Skip to Content
Merck

MAB382

Anti-Myelin Basic Protein Antibody

CHEMICON®, mouse monoclonal, 1

Synonym(s):

Myelin A1 protein, Myelin membrane encephalitogenic protein, myelin basic protein

Sign In to View Organizational & Contract Pricing.

Select a Size


About This Item

UNSPSC Code:
12352203
eCl@ss:
32160702
NACRES:
NA.41
Clone:
1, monoclonal
Species reactivity:
bovine, rat, rabbit (weakly), human
Application:
ELISA, IHC (p), RIA, WB
Citations:
61
Technical Service
Need help? Our team of experienced scientists is here for you.
Let Us Assist
Technical Service
Need help? Our team of experienced scientists is here for you.
Let Us Assist

Product Name

Anti-Myelin Basic Protein Antibody, a.a. 129-138, clone 1, culture supernatant, clone 1, Chemicon®

biological source

mouse

antibody form

culture supernatant

antibody product type

primary antibodies

clone

1, monoclonal

species reactivity

bovine, rat, rabbit (weakly), human

should not react with

guinea pig

manufacturer/tradename

Chemicon®

technique(s)

ELISA: suitable, immunohistochemistry (formalin-fixed, paraffin-embedded sections): suitable, radioimmunoassay: suitable, western blot: suitable

isotype

IgG2a

NCBI accession no.

UniProt accession no.

shipped in

dry ice

target post-translational modification

unmodified

Quality Level

Gene Information

human ... MBP(4155)
rat ... Mbp(24547)

Looking for similar products? Visit Product Comparison Guide

General description

19 kDa
The classic group of MBP isoforms (isoforms 4-14) are with PLP the most abundant protein components of the myelin membrane in the CNS. They have a role in both its formation and stabilization. The smaller isoforms might have an important role in remyelination of denuded axons in multiple sclerosis. The non-classic group of MBP isoforms (isoforms 1-3/Golli-MBPs) may preferentially have a role in the early developing brain long before myelination, maybe as components of transcriptional complexes, and may also be involved in signaling pathways in T-cells and neural cells. Differential splicing events combined to optional posttranslational modifications give a wide spectrum of isomers, each of them having maybe a specialized function.

MBP isoforms are found in both the central and the peripheral nervous system, whereas Golli-MBP isoforms are expressed in fetal thymus, spleen and spinal cord, as well as in cell lines derived from the immune system.

Isoform 1 Golli-MBP1, HOG7, 33 kDa

Isoform 2 Golli-MBP2, HOG5, 21.5 kDa

Isoform 3 MBP1, 21.5 kDa

Isoform 4 MBP2, 20.2 kDa

Isoform 5 MBP3, 18.5 kDa

Isoform 6 MBP4, 17.2 kDa

(SP_P02686)

Immunogen

Bovine myelin basic protein
Epitope: a.a. 129-138

Application

Immunohistochemistry(paraffin) Analysis:
Optimal Staining With Citrate Buffer, pH 6.0, Epitope Retrieval: Rat Cerebellum
Immunohistology on frozen sections at 1:10

Western Blot Analysis:
A previous lot of this antibody was used in Western Blot.

ELISA:
A 1:200-1:1,000 dilution of a previous lot was used in ELISA.

RIA:
A previous lot of this antibody was used in Radioimmunoassay.

Optimal working dilutions must be determined by end user.
Research Category
Neuroscience
Research Sub Category
Neuronal & Glial Markers

Neurochemistry & Neurotrophins
This Anti-Myelin Basic Protein Antibody, a.a. 129-138, clone 1 is validated for use in ELISA, IH, IH(P), RIA, WB for the detection of Myelin Basic Protein.

