Skip to Content
Merck

FCMAB115F

Anti-TRA-1-60 Antibody, clone TRA-1-60, FITC conjugate

clone TRA-1-60, from mouse, FITC conjugate

Sign In to View Organizational & Contract Pricing.

Select a Size


About This Item

UNSPSC Code:
12352203
NACRES:
NA.41
eCl@ss:
32160702
Conjugate:
FITC conjugate
Clone:
TRA-1-60, monoclonal
Application:
FACS, ICC
Citations:
9
Technical Service
Need help? Our team of experienced scientists is here for you.
Let Us Assist
Technical Service
Need help? Our team of experienced scientists is here for you.
Let Us Assist

biological source

mouse

conjugate

FITC conjugate

antibody form

purified antibody

antibody product type

primary antibodies

clone

TRA-1-60, monoclonal

species reactivity (predicted by homology)

human (based on 100% sequence homology)

technique(s)

flow cytometry: suitable, immunocytochemistry: suitable

isotype

IgM

shipped in

wet ice

target post-translational modification

unmodified

Quality Level

Gene Information

human ... PODXL(5420)

General description

Human embryonal carcinoma (EC) cells are the stem cells of teratocarcinomas, and they are key components of germ cell tumors (GCTs). They express several high molecular weight glycoprotein antigens that are down-regulated upon differentiation. One of these antigens, defined by monoclonal antibody TRA-1-60, can be detected in the serum of GCT patients and provides a useful complement to the established serum markers human chorionic gonadotropin and α-fetoprotein, especially in those patients without elevated serum human chorionic gonadotropin or α-fetoprotein.
~235/410 kDa

Immunogen

- Whole Cells corresponding to the of TRA-1-60.

Application

Detect TRA-1-60 using this Anti-TRA-1-60 Antibody, clone TRA-1-60, FITC conjugate validated for use in FC & IC.
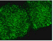
Immunocytochemical staining of fixed H9 human ES cells incubated for two hours at 2-8C with 1:100 dilution of anti-TRA-1-60 FITC conjugated (Cat. No. FCMAB115F) monoclonal antibody. Pluripotent human ES cells exhibit strong immunoreactivity to this antibody.
Immunocytochemical staining of live H9 human ES cells incubated for 30 minutes at 37C with 1:100 dilution of anti-TRA-1-60 FITC conjugated (Cat. No. FCMAB115F) monoclonal antibody. Pluripotent human ES cells exhibit strong immunoreactivity to this antibody.
Flow Cytometry:
Antibody dilution for cellular staining:
  • Prepare an antibody working solution by diluting 1:5 the primary antibody with PBS.
  • Dispense the volume per test of working of solution according to the number of cells indicated in the table below.
  • 5 L for Guava Flow Cytometer
  • 10 L for other Flow Cytometry instruments

5 μl Working Solution: 5 x 105 Cells / 95 μl PBS. 100 μl Total Reaction Volume
10 μl Working Solution: 1 x 106 Cells / 90 μl PBS. 100 μl Total Reaction Volume
Research Category
Stem Cell Research
Research Sub Category
Pluripotent & Early Differentiation

Biochem/physiol Actions

This antibody reacts with TRA-1-60 antigen that is expressed upon the surface of human tetracarcinoma stem cells (EC), human embryonic germ cells (EG) and human embryonic stem cells (ES).
No immunoreactivity is seen with murine EC, EG, or ES cells. Both the TRA-1-60 and TRA-1-81 monoclonal antibodies (MAB4381) recognize antigens that are associated with a pericellular matrix proteoglycan. TRA-1-60 reacts with a sialidase-sensitive epitope whilst TRA-1-81 reacts with an unknown epitope of the same molecule

Physical form

Purified mouse monoclonal IgM conjugated to FITC in PBS with less than 0.09% sodium azide and 15 mg/mL BSA.

Preparation Note

Maintain refrigerated at 2-8ºC protected from light in undiluted aliquots for up to 6 months from date of receipt.

Analysis Note

Control
Pluripotent human embryonic stem (ES) cells

Disclaimer

Unless otherwise stated in our catalog or other company documentation accompanying the product(s), our products are intended for research use only and are not to be used for any other purpose, which includes but is not limited to, unauthorized commercial uses, in vitro diagnostic uses, ex vivo or in vivo therapeutic uses or any type of consumption or application to humans or animals.

Not finding the right product?  

Try our Product Selector Tool.

wgk

WGK 2

flash_point_f

Not applicable

flash_point_c

Not applicable

Storage Class

12 - Non Combustible Liquids


Regulatory Listings

Regulatory Listings are mainly provided for chemical products. Only limited information can be provided here for non-chemical products. No entry means none of the components are listed. It is the user’s obligation to ensure the safe and legal use of the product.

FCMAB115F:

jan


Certificates of Analysis (COA)

Search for Certificates of Analysis (COA) by entering the products Lot/Batch Number. Lot and Batch Numbers can be found on a product’s label following the words ‘Lot’ or ‘Batch’.

Already Own This Product?

Find documentation for the products that you have recently purchased in the Document Library.

Visit the Document Library

Cathelijn E M Aarts et al.
Stem cell research, 54, 102444-102444 (2021-06-29)
Induced pluripotent stem cells (iPSCs) were generated from blood outgrowth endothelial cells (BOECs) obtained from a healthy donor and from a patient diagnosed with Hermansky Pudlak Syndrome type 2 (HPS2), caused by compound heterozygous AP3B1 mutations (c.177delA and c.1839-1842delTAGA). BOECs
Toshio Miki et al.
Stem cell research & therapy, 7, 8-8 (2016-01-14)
Amnion-derived stem cells have been proposed for cell replacement therapy and tissue regeneration. An easily accessible cell source, the placenta, allows us to potentially establish a bio-bank of cells for immunotype matched clinical applications. Several xeno-free (XF) cryopreservation media are
Passaging and colony expansion of human pluripotent stem cells by enzyme-free dissociation in chemically defined culture conditions.
Beers, J; Gulbranson, DR; George, N; Siniscalchi, LI; Jones, J; Thomson, JA; Chen, G
Nature Protocols null
Robert J Ihry et al.
Nature medicine, 24(7), 939-946 (2018-06-13)
CRISPR/Cas9 has revolutionized our ability to engineer genomes and conduct genome-wide screens in human cells1-3. Whereas some cell types are amenable to genome engineering, genomes of human pluripotent stem cells (hPSCs) have been difficult to engineer, with reduced efficiencies relative
Variability in the generation of induced pluripotent stem cells: importance for disease modeling.
Vitale, AM; Matigian, NA; Ravishankar, S; Bellette, B; Wood, SA; Wolvetang, EJ; Mackay-Sim, A
Stem Cells Translational Medicine null

Global Trade Item Number

SKUGTIN
FCMAB115F04053252284700

Our team of scientists has experience in all areas of research including Life Science, Material Science, Chemical Synthesis, Chromatography, Analytical and many others.

Contact Technical Service