Service