Biochem/physiol Actions

Reacts with MBP from human, bovine and rat, epitope 129-138

Physical form

Culture supernatant containing 0.2 M Tris/HCl, pH 7.4 with 5-10% fetal calf serum and 0.1% sodium azide
Unpurified

Preparation Note

Stable for 1 year at -20ºC in undiluted aliquots from date of receipt.
Handling Recommendations: Upon receipt, and prior to removing the cap, centrifuge the vial and gently mix the solution. Aliquot into microcentrifuge tubes and store at -20°C. Avoid repeated freeze/thaw cycles, which may damage IgG and affect product performance.

Analysis Note

Control
Brain tissue
Routinely evaluated by immunohistochemistry on brain tissue.

Immunohistochemistry(paraffin) Analysis:
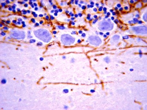
MBP (cat. # MAB382) staining pattern/morphology in rat cerebellum. Tissue pretreated with Citrate, pH 6.0. This lot of antibody was diluted to 1:50, using IHC-Select Detection with HRP-DAB. Immunoreactivity is seen as fiber staining in the junction between granular layer and molecular layer.
Optimal Staining With Citrate Buffer, pH 6.0, Epitope Retrieval: Rat Cerebellum

Other Notes

Concentration: Please refer to the Certificate of Analysis for the lot-specific concentration.

Legal Information

CHEMICON is a registered trademark of Merck KGaA, Darmstadt, Germany

Disclaimer

Unless otherwise stated in our catalog or other company documentation accompanying the product(s), our products are intended for research use only and are not to be used for any other purpose, which includes but is not limited to, unauthorized commercial uses, in vitro diagnostic uses, ex vivo or in vivo therapeutic uses or any type of consumption or application to humans or animals.

Not finding the right product?  

Try our Product Selector Tool.

Storage Class

10 - Combustible liquids

wgk

WGK 1


Regulatory Listings

Regulatory Listings are mainly provided for chemical products. Only limited information can be provided here for non-chemical products. No entry means none of the components are listed. It is the user’s obligation to ensure the safe and legal use of the product.

MAB382:

jan


Certificates of Analysis (COA)

Search for Certificates of Analysis (COA) by entering the products Lot/Batch Number. Lot and Batch Numbers can be found on a product’s label following the words ‘Lot’ or ‘Batch’.

Already Own This Product?

Find documentation for the products that you have recently purchased in the Document Library.

Visit the Document Library

Nucleus-localized 21.5-kDa myelin basic protein promotes oligodendrocyte proliferation and enhances neurite outgrowth in coculture, unlike the plasma membrane-associated 18.5-kDa isoform.
Smith, GS; Samborska, B; Hawley, SP; Klaiman, JM; Gillis, TE; Jones, N; Boggs, JM; Harauz, G
Journal of Neuroscience Research null
Opposing extracellular signal-regulated kinase and Akt pathways control Schwann cell myelination.
Ogata, T; Iijima, S; Hoshikawa, S; Miura, T; Yamamoto, S; Oda, H; Nakamura, K; Tanaka, S
The Journal of Neuroscience null
Induction of oligodendrogenesis in glioblastoma-initiating cells by IFN-mediated activation of STAT3 signaling.
Kanako Yuki, Atsushi Natsume, Hidenori Yokoyama, Yutaka Kondo, Masasuke Ohno et al.
Cancer letters null
Sphingosine kinase 1 and sphingosine 1-phosphate receptor 3 are functionally upregulated on astrocytes under pro-inflammatory conditions.
Fischer, I; Alliod, C; Martinier, N; Newcombe, J; Brana, C; Pouly, S
Testing null
Direct cell-cell interactions control apoptosis and oligodendrocyte marker expression of neuroepithelial cells.
J P Hugnot, K Mellodew, H Pilcher, D Uwanogho, J Price, J D Sinden
Journal of Neuroscience Research null

Global Trade Item Number

SKUGTIN
MAB38204053252361371

Our team of scientists has experience in all areas of research including Life Science, Material Science, Chemical Synthesis, Chromatography, Analytical and many others.

Contact Technical Service