Skip to Content
Merck

SCC064

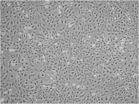
LX-2 Human Hepatic Stellate Cell Line

Human

Synonym(s):

HSC, Perisinusoidal cells, Ito cells, Hepatic lipocytes, Hepatic pericytes

Sign In to View Organizational & Contract Pricing.

Select a Size


About This Item

UNSPSC Code:
41106514
eCl@ss:
32011203
NACRES:
NA.75
Technical Service
Need help? Our team of experienced scientists is here for you.
Let Us Assist
Technical Service
Need help? Our team of experienced scientists is here for you.
Let Us Assist

Product Name

LX-2 Human Hepatic Stellate Cell Line, a highly suitable model of human hepatic fibrosis

biological source

human

Quality Level

technique(s)

cell culture | stem cell: suitable

shipped in

liquid nitrogen

General description

Hepatic stellate cells are a major cell type responsible for liver fibrosis following their activation into fibrogenic myofibroblast-like cells in diseases such as chronic alcoholism, hepatitis B and C, fatty liver disease, obesity and diabetes. There is an increasing need for renewable cell culture models that faithfully recapitulate their in vivo phenotype, particularly for human studies.

LX-2 was generated by immmortalization of primary human hepatic stellate cells with the SV40 large T antigen followed by selective culture of early passaged cells in low serum media conditions.

Immortalized LX-2 was established by Xu et al to overcome issues of culture variability and to provide a stable and unlimited source of human hepatic stellate cells that are homogeneous. These cell lines have been extensively characterized and retain key features of cytokine signaling, neuronal gene expression, retinoid metabolism, and fibrogenesis, making them highly suitable for culture based studies of human hepatic fibrosis.


MilliporeSigma is the exclusive license holder of the LX-2 Human Hepatic Stellate Cell Line from Mount Sinai.

Application

Research Category
Infectious Diseases

Inflammation & Immunology

Stem Cell Research

Preparation Note

LX-2 cells should be stored in liquid nitrogen. The cells can be passage for at least 10 passages without significantly affecting the cell marker expression and functionality. LX-2 cells have been successfully expanded past passage 50 in culture.

Analysis Note

• Each vial contains ≥ 1X106 viable cells.
• Cells are tested by PCR and are negative for Hepatitis A, B, C and HIV-1 & 2 viruses.
• Cells are negatrive for mycoplasma contamination.

Other Notes

1) ≥1X106 viable LX-2 Human Hepatic Stellate Cells: (Catalog No. SCC064). Store in liquid nitrogen.
This product is intended for sale and sold solely to academic institutions for internal academic research use per the terms of the "Academic Use Agreement" as detailed in the product documentation. For information regarding any other use, please contact licensing@emdmillipore.com.

Disclaimer

RESEARCH USE ONLY. This product is regulated in France when intended to be used for scientific purposes, including for import and export activities (Article L 1211-1 paragraph 2 of the Public Health Code). The purchaser (i.e. enduser) is required to obtain an import authorization from the France Ministry of Research referred in the Article L1245-5-1 II. of Public Health Code. By ordering this product, you are confirming that you have obtained the proper import authorization.

Storage Class Code

10 - Combustible liquids

WGK

WGK 1


Regulatory Listings

Regulatory Listings are mainly provided for chemical products. Only limited information can be provided here for non-chemical products. No entry means none of the components are listed. It is the user’s obligation to ensure the safe and legal use of the product.

JAN Code

SCC064:


Certificates of Analysis (COA)

Search for Certificates of Analysis (COA) by entering the products Lot/Batch Number. Lot and Batch Numbers can be found on a product’s label following the words ‘Lot’ or ‘Batch’.

Already Own This Product?

Find documentation for the products that you have recently purchased in the Document Library.

Visit the Document Library

Paula C Arriola Benitez et al.
The American journal of pathology, 183(6), 1918-1927 (2013-10-12)
In patients with active brucellosis, the liver is frequently affected by histopathologic lesions, such as granulomas, inflammatory infiltrations, and parenchymal necrosis. Herein, we examine some potential mechanisms of liver damage in brucellosis. We demonstrate that Brucella abortus infection inhibits matrix
Rui Liao et al.
Journal of experimental & clinical cancer research : CR, 32, 22-22 (2013-04-23)
Peritumoral activated hepatic stellate cells (HSCs) are versatile myofibroblast-like cells closely related with hepatocellular carcinoma (HCC) progression. So far, comprehensive comparison of gene expression of human HSCs during hepatocarcinogenesis is scanty. Therefore, we identified the phenotypic and genomic characteristics of
Isolated hepatic lipocytes and Kupffer cells from normal human liver: morphological and functional characteristics in primary culture.
Friedman, S L, et al.
Hepatology, 15, 234-243 (1992)
Liubing Lin et al.
Biochemistry and cell biology = Biochimie et biologie cellulaire, 99(5), 666-674 (2021-05-12)
Liver fibrosis is the most common pathway in most types of chronic liver damage, characterized by an imbalance of ECM degradation and synthesis. Saikosaponin-d (SSd) possesses anti-inflammatory and anti-fibrotic effects. However, the underlying mechanism by which SSd represses hepatic stellate
Zhiqiang Li et al.
iScience, 24(12), 103449-103449 (2021-12-21)
Glucosylceramide (GluCer) was accumulated in sphingomyelin synthase 1 (SMS1) but not SMS2 deficient mouse tissues. In current study, we studied GluCer accumulation-mediated metabolic consequences. Livers from liver-specific Sms1/global Sms2 double-knockout (dKO) exhibited severe steatosis under a high-fat diet. Moreover, chow

Related Content

Learn how to use our cell culture tested, ready-to-use MilliShot™ single dose antibiotic solutions, conveniently packaged in one-time use vials.

Choose from EMD Millipore’s growing portfolio of over 1500 conjugated antibodies to your favorite CD markers and flow validated antibodies for immune signaling protein targets, such as CD44, CD11b, and PD-1. With the reliability and quality of Upstate®, Chemicon® and Calbiochem®, EMD Millipore’s conjugated antibodies validated for flow cytometry are available in multiple colors, to enable you to unequivocally discriminate immune cell subtypes: • FITC • APC • PE-Cy7 • PerCP-Cy5.5 • PE • PE-Cy5 • APC-Cy7 • Violet450

Global Trade Item Number

SKUGTIN
SCC06404053252970702

Our team of scientists has experience in all areas of research including Life Science, Material Science, Chemical Synthesis, Chromatography, Analytical and many others.

Contact Technical Service